Skip to main content

ZEB2 Antibody (CL13467) - BSA Free

Novus Biologicals, part of Bio-Techne | Catalog # NBP3-24559

Novus Biologicals, part of Bio-Techne
Catalog #
Availability
Size / Price
Qty
Loading...
NBP3-24559-25ul
NBP3-24559-100ul

Key Product Details

Validated by

Orthogonal Validation

Species Reactivity

Validated:

Human

Predicted:

Mouse (93%), Rat (95%). Backed by our 100% Guarantee.

Applications

Immunohistochemistry, Immunohistochemistry-Paraffin, Western Blot, Immunocytochemistry/ Immunofluorescence

Label

Unconjugated

Antibody Source

Monoclonal Mouse IgG1 Clone # CL13467

Format

BSA Free

Concentration

Concentrations vary lot to lot. See vial label for concentration. If unlisted please contact technical services.

Product Specifications

Immunogen

This antibody was developed using a recombinant protein derived from O60315, with the exact immunogen sequence remaining proprietary.

Clonality

Monoclonal

Host

Mouse

Isotype

IgG1

Description

Novus Biologicals Mouse ZEB2 Antibody (CL13467) - BSA Free (NBP3-24559) is a monoclonal antibody validated for use in IHC, WB and ICC/IF. All Novus Biologicals antibodies are covered by our 100% guarantee.

Scientific Data Images for ZEB2 Antibody (CL13467) - BSA Free

Immunohistochemistry-Paraffin: ZEB2 Antibody (CL13467) [NBP3-24559]

Staining of human cervix shows strong nuclear positivity in squamous epithelial cells.

Immunohistochemistry-Paraffin: ZEB2 Antibody (CL13467) [NBP3-24559]

Staining of human tonsil shows strong nuclear positivity in germinal center cells.

Immunohistochemistry-Paraffin: ZEB2 Antibody (CL13467) [NBP3-24559]

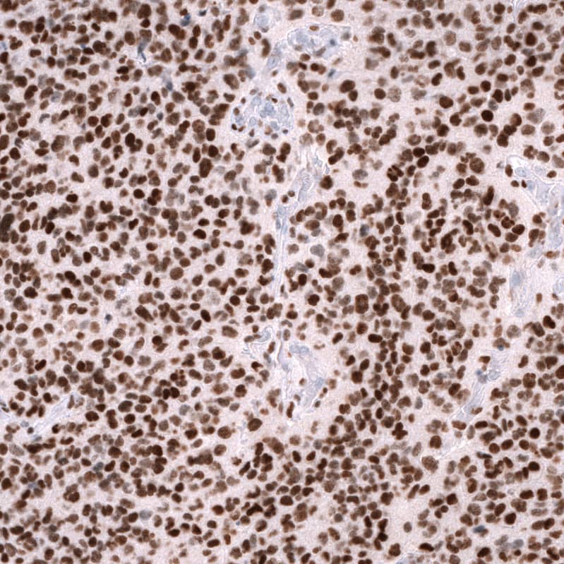
Staining of human anaplastic oligodendroglioma shows strong nuclear positivity in tumor cells.

Applications for ZEB2 Antibody (CL13467) - BSA Free

Application
Recommended Usage

Immunocytochemistry/ Immunofluorescence

2-10 ug/ml

Immunohistochemistry

1:20 - 1:50

Immunohistochemistry-Paraffin

1:20 - 1:50

Western Blot

1ug/ml
Application Notes
For IHC-Paraffin, we recommend using Heat-Induced Epitope Retrieval (HIER) with a pH level of 6. This optimized retrieval method ensures the best results for your experiments, For ICC/IF, we recommend using a combination of PFA and Triton X-100. This will give you the optimal results for your experiments.

Formulation, Preparation, and Storage

Purification

Protein A purified

Formulation

PBS (pH 7.2) and 40% Glycerol

Format

BSA Free

Preservative

0.02% Sodium Azide

Concentration

Concentrations vary lot to lot. See vial label for concentration. If unlisted please contact technical services.

Shipping

The product is shipped with polar packs. Upon receipt, store it immediately at the temperature recommended below.

Stability & Storage

Store at 4C short term. Aliquot and store at -20C long term. Avoid freeze-thaw cycles.

Background: ZEB2/SIP1

The ZEB2 gene (also known as SIP1 and SMADIP1) is a member of the delta-EF1 (ZEB1; MIM 189909)/Zfh1 family of 2-handed zinc finger/homeodomain proteins. SMADIP1 interacts with receptor-mediated, activated full-length SMADs (see MIM 605568) (Verschueren et al., 1999 [PubMed 10400677]).[supplied by OMIM]

Alternate Names

HSPC082, SIP1, SMADIP1, ZFHX1B

Gene Symbol

ZEB2

Additional ZEB2/SIP1 Products

Product Documents for ZEB2 Antibody (CL13467) - BSA Free

Certificate of Analysis

To download a Certificate of Analysis, please enter a lot number in the search box below.

Product Specific Notices for ZEB2 Antibody (CL13467) - BSA Free

This product is for research use only and is not approved for use in humans or in clinical diagnosis. Primary Antibodies are guaranteed for 1 year from date of receipt.

Loading...
Loading...
Loading...
Loading...