Skip to main content

ZEB1 Antibody

Novus Biologicals, part of Bio-Techne | Catalog # NBP2-20942

Novus Biologicals, part of Bio-Techne
Catalog #
Availability
Size / Price
Qty
Loading...
NBP2-20942

Key Product Details

Validated by

Knockout/Knockdown

Species Reactivity

Validated:

Human, Mouse, Rat

Predicted:

Bovine (94%). Backed by our 100% Guarantee.

Applications

Western Blot, Immunocytochemistry/ Immunofluorescence, Immunoprecipitation, Chromatin Immunoprecipitation (ChIP), Knockdown Validated

Label

Unconjugated

Antibody Source

Polyclonal Rabbit IgG

Concentration

Concentrations vary lot to lot. See vial label for concentration. If unlisted please contact technical services.

Product Specifications

Immunogen

Recombinant protein encompassing a sequence within the center region of human ZEB1. The exact sequence is proprietary.

Reactivity Notes

Chicken (89%).

Localization

Nucleus

Marker

Mesenchymal Cells Marker

Clonality

Polyclonal

Host

Rabbit

Isotype

IgG

Theoretical MW

124 kDa.
Disclaimer note: The observed molecular weight of the protein may vary from the listed predicted molecular weight due to post translational modifications, post translation cleavages, relative charges, and other experimental factors.

Description

Novus Biologicals Rabbit ZEB1 Antibody (NBP2-20942) is a polyclonal antibody validated for use in WB, ICC/IF, IP and ChIP. Anti-ZEB1 Antibody: Cited in 1 publication. All Novus Biologicals antibodies are covered by our 100% guarantee.

Scientific Data Images for ZEB1 Antibody

Western Blot: ZEB1 Antibody [NBP2-20942]

Western Blot: ZEB1 Antibody [NBP2-20942]

Western Blot: ZEB1 Antibody [NBP2-20942] - Non-transfected (-) and transfected (+) HeLa whole cell extracts (30 ug) were separated by 5% SDS-PAGE, and the membrane was blotted with ZEB1 antibody diluted at 1:500. An HRP-conjugated anti-rabbit IgG antibody was used to detect the primary antibody, and the signal was developed by ECL.
Chromatin Immunoprecipitation: ZEB1 Antibody [NBP2-20942] - Cross-linked ChIP was performed with HeLa chromatin extract and 5 ug of either control rabbit IgG or anti-ZEB1 antibody. The precipitated DNA was detected by PCR with primer set targeting to LAMC2 promotor.
Western Blot: ZEB1 Antibody [NBP2-20942]

Western Blot: ZEB1 Antibody [NBP2-20942]

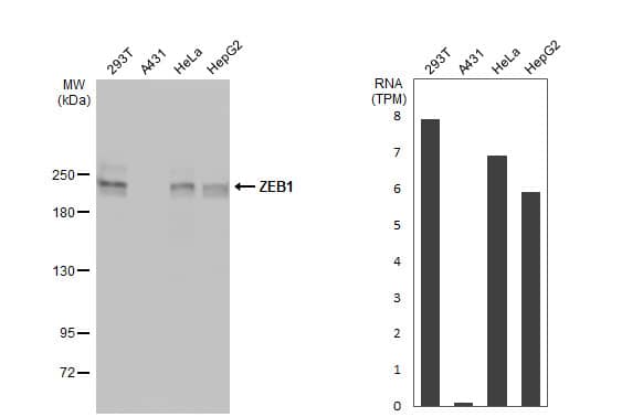
Western Blot: ZEB1 Antibody [NBP2-20942] - Various whole cell extracts (30 ug) were separated by 5% SDS-PAGE, and the membrane was blotted with ZEB1 antibody [N2C1], Internal diluted at 1:1000.

Applications for ZEB1 Antibody

Application
Recommended Usage

Chromatin Immunoprecipitation (ChIP)

Assay dependent

Immunocytochemistry/ Immunofluorescence

1:100-1:1000

Immunoprecipitation

1:100-1:500

Western Blot

1:500-1:3000

Formulation, Preparation, and Storage

Purification

Antigen Affinity-purified

Formulation

PBS, 1% BSA, 20% Glycerol

Preservative

0.025% Proclin 300

Concentration

Concentrations vary lot to lot. See vial label for concentration. If unlisted please contact technical services.

Shipping

The product is shipped with polar packs. Upon receipt, store it immediately at the temperature recommended below.

Stability & Storage

Aliquot and store at -20C or -80C. Avoid freeze-thaw cycles.

Background: ZEB1

ZEB1 encodes a zinc finger transcription factor that represses T-lymphocyte-specific IL2 gene (MIM 147680) expression by binding to a negative regulatory domain 100 nucleotides 5-prime of the IL2 transcription start site (Williams et al., 1991 [PubMed 1840704]).[supplied by OMIM]

Long Name

Zinc Finger E-box Binding Homeobox 1

Alternate Names

AREB6, BZP, DELTAEF1, FECD6, NIL2A, PPCD3, TCF8, ZFHEP

Gene Symbol

ZEB1

UniProt

Additional ZEB1 Products

Product Documents for ZEB1 Antibody

Certificate of Analysis

To download a Certificate of Analysis, please enter a lot number in the search box below.

Product Specific Notices for ZEB1 Antibody

This product is for research use only and is not approved for use in humans or in clinical diagnosis. Primary Antibodies are guaranteed for 1 year from date of receipt.

Loading...
Loading...
Loading...
Loading...
Loading...