Skip to main content

ZFP200 Antibody - BSA Free

Novus Biologicals, part of Bio-Techne | Catalog # NBP1-87460

Novus Biologicals, part of Bio-Techne
Catalog #
Availability
Size / Price
Qty
Loading...
NBP1-87460
NBP1-87460-25ul

Key Product Details

Species Reactivity

Human

Applications

Immunohistochemistry, Immunohistochemistry-Paraffin, Western Blot, Immunocytochemistry/ Immunofluorescence

Label

Unconjugated

Antibody Source

Polyclonal Rabbit IgG

Format

BSA Free

Concentration

Concentrations vary lot to lot. See vial label for concentration. If unlisted please contact technical services.

Product Specifications

Immunogen

This antibody was developed against Recombinant Protein corresponding to amino acids: SFILRVPPDSKLGQDLLRDATNGPKTIHQLVLEHFLTFLPKPSLVQPSQKVKETLVIMKDVSSSLQNRVHPRPLVKLLPKGVQK

Clonality

Polyclonal

Host

Rabbit

Isotype

IgG

Description

Novus Biologicals Rabbit ZFP200 Antibody - BSA Free (NBP1-87460) is a polyclonal antibody validated for use in IHC, WB and ICC/IF. All Novus Biologicals antibodies are covered by our 100% guarantee.

Scientific Data Images for ZFP200 Antibody - BSA Free

Western Blot: ZFP200 Antibody [NBP1-87460]

Western Blot: ZFP200 Antibody [NBP1-87460]

Western Blot: ZFP200 Antibody [NBP1-87460] - Lane 1: Marker [kDa] 230, 130, 95, 72, 56, 36, 28, 17, 11. Lane 2: Human cell line RT-650
Immunocytochemistry/ Immunofluorescence: ZFP200 Antibody [NBP1-87460]

Immunocytochemistry/ Immunofluorescence: ZFP200 Antibody [NBP1-87460]

Immunocytochemistry/Immunofluorescence: ZFP200 Antibody [NBP1-87460] - Immunofluorescent staining of human cell line U-2 OS shows localization to mitochondria.
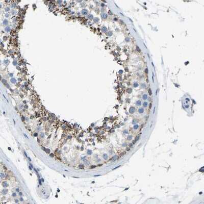
Immunohistochemistry-Paraffin: ZFP200 Antibody [NBP1-87460]

Immunohistochemistry-Paraffin: ZFP200 Antibody [NBP1-87460]

Immunohistochemistry-Paraffin: ZFP200 Antibody [NBP1-87460] - Staining of human testis shows cytoplasmic positivity in seminiferus ducts.

Applications for ZFP200 Antibody - BSA Free

Application
Recommended Usage

Immunocytochemistry/ Immunofluorescence

0.25-2 ug/ml

Immunohistochemistry

1:50 - 1:200

Immunohistochemistry-Paraffin

1:50 - 1:200

Western Blot

0.04-0.4 ug/ml
Application Notes
For IHC-Paraffin, HIER pH 6 retrieval is recommended. Immunocytochemistry/Immunofluorescence Fixation Permeabilization: Use PFA/Triton X-100.

Formulation, Preparation, and Storage

Purification

Affinity purified

Formulation

PBS (pH 7.2) and 40% Glycerol

Format

BSA Free

Preservative

0.02% Sodium Azide

Concentration

Concentrations vary lot to lot. See vial label for concentration. If unlisted please contact technical services.

Shipping

The product is shipped with polar packs. Upon receipt, store it immediately at the temperature recommended below.

Stability & Storage

Store at 4C short term. Aliquot and store at -20C long term. Avoid freeze-thaw cycles.

Background: ZFP200

ZFP200 (ZNF200) is a gene that codes for a protein with three isoforms, with lengths of 395, 394 and 394 amino acids and weights of approximately 46, 45, and 45 kDa respectively. ZFP200 is highly expressed in the testis and could have a role in spermatogenesis. Current studies are being done on diseases and disorder related to this gene including familial Mediterranean fever, anemia, and prostatitis. ZFP200 has also been shown to have interactions with PPARGC1B and UBC in pathways such as the generic transcription and gene expression pathways.

Alternate Names

MGC45293, zinc finger protein 200, ZNFMF

Gene Symbol

ZNF200

Additional ZFP200 Products

Product Documents for ZFP200 Antibody - BSA Free

Certificate of Analysis

To download a Certificate of Analysis, please enter a lot number in the search box below.

Product Specific Notices for ZFP200 Antibody - BSA Free

This product is for research use only and is not approved for use in humans or in clinical diagnosis. Primary Antibodies are guaranteed for 1 year from date of receipt.

Loading...
Loading...
Loading...
Loading...