ZNF10 Antibody - BSA Free
Novus Biologicals, part of Bio-Techne | Catalog # NBP2-59679
Conjugate
Catalog #
Key Product Details
Species Reactivity
Validated:
Human
Cited:
Human
Applications
Validated:
Immunocytochemistry/ Immunofluorescence, Immunohistochemistry, Immunohistochemistry-Paraffin, Western Blot
Cited:
Western Blot
Label
Unconjugated
Antibody Source
Polyclonal Rabbit IgG
Format
BSA Free
Concentration
1.0 mg/ml
Product Specifications
Immunogen
Synthetic peptide made to an internal sequence of the human Znf10 protein (between amino acids 200-250) [UniProt P21506].
Clonality
Polyclonal
Host
Rabbit
Isotype
IgG
Description
Novus Biologicals Rabbit ZNF10 Antibody - BSA Free (NBP2-59679) is a polyclonal antibody validated for use in IHC, WB and ICC/IF. All Novus Biologicals antibodies are covered by our 100% guarantee.
Scientific Data Images for ZNF10 Antibody - BSA Free
Western Blot: ZNF10 AntibodyBSA Free [NBP2-59679]
Western Blot: ZNF10 Antibody [NBP2-59679] - Total protein from human kidney, testis and Ntera2 cells was separated on a 7.5% gel by SDS-PAGE, transferred to PVDF membrane and blocked in 5% non-fat milk in TBST. The membrane was probed with 2.0 ug/ml anti-ZNF10 in 1% non-fat milk in TBST and detected with an anti-rabbit HRP secondary antibody using chemiluminescence.Immunocytochemistry/ Immunofluorescence: ZNF10 Antibody - BSA Free [NBP2-59679]
Immunocytochemistry/Immunofluorescence: ZNF10 Antibody - BSA Free [NBP2-59679] - A431 cells were fixed in 4% paraformaldehyde for 10 minutes and permeabilized in 0.5% Triton X-100 in PBS for 5 minutes. The cells were incubated with ZNF10 Antibody (NBP2-59679) at 1 ug/ml overnight at 4C and detected with an anti-rabbit DyLight 488 (Green) at a 1:1000 dilution for 60 minutes. Nuclei were counterstained with DAPI (Blue). Cells were imaged using a 40X objective.Immunohistochemistry-Paraffin: ZNF10 Antibody - BSA Free [NBP2-59679]
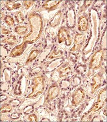
Immunohistochemistry-Paraffin: ZNF10 Antibody [NBP2-59679] - IHC analysis of a formalin-fixed paraffin-embedded (FFPE) human kidney tissue section with ZNF10 antibody at 1:500 dilution. The staining was developed with HRP-DAB detection method and the counterstaining was performed using hematoxylin. This ZNF10 antibody generated primarily a cytoplasmic staining with some nuclear positivity in all the cells of tubular epithelium. The staining was observed to be relatively stronger on the lumen side of the tubules. The cytoplasmic signal is potentially arising from the newly translated pool of this transcription factor.Applications for ZNF10 Antibody - BSA Free
Application
Recommended Usage
Immunocytochemistry/ Immunofluorescence
5 - 10 ug/ml
Immunohistochemistry
2-4 ug/ml
Immunohistochemistry-Paraffin
2-4 ug/ml
Western Blot
1 - 2 ug/ml
Formulation, Preparation, and Storage
Purification
Immunogen affinity purified
Formulation
PBS
Format
BSA Free
Preservative
0.02% Sodium Azide
Concentration
1.0 mg/ml
Shipping
The product is shipped with polar packs. Upon receipt, store it immediately at the temperature recommended below.
Stability & Storage
Store at 4C short term. Aliquot and store at -20C long term. Avoid freeze-thaw cycles.
Background: ZNF10
Long Name
Zinc Finger Protein 10
Alternate Names
KOX1
Gene Symbol
ZNF10
Additional ZNF10 Products
Product Documents for ZNF10 Antibody - BSA Free
Product Specific Notices for ZNF10 Antibody - BSA Free
This product is for research use only and is not approved for use in humans or in clinical diagnosis. Primary Antibodies are guaranteed for 1 year from date of receipt.
Loading...
Loading...
Loading...
Loading...