Skip to main content

ZFAND3 Antibody - BSA Free

Novus Biologicals, part of Bio-Techne | Catalog # NBP2-93203

Novus Biologicals, part of Bio-Techne
Catalog #
Availability
Size / Price
Qty
Loading...
NBP2-93203-0.02ml
NBP2-93203-0.1ml

Key Product Details

Species Reactivity

Human, Mouse, Rat

Applications

Immunohistochemistry, Immunohistochemistry-Paraffin

Label

Unconjugated

Antibody Source

Polyclonal Rabbit IgG

Format

BSA Free

Concentration

Please see the vial label for concentration. If unlisted please contact technical services.

Product Specifications

Immunogen

Recombinant fusion protein containing a sequence corresponding to amino acids 1-227 of human ZFAND3 (NP_068762.1). MGDAGSERSKAPSLPPRCPCGFWGSSKTMNLCSKCFADFQKKQPDDDSAPSTSNSQSDLFSEETTSDNNNTSITTPTLSPSQQPLPTELNVTSPSKEECGPCTDTAHVSLITPTKRSCGTDSQSENEASPVKRPRLLENTERSEETSRSKQKSRRRCFQCQTKLELVQQELGSCRCGYVFCMLHRLPEQHDCTFDHMGRGREEAIMKMVKLDRKVGRSCQRIGEGCS

Clonality

Polyclonal

Host

Rabbit

Isotype

IgG

Theoretical MW

25 kDa.
Disclaimer note: The observed molecular weight of the protein may vary from the listed predicted molecular weight due to post translational modifications, post translation cleavages, relative charges, and other experimental factors.

Description

Novus Biologicals Rabbit ZFAND3 Antibody - BSA Free (NBP2-93203) is a polyclonal antibody validated for use in IHC. All Novus Biologicals antibodies are covered by our 100% guarantee.

Scientific Data Images for ZFAND3 Antibody - BSA Free

Immunohistochemistry-Paraffin: ZFAND3 Antibody - BSA Free [NBP2-93203]

Immunohistochemistry-Paraffin: ZFAND3 Antibody - BSA Free [NBP2-93203]

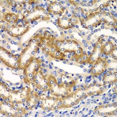
Immunohistochemistry-Paraffin: ZFAND3 Antibody [NBP2-93203] - Paraffin-embedded rat kidney using ZFAND3 .
Immunohistochemistry-Paraffin: ZFAND3 Antibody - BSA Free [NBP2-93203]

Immunohistochemistry-Paraffin: ZFAND3 Antibody - BSA Free [NBP2-93203]

Immunohistochemistry-Paraffin: ZFAND3 Antibody [NBP2-93203] - Paraffin-embedded mouse kidney using ZFAND3 .

Applications for ZFAND3 Antibody - BSA Free

Application
Recommended Usage

Immunohistochemistry

1:50-1:200

Formulation, Preparation, and Storage

Purification

Affinity purified

Formulation

PBS (pH 7.3), 50% glycerol

Format

BSA Free

Preservative

0.02% Sodium Azide

Concentration

Please see the vial label for concentration. If unlisted please contact technical services.

Shipping

The product is shipped with polar packs. Upon receipt, store it immediately at the temperature recommended below.

Stability & Storage

Store at -20C. Avoid freeze-thaw cycles.

Background: ZFAND3

Alternate Names

AN1-type zinc finger protein 3, FLJ17799, testis expressed sequence 27, Testis-expressed sequence 27, TEX27FLJ13222, zinc finger, AN1-type domain 3

Gene Symbol

ZFAND3

Additional ZFAND3 Products

Product Documents for ZFAND3 Antibody - BSA Free

Certificate of Analysis

To download a Certificate of Analysis, please enter a lot number in the search box below.

Product Specific Notices for ZFAND3 Antibody - BSA Free

This product is for research use only and is not approved for use in humans or in clinical diagnosis. Primary Antibodies are guaranteed for 1 year from date of receipt.

Loading...
Loading...
Loading...
Loading...