Skip to main content

ZNF165 Antibody - BSA Free

Novus Biologicals, part of Bio-Techne | Catalog # NBP1-32507

Novus Biologicals, part of Bio-Techne
Catalog #
Availability
Size / Price
Qty
Loading...
NBP1-32507

Key Product Details

Species Reactivity

Human

Applications

Immunohistochemistry, Immunohistochemistry-Paraffin, Western Blot

Label

Unconjugated

Antibody Source

Polyclonal Rabbit IgG

Format

BSA Free

Concentration

Concentrations vary lot to lot. See vial label for concentration. If unlisted please contact technical services.

Product Specifications

Immunogen

Recombinant protein encompassing a sequence within the center region of human ZNF165. The exact sequence is proprietary.

Reactivity Notes

Bovine (81%).

Localization

Nucleus

Clonality

Polyclonal

Host

Rabbit

Isotype

IgG

Theoretical MW

56 kDa.
Disclaimer note: The observed molecular weight of the protein may vary from the listed predicted molecular weight due to post translational modifications, post translation cleavages, relative charges, and other experimental factors.

Scientific Data Images for ZNF165 Antibody - BSA Free

Western Blot: ZNF165 Antibody [NBP1-32507]

Western Blot: ZNF165 Antibody [NBP1-32507]

Western Blot: ZNF165 Antibody [NBP1-32507] - (30 ug whole cell lysate) A:293T 7.5% SDS PAGE diluted at 1:5000
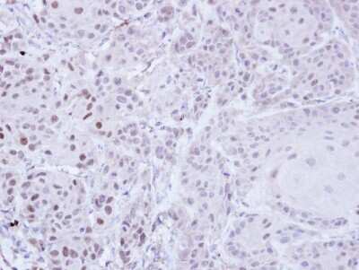
Immunohistochemistry-Paraffin: ZNF165 Antibody [NBP1-32507]

Immunohistochemistry-Paraffin: ZNF165 Antibody [NBP1-32507]

Immunohistochemistry-Paraffin: ZNF165 Antibody [NBP1-32507] - Paraffin-embedded Cal27 Xenograft, using antibody at 1:100 dilution.

Applications for ZNF165 Antibody - BSA Free

Application
Recommended Usage

Immunohistochemistry

1:100-1:1000

Immunohistochemistry-Paraffin

1:100-1:1000

Western Blot

1:500-1:3000

Formulation, Preparation, and Storage

Purification

Antigen Affinity-purified

Formulation

0.1M Tris, 0.1M Glycine, 10% Glycerol

Format

BSA Free

Preservative

0.01% Thimerosal

Concentration

Concentrations vary lot to lot. See vial label for concentration. If unlisted please contact technical services.

Shipping

The product is shipped with polar packs. Upon receipt, store it immediately at the temperature recommended below.

Stability & Storage

Aliquot and store at -20C or -80C. Avoid freeze-thaw cycles.

Background: ZNF165

This gene encodes a member of the Kruppel family of zinc finger proteins. Members of this DNA-binding protein family act as transcriptional regulators. This gene is located within a cluster of zinc finger family members. The encoded protein may play a role in spermatogenesis.

Alternate Names

Cancer/testis antigen 53, CT53Zinc finger and SCAN domain-containing protein 7, zinc finger protein 165, ZSCAN7LD65ZPF165

Gene Symbol

ZNF165

Additional ZNF165 Products

Product Documents for ZNF165 Antibody - BSA Free

Certificate of Analysis

To download a Certificate of Analysis, please enter a lot number in the search box below.

Product Specific Notices for ZNF165 Antibody - BSA Free

This product is for research use only and is not approved for use in humans or in clinical diagnosis. Primary Antibodies are guaranteed for 1 year from date of receipt.

Loading...
Loading...
Loading...
Loading...

⚠ WARNING: This product can expose you to chemicals including mercury, which is known to the State of California to cause reproductive toxicity with developmental effects.  For more information go to www.P65Warnings.ca.gov.