Skip to main content

ZNF207 Antibody - BSA Free

Novus Biologicals, part of Bio-Techne | Catalog # NBP3-35919

Novus Biologicals, part of Bio-Techne
Catalog #
Availability
Size / Price
Qty
Loading...
NBP3-35919-100ul
NBP3-35919-20ul

Key Product Details

Species Reactivity

Human, Mouse, Rat

Applications

Immunohistochemistry, Immunohistochemistry-Paraffin, Western Blot, ELISA

Label

Unconjugated

Antibody Source

Polyclonal Rabbit IgG

Format

BSA Free

Concentration

Please see the vial label for concentration. If unlisted please contact technical services.

Product Specifications

Immunogen

Recombinant fusion protein containing a sequence corresponding to amino acids 1-85 of human ZNF207 (NP_003448.1).

Sequence:
MGRKKKKQLKPWCWYCNRDFDDEKILIQHQKAKHFKCHICHKKLYTGPGLAIHCMQVHKETIDAVPNAIPGRTDIELEIYGMEGI

Clonality

Polyclonal

Host

Rabbit

Isotype

IgG

Theoretical MW

51 kDa.
Disclaimer note: The observed molecular weight of the protein may vary from the listed predicted molecular weight due to post translational modifications, post translation cleavages, relative charges, and other experimental factors.

Description

Novus Biologicals Rabbit ZNF207 Antibody - BSA Free (NBP3-35919) is a polyclonal antibody validated for use in IHC, WB and ELISA. All Novus Biologicals antibodies are covered by our 100% guarantee.

Scientific Data Images for ZNF207 Antibody - BSA Free

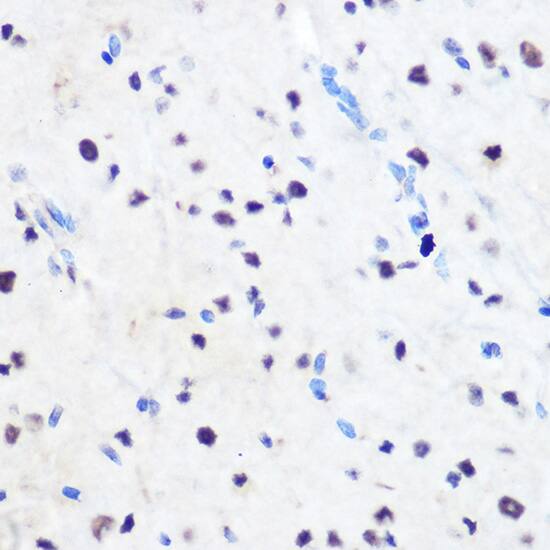
ZNF207 Antibody

Immunohistochemistry: ZNF207 Antibody [NBP3-35919] -

Immunohistochemistry: ZNF207 Antibody [NBP3-35919] - Immunohistochemistry analysis of paraffin-embedded Rat brain using ZNF207 Rabbit pAb at dilution of 1:100 (40x lens). Microwave antigen retrieval performed with 0.01M Tris/EDTA Buffer (pH 9.0) prior to IHC staining.
ZNF207 Antibody

Immunohistochemistry: ZNF207 Antibody [NBP3-35919] -

Immunohistochemistry: ZNF207 Antibody [NBP3-35919] - Immunohistochemistry analysis of paraffin-embedded Human esophageal using ZNF207 Rabbit pAb at dilution of 1:100 (40x lens). Microwave antigen retrieval performed with 0.01M Tris/EDTA Buffer (pH 9.0) prior to IHC staining.
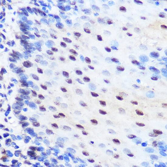
ZNF207 Antibody

Immunohistochemistry: ZNF207 Antibody [NBP3-35919] -

Immunohistochemistry: ZNF207 Antibody [NBP3-35919] - Immunohistochemistry analysis of paraffin-embedded Mouse spinal cord using ZNF207 Rabbit pAb at dilution of 1:100 (40x lens). Microwave antigen retrieval performed with 0.01M Tris/EDTA Buffer (pH 9.0) prior to IHC staining.

Applications for ZNF207 Antibody - BSA Free

Application
Recommended Usage

Immunohistochemistry-Paraffin

1:50 - 1:200

Western Blot

1:500 - 1:1000

Formulation, Preparation, and Storage

Purification

Affinity purified

Formulation

PBS (pH 7.3), 50% glycerol

Format

BSA Free

Preservative

0.01% Thimerosal

Concentration

Please see the vial label for concentration. If unlisted please contact technical services.

Shipping

The product is shipped with polar packs. Upon receipt, store it immediately at the temperature recommended below.

Stability & Storage

Store at -20C. Avoid freeze-thaw cycles.

Background: ZNF207

Alternate Names

DKFZp761N202, zinc finger protein 207

Gene Symbol

ZNF207

Additional ZNF207 Products

Product Documents for ZNF207 Antibody - BSA Free

Certificate of Analysis

To download a Certificate of Analysis, please enter a lot number in the search box below.

Product Specific Notices for ZNF207 Antibody - BSA Free

This product is for research use only and is not approved for use in humans or in clinical diagnosis. Primary Antibodies are guaranteed for 1 year from date of receipt.

Loading...
Loading...
Loading...
Loading...