Skip to main content

ZFX Antibody - BSA Free

Novus Biologicals, part of Bio-Techne | Catalog # NBP1-80583

Novus Biologicals, part of Bio-Techne
Catalog #
Availability
Size / Price
Qty
Loading...
NBP1-80583-25ul
NBP1-80583

Key Product Details

Species Reactivity

Validated:

Human

Cited:

Human

Predicted:

Mouse (99%), Rat (99%). Backed by our 100% Guarantee.

Applications

Validated:

Immunohistochemistry, Immunohistochemistry-Paraffin

Cited:

Immunohistochemistry-Paraffin

Label

Unconjugated

Antibody Source

Polyclonal Rabbit IgG

Format

BSA Free

Concentration

Concentrations vary lot to lot. See vial label for concentration. If unlisted please contact technical services.

Product Specifications

Immunogen

Recombinant Protein Epitope Signature Tag (PrEST) antigen sequence: IGPDGHPLTVYPCMICGKKFKSRGFLKRHMKNHPEHLAKKKYHCTDCDYTTNKKISLHNHLESHKLTSKAEKAIECDECGKHFSHAGALFTHKMVHKEKGANKMHKCKFCEYETAEQGLLNRHL

Clonality

Polyclonal

Host

Rabbit

Isotype

IgG

Scientific Data Images for ZFX Antibody - BSA Free

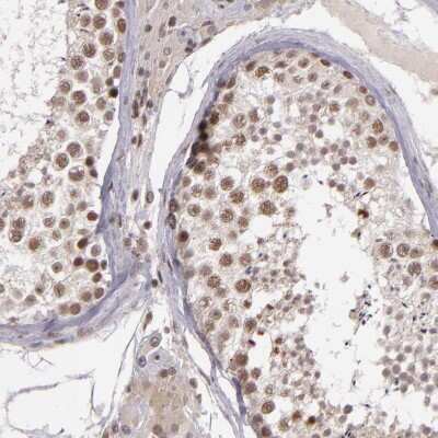
Immunohistochemistry-Paraffin: ZFX Antibody [NBP1-80583]

Immunohistochemistry-Paraffin: ZFX Antibody [NBP1-80583]

Immunohistochemistry-Paraffin: ZFX Antibody [NBP1-80583] - Staining of human cerebellum shows moderate nuclear positivity in cells in granular layer.
Immunohistochemistry-Paraffin: ZFX Antibody [NBP1-80583]

Immunohistochemistry-Paraffin: ZFX Antibody [NBP1-80583]

Immunohistochemistry-Paraffin: ZFX Antibody [NBP1-80583] - Human duodenum shows moderate nuclear positivity in glandular cells.
Immunohistochemistry-Paraffin: ZFX Antibody [NBP1-80583]

Immunohistochemistry-Paraffin: ZFX Antibody [NBP1-80583]

Immunohistochemistry-Paraffin: ZFX Antibody [NBP1-80583] - Staining of human endometrium shows moderate nuclear positivity in glandular cells.

Applications for ZFX Antibody - BSA Free

Application
Recommended Usage

Immunohistochemistry

1:20 - 1:50

Immunohistochemistry-Paraffin

1:20 - 1:50
Application Notes
For IHC-Paraffin, HIER pH 6 retrieval is recommended.

Formulation, Preparation, and Storage

Purification

Affinity purified

Formulation

PBS (pH 7.2) and 40% Glycerol

Format

BSA Free

Preservative

0.02% Sodium Azide

Concentration

Concentrations vary lot to lot. See vial label for concentration. If unlisted please contact technical services.

Shipping

The product is shipped with polar packs. Upon receipt, store it immediately at the temperature recommended below.

Stability & Storage

Store at 4C short term. Aliquot and store at -20C long term. Avoid freeze-thaw cycles.

Background: ZFX

Chimera RNA interference (chimera RNAi) is process by which small interfering RNA/DNA chimera triggers the destruction of mRNA for the original gene. The discovery work, design, and application of chimera RNAi has been pioneered by Professor Kaoru Saigo and Dr. Kumiko Ui-Tei at the University of Tokyo. Chimera RNAi has many advantages over the conventional siRNAs. First, it has been demonstrated to have reliable knock-down for over 10,000 human genes. Because the human genome is composed of an intricate, genetic network, chimera RNAi's unique design has successfully obviated the off-target effects including microRNA-based influence. Another advantage of the chimera RNAi technology is its effectiveness at low concentrations (0.5nM to 5nM); only mRNA is destroyed so genomic genes are not affected. Finally, having both the sense and anti-sense strands consisting RNA/DNA chimera, it offers much greater compound stability for streamlining in vitro and in vivo assays and applications while minimizing interferon induction and other adverse reactions.

Alternate Names

zinc finger protein, X-linked

Entrez Gene IDs

7543 (Human)

Gene Symbol

ZFX

UniProt

Additional ZFX Products

Product Documents for ZFX Antibody - BSA Free

Certificate of Analysis

To download a Certificate of Analysis, please enter a lot number in the search box below.

Product Specific Notices for ZFX Antibody - BSA Free

This product is for research use only and is not approved for use in humans or in clinical diagnosis. Primary Antibodies are guaranteed for 1 year from date of receipt.

Loading...
Loading...
Loading...
Loading...