Skip to main content

ZC3H14 Antibody - BSA Free

Novus Biologicals, part of Bio-Techne | Catalog # NBP2-13537

Novus Biologicals, part of Bio-Techne
Catalog #
Availability
Size / Price
Qty
Loading...
NBP2-13537
NBP2-13537-25ul

Key Product Details

Validated by

Orthogonal Validation, Independent Antibodies

Species Reactivity

Human, Mouse

Applications

Immunohistochemistry, Immunohistochemistry-Paraffin, Western Blot, Immunocytochemistry/ Immunofluorescence

Label

Unconjugated

Antibody Source

Polyclonal Rabbit IgG

Format

BSA Free

Concentration

Concentrations vary lot to lot. See vial label for concentration. If unlisted please contact technical services.

Product Specifications

Immunogen

This antibody was developed against a recombinant protein corresponding to the amino acids: RPSIEIYRPPASRNADSGVHLNRLQFQQQQNSIHAAKQLDMQSSWVYETGRLCEPEVLNSLEETYSPFFRNNSEKMSMEDENFRKRKLPVVSSVVKVK

Reactivity Notes

Immunogen displays the following percentage of sequence identity for non-tested species: Rat (82%). Mouse reactivity reported from a verified customer review.

Clonality

Polyclonal

Host

Rabbit

Isotype

IgG

Description

Novus Biologicals Rabbit ZC3H14 Antibody - BSA Free (NBP2-13537) is a polyclonal antibody validated for use in IHC, WB and ICC/IF. All Novus Biologicals antibodies are covered by our 100% guarantee.

Scientific Data Images for ZC3H14 Antibody - BSA Free

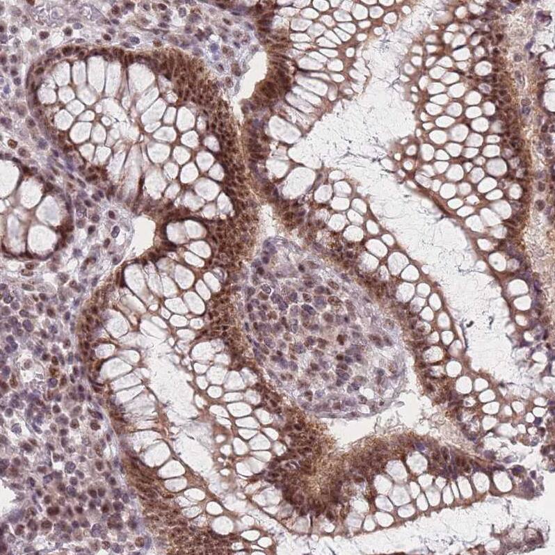
Immunohistochemistry-Paraffin: ZC3H14 Antibody [NBP2-13537]

Immunohistochemistry-Paraffin: ZC3H14 Antibody [NBP2-13537]

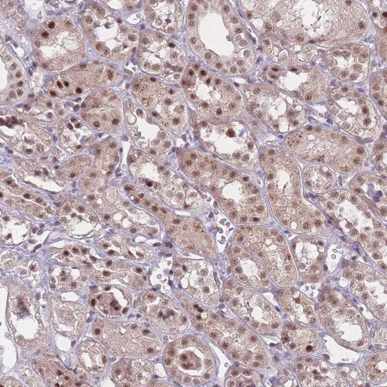
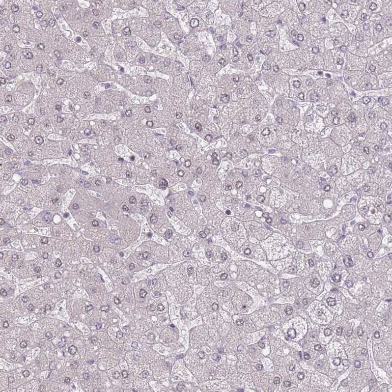
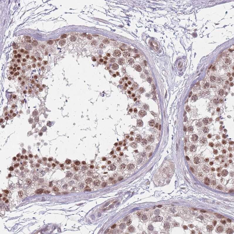
Immunohistochemistry-Paraffin: ZC3H14 Antibody [NBP2-13537] - Analysis in human testis and liver tissues using NBP2-13537 antibody. Corresponding ZC3H14 RNA-seq data are presented for the same tissues.
Immunohistochemistry-Paraffin: ZC3H14 Antibody [NBP2-13537]

Immunohistochemistry-Paraffin: ZC3H14 Antibody [NBP2-13537]

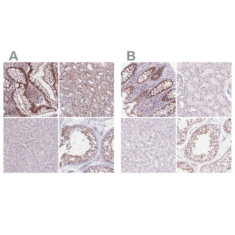
Immunohistochemistry-Paraffin: ZC3H14 Antibody [NBP2-13537] - Staining of human colon, kidney, liver and testis using Anti-ZC3H14 antibody NBP2-13537 (A) shows similar protein distribution across tissues to independent antibody NBP2-49087 (B).
Western Blot: ZC3H14 Antibody [NBP2-13537]

Western Blot: ZC3H14 Antibody [NBP2-13537]

Western Blot: ZC3H14 Antibody [NBP2-13537] - Analysis in human cell line RH-30.

Applications for ZC3H14 Antibody - BSA Free

Application
Recommended Usage

Immunocytochemistry/ Immunofluorescence

0.25-2 ug/ml

Immunohistochemistry

1:50 - 1:200

Immunohistochemistry-Paraffin

1:50-1:200

Western Blot

0.04-0.4 ug/ml
Application Notes
For IHC-Paraffin, HIER pH 6 retrieval is recommended. For ICC/IF Fixation/Permeabilization: PFA/Triton X-100.

Reviewed Applications

Read 1 review rated 5 using NBP2-13537 in the following applications:

Formulation, Preparation, and Storage

Purification

Affinity purified

Formulation

PBS (pH 7.2) and 40% Glycerol

Format

BSA Free

Preservative

0.02% Sodium Azide

Concentration

Concentrations vary lot to lot. See vial label for concentration. If unlisted please contact technical services.

Shipping

The product is shipped with polar packs. Upon receipt, store it immediately at the temperature recommended below.

Stability & Storage

Store at 4C short term. Aliquot and store at -20C long term. Avoid freeze-thaw cycles.

Background: ZC3H14

ZC3H14 binds the polyadenosine RNA oligonucleotides

Alternate Names

FLJ11806, Mammalian suppressor of tau pathology-2, MGC26892, MSUT-2, nuclear protein UKp68, NY-REN-37, Renal carcinoma antigen NY-REN-37, SUT2, UKp68, zinc finger CCCH domain-containing protein 14, zinc finger CCCH-type containing 14

Gene Symbol

ZC3H14

Additional ZC3H14 Products

Product Documents for ZC3H14 Antibody - BSA Free

Certificate of Analysis

To download a Certificate of Analysis, please enter a lot number in the search box below.

Product Specific Notices for ZC3H14 Antibody - BSA Free

This product is for research use only and is not approved for use in humans or in clinical diagnosis. Primary Antibodies are guaranteed for 1 year from date of receipt.

Loading...
Loading...
Loading...
Loading...