Skip to main content

ZNF177 Antibody - BSA Free

Novus Biologicals, part of Bio-Techne | Catalog # NBP1-86523

Novus Biologicals, part of Bio-Techne
Catalog #
Availability
Size / Price
Qty
Loading...
NBP1-86523
NBP1-86523-25ul

Key Product Details

Species Reactivity

Human

Applications

Immunohistochemistry, Immunohistochemistry-Paraffin

Label

Unconjugated

Antibody Source

Polyclonal Rabbit IgG

Format

BSA Free

Concentration

Concentrations vary lot to lot. See vial label for concentration. If unlisted please contact technical services.

Product Specifications

Immunogen

This antibody was developed against Recombinant Protein corresponding to amino acids: TWSQNSVTFQEVAVDFSQEEWALLDPAQKNLYKDVMLENFRNLASVGYQLCRHSLISKVDQEQLKTDERGILQGDCADWETQLKPKDTIAMQNIPGGKTSNGINTNCVRTHSGEMP

Clonality

Polyclonal

Host

Rabbit

Isotype

IgG

Scientific Data Images for ZNF177 Antibody - BSA Free

Immunohistochemistry-Paraffin: ZNF177 Antibody [NBP1-86523]

Immunohistochemistry-Paraffin: ZNF177 Antibody [NBP1-86523]

Immunohistochemistry-Paraffin: ZNF177 Antibody [NBP1-86523] - Staining of human cerebellum shows strong cytoplasmic positivity in Purkinje cells.
Immunohistochemistry-Paraffin: ZNF177 Antibody [NBP1-86523]

Immunohistochemistry-Paraffin: ZNF177 Antibody [NBP1-86523]

Immunohistochemistry-Paraffin: ZNF177 Antibody [NBP1-86523] - Staining of human pancreas shows no positivity in exocrine glandular cells as expected.
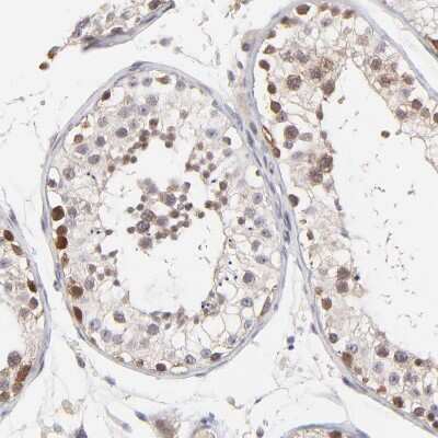
Immunohistochemistry-Paraffin: ZNF177 Antibody [NBP1-86523]

Immunohistochemistry-Paraffin: ZNF177 Antibody [NBP1-86523]

Immunohistochemistry-Paraffin: ZNF177 Antibody [NBP1-86523] - Staining of human testis shows weak to moderate nuclear and cytoplasmic positivity in a subset of cells in seminiferous ducts.

Applications for ZNF177 Antibody - BSA Free

Application
Recommended Usage

Immunohistochemistry

1:50 - 1:200

Immunohistochemistry-Paraffin

1:50 - 1:200
Application Notes
For IHC-Paraffin, HIER pH 6 retrieval is recommended.

Formulation, Preparation, and Storage

Purification

Affinity purified

Formulation

PBS (pH 7.2) and 40% Glycerol

Format

BSA Free

Preservative

0.02% Sodium Azide

Concentration

Concentrations vary lot to lot. See vial label for concentration. If unlisted please contact technical services.

Shipping

The product is shipped with polar packs. Upon receipt, store it immediately at the temperature recommended below.

Stability & Storage

Store at 4C short term. Aliquot and store at -20C long term. Avoid freeze-thaw cycles.

Background: ZNF177

ZNF177 may be involved in transcriptional regulation

Alternate Names

PIGX, zinc finger protein 177

Gene Symbol

ZNF177

Additional ZNF177 Products

Product Documents for ZNF177 Antibody - BSA Free

Certificate of Analysis

To download a Certificate of Analysis, please enter a lot number in the search box below.

Product Specific Notices for ZNF177 Antibody - BSA Free

This product is for research use only and is not approved for use in humans or in clinical diagnosis. Primary Antibodies are guaranteed for 1 year from date of receipt.

Loading...
Loading...
Loading...
Loading...