Skip to main content

ZNF207 Antibody - BSA Free

Novus Biologicals, part of Bio-Techne | Catalog # NBP1-89550

Novus Biologicals, part of Bio-Techne
Catalog #
Availability
Size / Price
Qty
Loading...
NBP1-89550-25ul
NBP1-89550

Key Product Details

Validated by

Knockout/Knockdown, Independent Antibodies

Species Reactivity

Validated:

Human, Mouse, Rat

Cited:

Human

Applications

Validated:

Immunohistochemistry, Immunohistochemistry-Paraffin, Western Blot, Immunocytochemistry/ Immunofluorescence, Knockdown Validated

Cited:

Western Blot, Immunoprecipitation

Label

Unconjugated

Antibody Source

Polyclonal Rabbit IgG

Format

BSA Free

Concentration

Concentrations vary lot to lot. See vial label for concentration. If unlisted please contact technical services.

Product Specifications

Immunogen

This antibody was developed against Recombinant Protein corresponding to amino acids: KPATLTTTSATSKLIHPDEDISLEERRAQLPKYQRNLPRPGQAPIGNPPVGPIGGMMPPQPGIPQQQGMRPPMPPHGQYGGHHQGMPGYLPGAMPPYGQGP

Clonality

Polyclonal

Host

Rabbit

Isotype

IgG

Scientific Data Images for ZNF207 Antibody - BSA Free

ZNF207 Antibody - BSA Free Immunocytochemistry/ Immunofluorescence: ZNF207 Antibody - BSA Free [NBP1-89550]

Immunocytochemistry/ Immunofluorescence: ZNF207 Antibody - BSA Free [NBP1-89550]

Staining of human cell line U-2 OS shows localization to nucleoplasm.
ZNF207 Antibody - BSA Free Immunohistochemistry-Paraffin: ZNF207 Antibody - BSA Free [NBP1-89550]

Immunohistochemistry-Paraffin: ZNF207 Antibody - BSA Free [NBP1-89550]

Staining of human cerebral cortex, gastrointestinal, lymphoid tissues and testis using Anti-ZNF207 antibody NBP1-89550 (A) shows similar protein distribution across tissues to independent antibody NBP2-39010 (B).
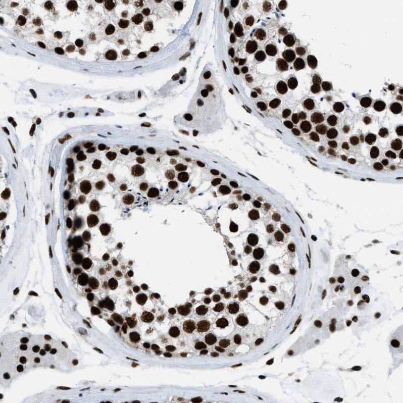
ZNF207 Antibody - BSA Free Immunohistochemistry-Paraffin: ZNF207 Antibody - BSA Free [NBP1-89550]

Immunohistochemistry-Paraffin: ZNF207 Antibody - BSA Free [NBP1-89550]

Staining of human testis shows strong nuclear positivity in cells in seminiferous ducts.

Applications for ZNF207 Antibody - BSA Free

Application
Recommended Usage

Immunocytochemistry/ Immunofluorescence

0.25-2 ug/ml

Immunohistochemistry

1:500 - 1:1000

Immunohistochemistry-Paraffin

1:500 - 1:1000

Western Blot

0.04-0.4 ug/ml
Application Notes
For IHC-Paraffin, HIER pH 6 retrieval is recommended. ICC/IF, Fixation Permeabilization: Use PFA/Triton X-100.

Formulation, Preparation, and Storage

Purification

Affinity purified

Formulation

PBS (pH 7.2) and 40% Glycerol

Format

BSA Free

Preservative

0.02% Sodium Azide

Concentration

Concentrations vary lot to lot. See vial label for concentration. If unlisted please contact technical services.

Shipping

The product is shipped with polar packs. Upon receipt, store it immediately at the temperature recommended below.

Stability & Storage

Store at 4C short term. Aliquot and store at -20C long term. Avoid freeze-thaw cycles.

Background: ZNF207

Alternate Names

DKFZp761N202, zinc finger protein 207

Gene Symbol

ZNF207

Additional ZNF207 Products

Product Documents for ZNF207 Antibody - BSA Free

Certificate of Analysis

To download a Certificate of Analysis, please enter a lot number in the search box below.

Product Specific Notices for ZNF207 Antibody - BSA Free

This product is for research use only and is not approved for use in humans or in clinical diagnosis. Primary Antibodies are guaranteed for 1 year from date of receipt.

Loading...
Loading...
Loading...
Loading...