ZG16 Antibody - BSA Free
Novus Biologicals, part of Bio-Techne | Catalog # NBP2-30568
Key Product Details
Validated by
Orthogonal Validation, Independent Antibodies
Species Reactivity
Human
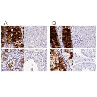
Applications
Immunohistochemistry, Immunohistochemistry-Paraffin, Western Blot
Label
Unconjugated
Antibody Source
Polyclonal Rabbit IgG
Format
BSA Free
Concentration
Concentrations vary lot to lot. See vial label for concentration. If unlisted please contact technical services.
Product Specifications
Immunogen
This antibody was developed against a recombinant protein corresponding to amino acids: RSSSYSGEYGSGGGKRFSHSGNQLDGPITALRVRVNTYYIVGLQVRYGKVWSDYVGGRNGDLEEIFLHPGE
Reactivity Notes
Immunogen displays the following percentage of sequence identity for non-tested species: Mouse (87%), Rat (87%)
Clonality
Polyclonal
Host
Rabbit
Isotype
IgG
Description
Novus Biologicals Rabbit ZG16 Antibody - BSA Free (NBP2-30568) is a polyclonal antibody validated for use in IHC and WB. All Novus Biologicals antibodies are covered by our 100% guarantee.
Scientific Data Images for ZG16 Antibody - BSA Free
Western Blot: ZG16 Antibody [NBP2-30568]
Western Blot: ZG16 Antibody [NBP2-30568] - Analysis in control (vector only transfected HEK293T lysate) and ZG16 over-expression lysate (Co-expressed with a C-terminal myc-DDK tag (3.1 kDa) in mammalian HEK293T cells).Applications for ZG16 Antibody - BSA Free
Application
Recommended Usage
Immunohistochemistry
1:500 - 1:1000
Immunohistochemistry-Paraffin
1:500 - 1:1000
Western Blot
0.04-0.4 ug/ml
Application Notes
For IHC-Paraffin, HIER pH 6 retrieval is recommended.
Formulation, Preparation, and Storage
Purification
Affinity purified
Formulation
PBS (pH 7.2) and 40% Glycerol
Format
BSA Free
Preservative
0.02% Sodium Azide
Concentration
Concentrations vary lot to lot. See vial label for concentration. If unlisted please contact technical services.
Shipping
The product is shipped with polar packs. Upon receipt, store it immediately at the temperature recommended below.
Stability & Storage
Store at 4C short term. Aliquot and store at -20C long term. Avoid freeze-thaw cycles.
Background: ZG16
Additional ZG16 Products
Product Documents for ZG16 Antibody - BSA Free
Product Specific Notices for ZG16 Antibody - BSA Free
This product is for research use only and is not approved for use in humans or in clinical diagnosis. Primary Antibodies are guaranteed for 1 year from date of receipt.
Loading...
Loading...
Loading...
Loading...