Skip to main content

ZNF169 Antibody - BSA Free

Novus Biologicals, part of Bio-Techne | Catalog # NBP2-88649

Novus Biologicals, part of Bio-Techne
Catalog #
Availability
Size / Price
Qty
Loading...
NBP2-88649

Key Product Details

Species Reactivity

Human

Applications

Immunohistochemistry, Immunohistochemistry-Paraffin, Western Blot

Label

Unconjugated

Antibody Source

Polyclonal Rabbit

Format

BSA Free

Concentration

0.5 mg/ml

Product Specifications

Immunogen

The immunogen is a synthetic peptide directed towards the middle region of human ZNF169. Peptide sequence: HQRTHTGEKPYLCPECGRRFSQKASLSIHQRKHSGEKPYVCRECGRHFRY The peptide sequence for this immunogen was taken from within the described region.

Clonality

Polyclonal

Host

Rabbit

Description

Novus Biologicals Rabbit ZNF169 Antibody - BSA Free (NBP2-88649) is a polyclonal antibody validated for use in IHC and WB. All Novus Biologicals antibodies are covered by our 100% guarantee.

Scientific Data Images for ZNF169 Antibody - BSA Free

Western Blot: ZNF169 Antibody [NBP2-88649]

Western Blot: ZNF169 Antibody [NBP2-88649]

Western Blot: ZNF169 Antibody [NBP2-88649] - WB Suggested Anti-ZNF169 Antibody Titration: 0.25ug/ml. Positive Control: HepG2 cell lysate
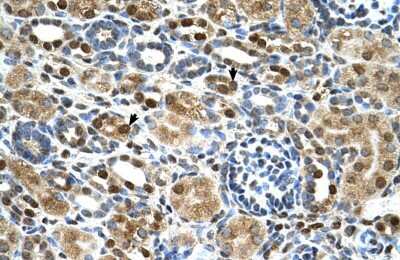
Immunohistochemistry-Paraffin: ZNF169 Antibody [NBP2-88649]

Immunohistochemistry-Paraffin: ZNF169 Antibody [NBP2-88649]

Immunohistochemistry-Paraffin: ZNF169 Antibody [NBP2-88649] - Human kidney

Applications for ZNF169 Antibody - BSA Free

Application
Recommended Usage

Western Blot

1.0 ug/ml

Formulation, Preparation, and Storage

Purification

Affinity purified

Formulation

PBS, 2% Sucrose

Format

BSA Free

Preservative

0.09% Sodium Azide

Concentration

0.5 mg/ml

Shipping

The product is shipped with polar packs. Upon receipt, store it immediately at the temperature recommended below.

Stability & Storage

Store at 4C short term. Aliquot and store at -20C long term. Avoid freeze-thaw cycles.

Background: ZNF169

ZNF169 may be involved in transcriptional regulation

Alternate Names

EC 2.1.1.43, MGC51961, zinc finger protein 169

Gene Symbol

ZNF169

Additional ZNF169 Products

Product Documents for ZNF169 Antibody - BSA Free

Certificate of Analysis

To download a Certificate of Analysis, please enter a lot number in the search box below.

Product Specific Notices for ZNF169 Antibody - BSA Free

This product is for research use only and is not approved for use in humans or in clinical diagnosis. Primary Antibodies are guaranteed for 1 year from date of receipt.

Loading...
Loading...
Loading...
Loading...