Skip to main content

ZNF222 Antibody - BSA Free

Novus Biologicals, part of Bio-Techne | Catalog # NBP1-86148

Novus Biologicals, part of Bio-Techne
Catalog #
Availability
Size / Price
Qty
Loading...
NBP1-86148

Key Product Details

Species Reactivity

Human

Applications

Immunohistochemistry, Immunohistochemistry-Paraffin, Western Blot, Immunocytochemistry/ Immunofluorescence

Label

Unconjugated

Antibody Source

Polyclonal Rabbit IgG

Format

BSA Free

Concentration

Concentrations vary lot to lot. See vial label for concentration. If unlisted please contact technical services.

Product Specifications

Immunogen

This antibody was developed against Recombinant Protein corresponding to amino acids: AQRKLYRDVMLENFRNLLSVGGKIQTEMETFPEAGTHEEFSCKQIWEQIASDLTRSQDTTISNSQLFEQDDNPSQIKARLSTVHTREKPFQGENCKQFFSDVSFFDLPQ

Clonality

Polyclonal

Host

Rabbit

Isotype

IgG

Scientific Data Images for ZNF222 Antibody - BSA Free

Immunocytochemistry/ Immunofluorescence: ZNF222 Antibody [NBP1-86148]

Immunocytochemistry/ Immunofluorescence: ZNF222 Antibody [NBP1-86148]

Immunocytochemistry/Immunofluorescence: ZNF222 Antibody [NBP1-86148] - Immunofluorescent staining of human cell line U-251 MG shows localization to nucleoplasm.
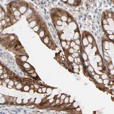
Immunohistochemistry-Paraffin: ZNF222 Antibody [NBP1-86148]

Immunohistochemistry-Paraffin: ZNF222 Antibody [NBP1-86148]

Immunohistochemistry-Paraffin: ZNF222 Antibody [NBP1-86148] - Staining of human rectum shows strong cytoplasmic positivity in glandular cells.
ZNF222 Antibody - BSA Free Western Blot: ZNF222 Antibody - BSA Free [NBP1-86148]

Western Blot: ZNF222 Antibody - BSA Free [NBP1-86148]

Lane 1: Marker [kDa] 230, 110, 82, 49, 32, 26, 18
Lane 2: Human cell line RT-4

Applications for ZNF222 Antibody - BSA Free

Application
Recommended Usage

Immunocytochemistry/ Immunofluorescence

0.25-2 ug/ml

Immunohistochemistry

1:20 - 1:50

Immunohistochemistry-Paraffin

1:20 - 1:50

Western Blot

0.04-0.4 ug/ml
Application Notes
For IHC-Paraffin, HIER pH 6 retrieval is recommended. Immunocytochemistry/Immunofluorescence Fixation Permeabilization: Use PFA/Triton X-100.

Formulation, Preparation, and Storage

Purification

Affinity purified

Formulation

PBS (pH 7.2) and 40% Glycerol

Format

BSA Free

Preservative

0.02% Sodium Azide

Concentration

Concentrations vary lot to lot. See vial label for concentration. If unlisted please contact technical services.

Shipping

The product is shipped with polar packs. Upon receipt, store it immediately at the temperature recommended below.

Stability & Storage

Store at 4C short term. Aliquot and store at -20C long term. Avoid freeze-thaw cycles.

Background: ZNF222

ZNF222 may be involved in transcriptional regulation

Alternate Names

zinc finger protein 222

Gene Symbol

ZNF222

Additional ZNF222 Products

Product Documents for ZNF222 Antibody - BSA Free

Certificate of Analysis

To download a Certificate of Analysis, please enter a lot number in the search box below.

Product Specific Notices for ZNF222 Antibody - BSA Free

This product is for research use only and is not approved for use in humans or in clinical diagnosis. Primary Antibodies are guaranteed for 1 year from date of receipt.

Loading...
Loading...
Loading...
Loading...