ZNF184 Antibody - BSA Free
Novus Biologicals, part of Bio-Techne | Catalog # NBP1-86159
Key Product Details
Species Reactivity
Human
Applications
Immunohistochemistry, Immunohistochemistry-Paraffin, Immunocytochemistry/ Immunofluorescence
Label
Unconjugated
Antibody Source
Polyclonal Rabbit IgG
Format
BSA Free
Concentration
Concentrations vary lot to lot. See vial label for concentration. If unlisted please contact technical services.
Product Specifications
Immunogen
This antibody was developed against Recombinant Protein corresponding to amino acids: VSKPDVISQLEQGTEPWIMEPSIPVGTCADWETRLENSVSAPEPDISEEELSPEVIVEKHKRDDSWSSNLLESWEYEGSLERQQANQQTLPKEIKVTEKTIPSWEKGPVNNEFGKSVNVSSNLVTQEPSPEETSTKRSIKQN
Clonality
Polyclonal
Host
Rabbit
Isotype
IgG
Scientific Data Images for ZNF184 Antibody - BSA Free
Immunocytochemistry/ Immunofluorescence: ZNF184 Antibody [NBP1-86159]
Immunocytochemistry/Immunofluorescence: ZNF184 Antibody [NBP1-86159] - Immunofluorescent staining of human cell line U-2 OS shows localization to nucleus & cytosol.Immunohistochemistry: ZNF184 Antibody [NBP1-86159]
Immunohistochemistry: ZNF184 Antibody [NBP1-86159] - Staining of human breast shows strong nuclear positivity in glandular cells.Immunohistochemistry-Paraffin: ZNF184 Antibody - BSA Free [NBP1-86159]
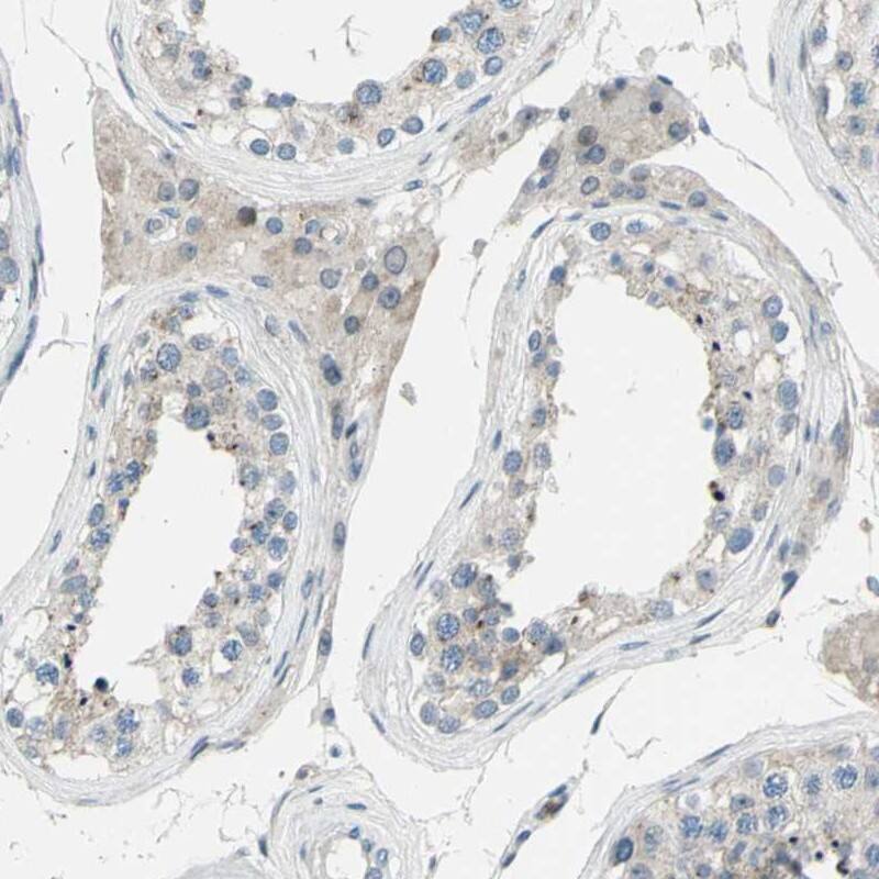
Staining of human testis shows weak cytoplasmic positivity in ,Leydig cells.Applications for ZNF184 Antibody - BSA Free
Application
Recommended Usage
Immunocytochemistry/ Immunofluorescence
0.25-2 ug/ml
Immunohistochemistry
1:200 - 1:500
Immunohistochemistry-Paraffin
1:200 - 1:500
Application Notes
For IHC-Paraffin, HIER pH 6 retrieval is recommended. Immunocytochemistry/Immunofluorescence Fixation Permeabilization: Use PFA/Triton X-100.
Formulation, Preparation, and Storage
Purification
Affinity purified
Formulation
PBS (pH 7.2) and 40% Glycerol
Format
BSA Free
Preservative
0.02% Sodium Azide
Concentration
Concentrations vary lot to lot. See vial label for concentration. If unlisted please contact technical services.
Shipping
The product is shipped with polar packs. Upon receipt, store it immediately at the temperature recommended below.
Stability & Storage
Store at 4C short term. Aliquot and store at -20C long term. Avoid freeze-thaw cycles.
Background: ZNF184
Alternate Names
zinc finger protein 184, zinc finger protein 184 (Kruppel-like)
Entrez Gene IDs
7738 (Human)
Gene Symbol
ZNF184
UniProt
Additional ZNF184 Products
Product Documents for ZNF184 Antibody - BSA Free
Product Specific Notices for ZNF184 Antibody - BSA Free
This product is for research use only and is not approved for use in humans or in clinical diagnosis. Primary Antibodies are guaranteed for 1 year from date of receipt.
Loading...
Loading...
Loading...
Loading...