ZC3H10 Antibody - BSA Free
Novus Biologicals, part of Bio-Techne | Catalog # NBP1-82233
Key Product Details
Species Reactivity
Validated:
Human
Predicted:
Mouse (100%), Rat (99%). Backed by our 100% Guarantee.
Applications
Immunohistochemistry, Immunohistochemistry-Paraffin, Western Blot
Label
Unconjugated
Antibody Source
Polyclonal Rabbit IgG
Format
BSA Free
Concentration
Concentrations vary lot to lot. See vial label for concentration. If unlisted please contact technical services.
Product Specifications
Immunogen
This antibody was developed against Recombinant Protein corresponding to amino acids: IFCHDFQNKECSRPNCRFIHGSKEDEDGYKKTGELPPRLRQKVAAGLGLSPADLPNGKEEVPICRDFLKGDCQRGAKCKFRHLQRDFEF
Clonality
Polyclonal
Host
Rabbit
Isotype
IgG
Description
Novus Biologicals Rabbit ZC3H10 Antibody - BSA Free (NBP1-82233) is a polyclonal antibody validated for use in IHC and WB. All Novus Biologicals antibodies are covered by our 100% guarantee.
Scientific Data Images for ZC3H10 Antibody - BSA Free
Western Blot: ZC3H10 Antibody [NBP1-82233]
Western Blot: ZC3H10 Antibody [NBP1-82233] - Analysis in control (vector only transfected HEK293T lysate) and ZC3H10 over-expression lysate (Co-expressed with a C-terminal myc-DDK tag (3.1 kDa) in mammalian HEK293T cells).Immunohistochemistry-Paraffin: ZC3H10 Antibody [NBP1-82233]
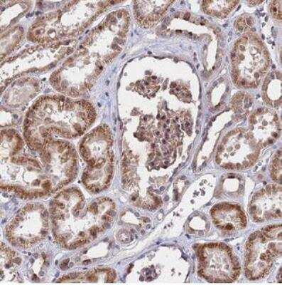
Immunohistochemistry-Paraffin: ZC3H10 Antibody [NBP1-82233] - Staining of human kidney shows moderate cytoplasmic positivity in tubule cells.Applications for ZC3H10 Antibody - BSA Free
Application
Recommended Usage
Immunohistochemistry
1:200 - 1:500
Immunohistochemistry-Paraffin
1:200 - 1:500
Western Blot
0.04-0.4 ug/ml
Application Notes
For IHC-Paraffin, HIER pH 6 retrieval is recommended.
Formulation, Preparation, and Storage
Purification
Affinity purified
Formulation
PBS (pH 7.2) and 40% Glycerol
Format
BSA Free
Preservative
0.02% Sodium Azide
Concentration
Concentrations vary lot to lot. See vial label for concentration. If unlisted please contact technical services.
Shipping
The product is shipped with polar packs. Upon receipt, store it immediately at the temperature recommended below.
Stability & Storage
Store at 4C short term. Aliquot and store at -20C long term. Avoid freeze-thaw cycles.
Background: ZC3H10
Alternate Names
FLJ14451, ZC3HDC10, zinc finger CCCH domain-containing protein 10, zinc finger CCCH-type containing 10, zinc finger CCCH-type domain containing 10
Gene Symbol
ZC3H10
Additional ZC3H10 Products
Product Documents for ZC3H10 Antibody - BSA Free
Product Specific Notices for ZC3H10 Antibody - BSA Free
This product is for research use only and is not approved for use in humans or in clinical diagnosis. Primary Antibodies are guaranteed for 1 year from date of receipt.
Loading...
Loading...
Loading...
Loading...