Skip to main content

ZCCHC24 Antibody - BSA Free

Novus Biologicals, part of Bio-Techne | Catalog # NBP1-88536

Novus Biologicals, part of Bio-Techne
Catalog #
Availability
Size / Price
Qty
Loading...
NBP1-88536
NBP1-88536-25ul

Key Product Details

Species Reactivity

Validated:

Human

Predicted:

Mouse (100%), Rat (100%). Backed by our 100% Guarantee.

Applications

Immunohistochemistry, Immunohistochemistry-Paraffin, Immunocytochemistry/ Immunofluorescence

Label

Unconjugated

Antibody Source

Polyclonal Rabbit IgG

Format

BSA Free

Concentration

Concentrations vary lot to lot. See vial label for concentration. If unlisted please contact technical services.

Product Specifications

Immunogen

This antibody was developed against Recombinant Protein corresponding to amino acids: FNKGHYIKDCPQARPKGEGLTPYQGKKRCFGEYKCPKCKRKWMSGNSWANMGQECIKCHINVYPHKQRPLEKPDGLDVSDQSKEHPQHLCEKCKVLGYY

Clonality

Polyclonal

Host

Rabbit

Isotype

IgG

Scientific Data Images for ZCCHC24 Antibody - BSA Free

Immunocytochemistry/ Immunofluorescence: ZCCHC24 Antibody [NBP1-88536]

Immunocytochemistry/ Immunofluorescence: ZCCHC24 Antibody [NBP1-88536]

Immunocytochemistry/Immunofluorescence: ZCCHC24 Antibody [NBP1-88536] - Immunofluorescent staining of human cell line U-2 OS shows localization to nucleoplasm & mitochondria.
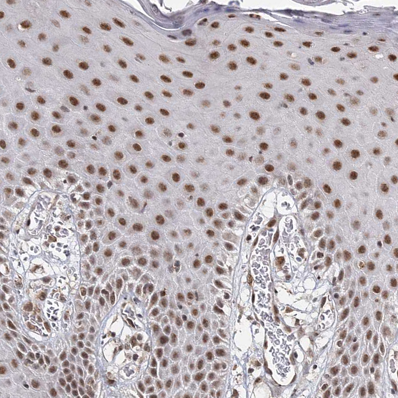
ZCCHC24 Antibody - BSA Free Immunohistochemistry-Paraffin: ZCCHC24 Antibody - BSA Free [NBP1-88536]

Immunohistochemistry-Paraffin: ZCCHC24 Antibody - BSA Free [NBP1-88536]

Staining of human skin shows moderate nuclear positivity in squamous epithelial cells.
ZCCHC24 Antibody - BSA Free Immunohistochemistry-Paraffin: ZCCHC24 Antibody - BSA Free [NBP1-88536]

Immunohistochemistry-Paraffin: ZCCHC24 Antibody - BSA Free [NBP1-88536]

Staining of human tonsil shows moderate nuclear positivity in germinal center cells.

Applications for ZCCHC24 Antibody - BSA Free

Application
Recommended Usage

Immunocytochemistry/ Immunofluorescence

0.25-2 ug/ml

Immunohistochemistry

1:200 - 1:500

Immunohistochemistry-Paraffin

1:200 - 1:500
Application Notes
For IHC-Paraffin, HIER pH 6 retrieval is recommended. Immunocytochemistry/Immunofluorescence Fixation Permeabilization: Use PFA/Triton X-100.

Formulation, Preparation, and Storage

Purification

Affinity purified

Formulation

PBS (pH 7.2) and 40% Glycerol

Format

BSA Free

Preservative

0.02% Sodium Azide

Concentration

Concentrations vary lot to lot. See vial label for concentration. If unlisted please contact technical services.

Shipping

The product is shipped with polar packs. Upon receipt, store it immediately at the temperature recommended below.

Stability & Storage

Store at 4C short term. Aliquot and store at -20C long term. Avoid freeze-thaw cycles.

Background: ZCCHC24

ZCCHC24 is a gene that codes for a protein 241 amino acids in length, with a weight of approximately 27 kDa. Current research is being done on diseases and disorders related to this gene including Alzheimer's disease.

Alternate Names

C10orf56, chromosome 10 open reading frame 56, FLJ90798, zinc finger CCHC domain-containing protein 24, zinc finger, CCHC domain containing 24

Gene Symbol

ZCCHC24

Additional ZCCHC24 Products

Product Documents for ZCCHC24 Antibody - BSA Free

Certificate of Analysis

To download a Certificate of Analysis, please enter a lot number in the search box below.

Product Specific Notices for ZCCHC24 Antibody - BSA Free

This product is for research use only and is not approved for use in humans or in clinical diagnosis. Primary Antibodies are guaranteed for 1 year from date of receipt.

Loading...
Loading...
Loading...
Loading...