Skip to main content

ZC3H8 Antibody (OTI4H5) - Azide and BSA Free

Novus Biologicals, part of Bio-Techne | Catalog # NBP2-74908

Novus Biologicals, part of Bio-Techne

Key Product Details

Species Reactivity

Human

Applications

Immunohistochemistry, Immunohistochemistry-Paraffin

Label

Unconjugated

Antibody Source

Monoclonal Mouse IgG1 Clone # OTI4H5

Format

Azide and BSA Free

Concentration

LYOPH mg/ml

Product Specifications

Immunogen

Full length human recombinant protein of human ZC3H8 (NP_115883) produced in E.coli.

Clonality

Monoclonal

Host

Mouse

Isotype

IgG1

Theoretical MW

33.4 kDa.
Disclaimer note: The observed molecular weight of the protein may vary from the listed predicted molecular weight due to post translational modifications, post translation cleavages, relative charges, and other experimental factors.

Description

Novus Biologicals Mouse ZC3H8 Antibody (OTI4H5) - Azide and BSA Free (NBP2-46397) is a monoclonal antibody validated for use in IHC. All Novus Biologicals antibodies are covered by our 100% guarantee.

Scientific Data Images for ZC3H8 Antibody (OTI4H5) - Azide and BSA Free

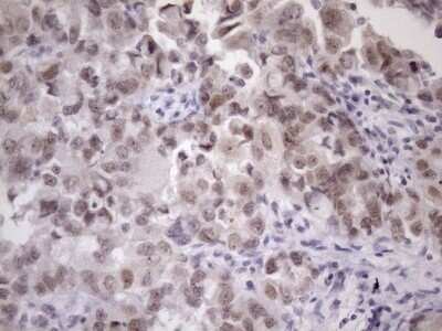
Immunohistochemistry: ZC3H8 Antibody (OTI4H5) - Azide and BSA Free [NBP2-74908]

Immunohistochemistry: ZC3H8 Antibody (OTI4H5) - Azide and BSA Free [NBP2-74908]

Immunohistochemistry: ZC3H8 Antibody (OTI4H5) - Azide and BSA Free [NBP2-74908] - Analysis of Human lymphoma tissue. (Heat-induced epitope retrieval by 1mM EDTA in 10mM Tris buffer (pH8.5) at 120C for 3 min)
Immunohistochemistry: ZC3H8 Antibody (OTI4H5) - Azide and BSA Free [NBP2-74908]

Immunohistochemistry: ZC3H8 Antibody (OTI4H5) - Azide and BSA Free [NBP2-74908]

Immunohistochemistry: ZC3H8 Antibody (OTI4H5) - Azide and BSA Free [NBP2-74908] - Analysis of Adenocarcinoma of Human breast tissue. (Heat-induced epitope retrieval by 1mM EDTA in 10mM Tris buffer (pH8.5) at 120C for 3 min)
Immunohistochemistry: ZC3H8 Antibody (OTI4H5) - Azide and BSA Free [NBP2-74908]

Immunohistochemistry: ZC3H8 Antibody (OTI4H5) - Azide and BSA Free [NBP2-74908]

Immunohistochemistry: ZC3H8 Antibody (OTI4H5) - Azide and BSA Free [NBP2-74908] - Analysis of Adenocarcinoma of Human colon tissue. (Heat-induced epitope retrieval by 1mM EDTA in 10mM Tris buffer (pH8.5) at 120C for 3 min)

Applications for ZC3H8 Antibody (OTI4H5) - Azide and BSA Free

Application
Recommended Usage

Immunohistochemistry

1:150

Formulation, Preparation, and Storage

Purification

Immunogen affinity purified

Reconstitution

we recommend adding 100uL distilled water to a final antibody concentration of about 1 mg/mL. To use this carrier-free antibody for conjugation experiment, we strongly recommend performing another round of desalting process.

Formulation

Lyophilized from PBS (pH 7.3) with 8% Trehalose

Format

Azide and BSA Free

Preservative

No Preservative

Concentration

LYOPH mg/ml

Shipping

The product is shipped with polar packs. Upon receipt, store it immediately at the temperature recommended below.

Stability & Storage

Store at -20C. Avoid freeze-thaw cycles.

Background: ZC3H8

ZC3H8 acts as a transcriptional repressor of the GATA3 promoter. Sequence-specific DNA-binding factor that binds tothe 5'-AGGTCTC-3' sequence within the negative cis-acting element intronic regulatory region (IRR) of the GATA3 gene. Induces thymocyte apoptosis

Alternate Names

Fliz1, ZC3HDC8, zinc finger CCCH domain-containing protein 8, zinc finger CCCH type domain containing 8, zinc finger CCCH-type containing 8, zinc finger CCCH-type domain containing 8

Gene Symbol

ZC3H8

Additional ZC3H8 Products

Product Documents for ZC3H8 Antibody (OTI4H5) - Azide and BSA Free

Certificate of Analysis

To download a Certificate of Analysis, please enter a lot number in the search box below.

Product Specific Notices for ZC3H8 Antibody (OTI4H5) - Azide and BSA Free

This product is for research use only and is not approved for use in humans or in clinical diagnosis. Primary Antibodies are guaranteed for 1 year from date of receipt.

Loading...
Loading...
Loading...
Loading...
Loading...