ZNF193 Antibody - BSA Free
Novus Biologicals, part of Bio-Techne | Catalog # NBP2-31579
Key Product Details
Species Reactivity
Human
Applications
Immunohistochemistry, Immunohistochemistry-Paraffin, Immunocytochemistry/ Immunofluorescence
Label
Unconjugated
Antibody Source
Polyclonal Rabbit IgG
Format
BSA Free
Concentration
Concentrations vary lot to lot. See vial label for concentration. If unlisted please contact technical services.
Product Specifications
Immunogen
This antibody was developed against a recombinant protein corresponding to amino acids: ELVLRKDCPKIVEPHGKMFNEQTWEVSQQDPSHGEVGEHKDRIERQWGNLLGEGQHKCDE
Clonality
Polyclonal
Host
Rabbit
Isotype
IgG
Description
Novus Biologicals Rabbit ZNF193 Antibody - BSA Free (NBP2-31579) is a polyclonal antibody validated for use in IHC and ICC/IF. All Novus Biologicals antibodies are covered by our 100% guarantee.
Scientific Data Images for ZNF193 Antibody - BSA Free
Immunocytochemistry/ Immunofluorescence: ZNF193 Antibody [NBP2-31579]
Immunocytochemistry/Immunofluorescence: ZNF193 Antibody [NBP2-31579] - Staining of human cell line U-2 OS shows localization to nucleoplasm.Immunohistochemistry-Paraffin: ZNF193 Antibody [NBP2-31579]
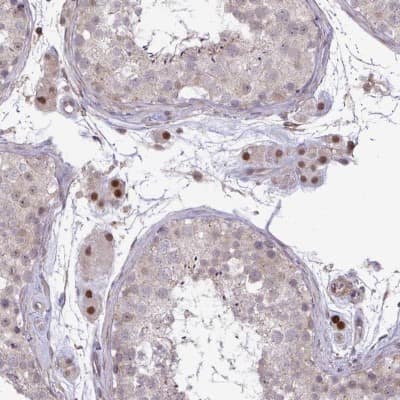
Immunohistochemistry-Paraffin: ZNF193 Antibody [NBP2-31579] - Staining of human testis shows nuclear positivity in Leydig cells.Applications for ZNF193 Antibody - BSA Free
Application
Recommended Usage
Immunocytochemistry/ Immunofluorescence
0.25-2 ug/ml
Immunohistochemistry
1:500 - 1:1000
Immunohistochemistry-Paraffin
1:500 - 1:1000
Application Notes
For IHC-Paraffin, HIER pH 6 retrieval is recommended. Immunocytochemistry/Immunofluorescence Fixation Permeabilization: Use PFA/Triton X-100.
Formulation, Preparation, and Storage
Purification
Affinity purified
Formulation
PBS (pH 7.2) and 40% Glycerol
Format
BSA Free
Preservative
0.02% Sodium Azide
Concentration
Concentrations vary lot to lot. See vial label for concentration. If unlisted please contact technical services.
Shipping
The product is shipped with polar packs. Upon receipt, store it immediately at the temperature recommended below.
Stability & Storage
Store at 4C short term. Aliquot and store at -20C long term. Avoid freeze-thaw cycles.
Background: ZNF193
Alternate Names
cell proliferation-inducing protein 12, PRD51ZSCAN9Cell proliferation-inducing gene 12 protein, Zinc finger and SCAN domain-containing protein 9, zinc finger protein 193
Gene Symbol
ZNF193
UniProt
Additional ZNF193 Products
Product Documents for ZNF193 Antibody - BSA Free
Product Specific Notices for ZNF193 Antibody - BSA Free
This product is for research use only and is not approved for use in humans or in clinical diagnosis. Primary Antibodies are guaranteed for 1 year from date of receipt.
Loading...
Loading...
Loading...
Loading...