Skip to main content

ZNF207 Antibody

Novus Biologicals, part of Bio-Techne | Catalog # NBP2-20974

Novus Biologicals, part of Bio-Techne
Catalog #
Availability
Size / Price
Qty
Loading...
NBP2-20974

Key Product Details

Species Reactivity

Human

Applications

Immunohistochemistry, Immunohistochemistry-Paraffin, Western Blot, Immunocytochemistry/ Immunofluorescence

Label

Unconjugated

Antibody Source

Polyclonal Rabbit IgG

Concentration

Concentrations vary lot to lot. See vial label for concentration. If unlisted please contact technical services.

Product Specifications

Immunogen

Recombinant protein encompassing a sequence within the center region of human ZNF207. The exact sequence is proprietary.

Reactivity Notes

Immunogen displays the following percentage of sequence identity for non-tested species: Rhesus Macaque.

Localization

Nucleus

Clonality

Polyclonal

Host

Rabbit

Isotype

IgG

Theoretical MW

50 kDa.
Disclaimer note: The observed molecular weight of the protein may vary from the listed predicted molecular weight due to post translational modifications, post translation cleavages, relative charges, and other experimental factors.

Description

Novus Biologicals Rabbit ZNF207 Antibody (NBP2-20974) is a polyclonal antibody validated for use in IHC, WB and ICC/IF. All Novus Biologicals antibodies are covered by our 100% guarantee.

Scientific Data Images for ZNF207 Antibody

Western Blot: ZNF207 Antibody [NBP2-20974]

Western Blot: ZNF207 Antibody [NBP2-20974]

Western Blot: ZNF207 Antibody [NBP2-20974] - Sample (30 ug of whole cell lysate) A: A549 10% SDS PAGE gel, diluted at 1:1000.
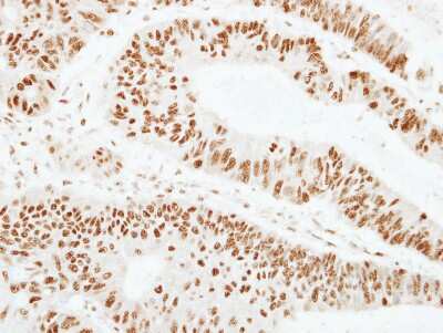
Immunohistochemistry-Paraffin: ZNF207 Antibody [NBP2-20974]

Immunohistochemistry-Paraffin: ZNF207 Antibody [NBP2-20974]

Immunohistochemistry-Paraffin: ZNF207 Antibody [NBP2-20974] - Immunohistochemical analysis of paraffin-embedded Colon ca, using antibody at 1:250 dilution.

Applications for ZNF207 Antibody

Application
Recommended Usage

Immunocytochemistry/ Immunofluorescence

1:100-1:1000

Immunohistochemistry

10 - 1:500

Immunohistochemistry-Paraffin

1:100-1:1000

Western Blot

1:500-1:3000

Formulation, Preparation, and Storage

Purification

Antigen Affinity-purified

Formulation

PBS, 1% BSA, 20% Glycerol

Preservative

0.01% Thimerosal

Concentration

Concentrations vary lot to lot. See vial label for concentration. If unlisted please contact technical services.

Shipping

The product is shipped with polar packs. Upon receipt, store it immediately at the temperature recommended below.

Stability & Storage

Aliquot and store at -20C or -80C. Avoid freeze-thaw cycles.

Background: ZNF207

Alternate Names

DKFZp761N202, zinc finger protein 207

Gene Symbol

ZNF207

UniProt

Additional ZNF207 Products

Product Documents for ZNF207 Antibody

Certificate of Analysis

To download a Certificate of Analysis, please enter a lot number in the search box below.

Product Specific Notices for ZNF207 Antibody

This product is for research use only and is not approved for use in humans or in clinical diagnosis. Primary Antibodies are guaranteed for 1 year from date of receipt.

Loading...
Loading...
Loading...
Loading...

⚠ WARNING: This product can expose you to chemicals including mercury, which is known to the State of California to cause reproductive toxicity with developmental effects.  For more information go to www.P65Warnings.ca.gov.