Skip to main content

ZMYM6 Antibody - BSA Free

Novus Biologicals, part of Bio-Techne | Catalog # NBP2-88640

Novus Biologicals, part of Bio-Techne
Catalog #
Availability
Size / Price
Qty
Loading...
NBP2-88640

Key Product Details

Species Reactivity

Human

Applications

Immunohistochemistry-Paraffin, Western Blot

Label

Unconjugated

Antibody Source

Polyclonal Rabbit

Format

BSA Free

Concentration

0.5 mg/ml

Product Specifications

Immunogen

The immunogen is a synthetic peptide directed towards the N-terminal region of HUMAN ZMYM6. Peptide sequence: QELLDKIKEEPDNAQEYGCVQQPKTQESKLKIGGVSSVNERPIAQQLNPG The peptide sequence for this immunogen was taken from within the described region.

Clonality

Polyclonal

Host

Rabbit

Description

Novus Biologicals Rabbit ZMYM6 Antibody - BSA Free (NBP2-88640) is a polyclonal antibody validated for use in IHC and WB. All Novus Biologicals antibodies are covered by our 100% guarantee.

Scientific Data Images for ZMYM6 Antibody - BSA Free

Western Blot: ZMYM6 Antibody [NBP2-88640]

Western Blot: ZMYM6 Antibody [NBP2-88640]

Western Blot: ZMYM6 Antibody [NBP2-88640] - Host: Rabbit. Target Name: ZMYM6. Sample Type: Lung Tumor lysates. Antibody Dilution: 1.0ug/ml
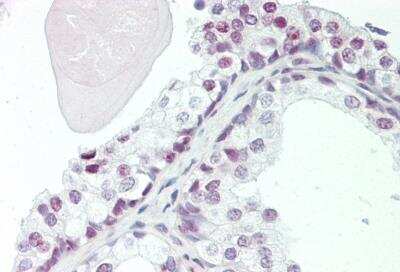
Immunohistochemistry-Paraffin: ZMYM6 Antibody [NBP2-88640]

Immunohistochemistry-Paraffin: ZMYM6 Antibody [NBP2-88640]

Immunohistochemistry-Paraffin: ZMYM6 Antibody [NBP2-88640] - Rabbit Anti-ZMYM6. Formalin Fixed Paraffin Embedded Tissue: Human Adult Prostate. Observed Staining: Cytoplasm in hepatocytes. Primary Antibody Concentration: 1:600. Secondary Antibody: Donkey anti-Rabbit-Cy3. Secondary Antibody Concentration: 1:200. Magnification: 20X.

Applications for ZMYM6 Antibody - BSA Free

Application
Recommended Usage

Western Blot

1.0 ug/ml

Formulation, Preparation, and Storage

Purification

Affinity purified

Formulation

PBS, 2% Sucrose

Format

BSA Free

Preservative

0.09% Sodium Azide

Concentration

0.5 mg/ml

Shipping

The product is shipped with polar packs. Upon receipt, store it immediately at the temperature recommended below.

Stability & Storage

Store at 4C short term. Aliquot and store at -20C long term. Avoid freeze-thaw cycles.

Background: ZMYM6

Alternate Names

Buster2, KIAA1353, MYM, MYM-type containing 6, zinc finger MYM-type protein 6, zinc finger, MYM-type 6

Gene Symbol

ZMYM6

Additional ZMYM6 Products

Product Documents for ZMYM6 Antibody - BSA Free

Certificate of Analysis

To download a Certificate of Analysis, please enter a lot number in the search box below.

Product Specific Notices for ZMYM6 Antibody - BSA Free

This product is for research use only and is not approved for use in humans or in clinical diagnosis. Primary Antibodies are guaranteed for 1 year from date of receipt.

Loading...
Loading...
Loading...
Loading...