Zeta Opioid Receptor Antibody - BSA Free
Novus Biologicals, part of Bio-Techne | Catalog # NBP1-90340
Key Product Details
Species Reactivity
Human
Applications
Immunohistochemistry, Immunohistochemistry-Paraffin, Immunocytochemistry/ Immunofluorescence
Label
Unconjugated
Antibody Source
Polyclonal Rabbit IgG
Format
BSA Free
Concentration
Concentrations vary lot to lot. See vial label for concentration. If unlisted please contact technical services.
Product Specifications
Immunogen
This antibody was developed against Recombinant Protein corresponding to amino acids: RRKVDEGAGDSAAVASGGAQTLALAGSPAPSGHPKAGHSENGVEEDTEGRTGPKEGTPGSPSETPGPSPAGPAGDEPA
Clonality
Polyclonal
Host
Rabbit
Isotype
IgG
Description
Novus Biologicals Rabbit Zeta Opioid Receptor Antibody - BSA Free (NBP1-90340) is a polyclonal antibody validated for use in IHC and ICC/IF. All Novus Biologicals antibodies are covered by our 100% guarantee.
Scientific Data Images for Zeta Opioid Receptor Antibody - BSA Free
Immunocytochemistry/ Immunofluorescence: Zeta Opioid Receptor Antibody [NBP1-90340]
Immunocytochemistry/Immunofluorescence: Zeta Opioid Receptor Antibody [NBP1-90340] - Immunofluorescent staining of human cell line U-2 OS shows localization to nucleoplasm.Immunohistochemistry: Zeta Opioid Receptor Antibody - BSA Free [NBP1-90340]
Staining of human gastrointestinal shows strong nuclear positivity in glandular cells.Immunohistochemistry: Zeta Opioid Receptor Antibody - BSA Free [NBP1-90340]
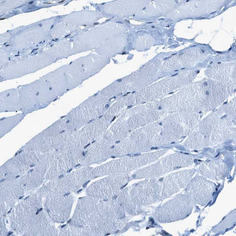
Staining of human skeletal muscle shows no positivity in myocytes as aspected.Applications for Zeta Opioid Receptor Antibody - BSA Free
Application
Recommended Usage
Immunocytochemistry/ Immunofluorescence
0.25-2 ug/ml
Immunohistochemistry
1:50 - 1:200
Immunohistochemistry-Paraffin
1:50 - 1:200
Application Notes
For IHC-Paraffin, HIER pH 6 retrieval is recommended. Immunocytochemistry/Immunofluorescence Fixation Permeabilization: Use PFA/Triton X-100.
Formulation, Preparation, and Storage
Purification
Affinity purified
Formulation
PBS (pH 7.2) and 40% Glycerol
Format
BSA Free
Preservative
0.02% Sodium Azide
Concentration
Concentrations vary lot to lot. See vial label for concentration. If unlisted please contact technical services.
Shipping
The product is shipped with polar packs. Upon receipt, store it immediately at the temperature recommended below.
Stability & Storage
Store at 4C short term. Aliquot and store at -20C long term. Avoid freeze-thaw cycles.
Background: Zeta Opioid Receptor
Alternate Names
7-60, 7-60 protein, OGFr, opioid growth factor receptor, Protein 7-60, Zeta-type opioid receptor
Entrez Gene IDs
11054 (Human)
Gene Symbol
OGFR
UniProt
Additional Zeta Opioid Receptor Products
Product Documents for Zeta Opioid Receptor Antibody - BSA Free
Product Specific Notices for Zeta Opioid Receptor Antibody - BSA Free
This product is for research use only and is not approved for use in humans or in clinical diagnosis. Primary Antibodies are guaranteed for 1 year from date of receipt.
Loading...
Loading...
Loading...
Loading...