Skip to main content

ZFAND2A Antibody - BSA Free

Novus Biologicals, part of Bio-Techne | Catalog # NBP1-90864

Novus Biologicals, part of Bio-Techne
Catalog #
Availability
Size / Price
Qty
Loading...
NBP1-90864
NBP1-90864-25ul

Key Product Details

Species Reactivity

Human

Applications

Immunohistochemistry, Immunohistochemistry-Paraffin, Western Blot

Label

Unconjugated

Antibody Source

Polyclonal Rabbit IgG

Format

BSA Free

Concentration

Concentrations vary lot to lot. See vial label for concentration. If unlisted please contact technical services.

Product Specifications

Immunogen

This antibody was developed against Recombinant Protein corresponding to amino acids: KGQIPDVVVGDHIDRDCDSHPGKKKEKIFTYRCSKEGCKKKEMLQMVCAQCHGNFCIQHRHPLDHSCRHGSRPTIKAG

Clonality

Polyclonal

Host

Rabbit

Isotype

IgG

Scientific Data Images for ZFAND2A Antibody - BSA Free

Western Blot: ZFAND2A Antibody [NBP1-90864]

Western Blot: ZFAND2A Antibody [NBP1-90864]

Western Blot: ZFAND2A Antibody [NBP1-90864] - Analysis in control (vector only transfected HEK293T lysate) and ZFAND2A over-expression lysate (Co-expressed with a C-terminal myc-DDK tag (3.1 kDa) in mammalian HEK293T cells).
Immunohistochemistry-Paraffin: ZFAND2A Antibody [NBP1-90864]

Immunohistochemistry-Paraffin: ZFAND2A Antibody [NBP1-90864]

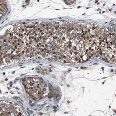
Immunohistochemistry-Paraffin: ZFAND2A Antibody [NBP1-90864] - Staining of human testis shows moderate positivity in cells in seminiferous ducts.
Immunohistochemistry-Paraffin: ZFAND2A Antibody [NBP1-90864]

Immunohistochemistry-Paraffin: ZFAND2A Antibody [NBP1-90864]

Immunohistochemistry-Paraffin: ZFAND2A Antibody [NBP1-90864] - Staining of human cerebral cortex shows strong nuclear and cytoplasmic positivity in neuronal cells.

Applications for ZFAND2A Antibody - BSA Free

Application
Recommended Usage

Immunohistochemistry

1:20 - 1:50

Immunohistochemistry-Paraffin

1:20-1:50

Western Blot

0.04-0.4 ug/ml
Application Notes
For IHC-Paraffin, HIER pH 6 retrieval is recommended.

Formulation, Preparation, and Storage

Purification

Affinity purified

Formulation

PBS (pH 7.2) and 40% Glycerol

Format

BSA Free

Preservative

0.02% Sodium Azide

Concentration

Concentrations vary lot to lot. See vial label for concentration. If unlisted please contact technical services.

Shipping

The product is shipped with polar packs. Upon receipt, store it immediately at the temperature recommended below.

Stability & Storage

Store at 4C short term. Aliquot and store at -20C long term. Avoid freeze-thaw cycles.

Background: ZFAND2A

Alternate Names

AN1-type zinc finger protein 2A, zinc finger, AN1-type domain 2A

Gene Symbol

ZFAND2A

Additional ZFAND2A Products

Product Documents for ZFAND2A Antibody - BSA Free

Certificate of Analysis

To download a Certificate of Analysis, please enter a lot number in the search box below.

Product Specific Notices for ZFAND2A Antibody - BSA Free

This product is for research use only and is not approved for use in humans or in clinical diagnosis. Primary Antibodies are guaranteed for 1 year from date of receipt.

Loading...
Loading...
Loading...
Loading...