Skip to main content

ZDHHC12 Antibody - BSA Free

Novus Biologicals, part of Bio-Techne | Catalog # NBP2-31763

Novus Biologicals, part of Bio-Techne
Catalog #
Availability
Size / Price
Qty
Loading...
NBP2-31763
NBP2-31763-25ul

Key Product Details

Species Reactivity

Validated:

Human

Predicted:

Rat (93%). Backed by our 100% Guarantee.

Applications

Immunohistochemistry, Immunohistochemistry-Paraffin, Immunocytochemistry/ Immunofluorescence

Label

Unconjugated

Antibody Source

Polyclonal Rabbit IgG

Format

BSA Free

Concentration

Concentrations vary lot to lot. See vial label for concentration. If unlisted please contact technical services.

Product Specifications

Immunogen

This antibody was developed against a recombinant protein corresponding to amino acids: MDPGYVNVQPQPQEELKEEQTAMVPPAIPLRRCRYCLVLQPLRARHCRECRRCVRRY

Reactivity Notes

Immunogen displays the following percentage of sequence identity for non-tested species: Mouse (84%)

Clonality

Polyclonal

Host

Rabbit

Isotype

IgG

Description

Novus Biologicals Rabbit ZDHHC12 Antibody - BSA Free (NBP2-31763) is a polyclonal antibody validated for use in IHC and ICC/IF. All Novus Biologicals antibodies are covered by our 100% guarantee.

Scientific Data Images for ZDHHC12 Antibody - BSA Free

ZDHHC12 Antibody Immunohistochemistry-Paraffin: ZDHHC12 Antibody [NBP2-31763] -

Immunohistochemistry-Paraffin: ZDHHC12 Antibody [NBP2-31763] -

Staining of human cerebral cortex shows strong nuclear positivity in neurons.
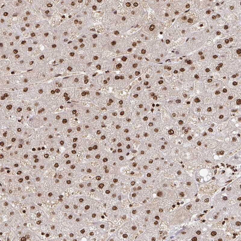
ZDHHC12 Antibody Immunohistochemistry-Paraffin: ZDHHC12 Antibody [NBP2-31763] -

Immunohistochemistry-Paraffin: ZDHHC12 Antibody [NBP2-31763] -

Staining of human liver shows strong nuclear positivity in hepatocytes.
ZDHHC12 Antibody Immunohistochemistry-Paraffin: ZDHHC12 Antibody [NBP2-31763] -

Immunohistochemistry-Paraffin: ZDHHC12 Antibody [NBP2-31763] -

Staining of human lymph node shows strong nuclear positivity in non-germinal center cells.

Applications for ZDHHC12 Antibody - BSA Free

Application
Recommended Usage

Immunocytochemistry/ Immunofluorescence

0.25-2 ug/ml

Immunohistochemistry

1:20 - 1:50

Immunohistochemistry-Paraffin

1:20 - 1:50
Application Notes
For IHC-Paraffin, HIER pH 6 retrieval is recommended.

Formulation, Preparation, and Storage

Purification

Affinity purified

Formulation

PBS (pH 7.2) and 40% Glycerol

Format

BSA Free

Preservative

0.02% Sodium Azide

Concentration

Concentrations vary lot to lot. See vial label for concentration. If unlisted please contact technical services.

Shipping

The product is shipped with polar packs. Upon receipt, store it immediately at the temperature recommended below.

Stability & Storage

Store at 4C short term. Aliquot and store at -20C long term. Avoid freeze-thaw cycles.

Background: ZDHHC12

Alternate Names

EC 2.3.1.-, MGC13153, MGC54050, zinc finger, DHHC-type containing 12, ZNF400DHHC domain containing 12

Gene Symbol

ZDHHC12

UniProt

Additional ZDHHC12 Products

Product Documents for ZDHHC12 Antibody - BSA Free

Certificate of Analysis

To download a Certificate of Analysis, please enter a lot number in the search box below.

Product Specific Notices for ZDHHC12 Antibody - BSA Free

This product is for research use only and is not approved for use in humans or in clinical diagnosis. Primary Antibodies are guaranteed for 1 year from date of receipt.

Loading...
Loading...
Loading...
Loading...