Skip to main content

ZBTB48 Antibody - BSA Free

Novus Biologicals, part of Bio-Techne | Catalog # NBP1-81740

Novus Biologicals, part of Bio-Techne
Catalog #
Availability
Size / Price
Qty
Loading...
NBP1-81740
NBP1-81740-25ul

Key Product Details

Species Reactivity

Human

Applications

Immunohistochemistry, Immunohistochemistry-Paraffin, Immunocytochemistry/ Immunofluorescence

Label

Unconjugated

Antibody Source

Polyclonal Rabbit IgG

Format

BSA Free

Concentration

Concentrations vary lot to lot. See vial label for concentration. If unlisted please contact technical services.

Product Specifications

Immunogen

This antibody was developed against Recombinant Protein corresponding to amino acids: TSVGQAAGGQSGLGPPASQNVNSHVKEPAGLEEEEVSRTLGLVPRDQEPRGSHSPQRPQLHSPAQSEGPSSLCGKLKQAL

Clonality

Polyclonal

Host

Rabbit

Isotype

IgG

Scientific Data Images for ZBTB48 Antibody - BSA Free

Immunocytochemistry/ Immunofluorescence: ZBTB48 Antibody [NBP1-81740]

Immunocytochemistry/ Immunofluorescence: ZBTB48 Antibody [NBP1-81740]

Immunocytochemistry/Immunofluorescence: ZBTB48 Antibody [NBP1-81740] - Immunofluorescent staining of human cell line A-431 shows localization to nucleoplasm & cytosol.
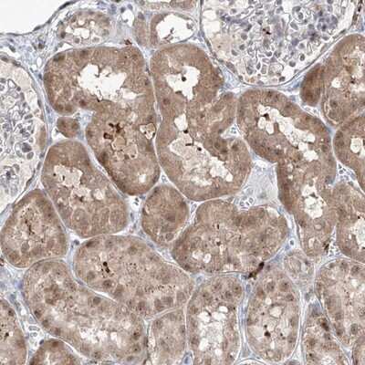
Immunohistochemistry-Paraffin: ZBTB48 Antibody [NBP1-81740]

Immunohistochemistry-Paraffin: ZBTB48 Antibody [NBP1-81740]

Immunohistochemistry-Paraffin: ZBTB48 Antibody [NBP1-81740] - Staining of human kidney shows moderate cytoplasmic and nucleolar positivity in cells in tubules.

Applications for ZBTB48 Antibody - BSA Free

Application
Recommended Usage

Immunocytochemistry/ Immunofluorescence

0.25-2 ug/ml

Immunohistochemistry

1:50 - 1:200

Immunohistochemistry-Paraffin

1:50 - 1:200
Application Notes
For IHC-Paraffin, HIER pH 6 retrieval is recommended. Immunocytochemistry/Immunofluorescence Fixation Permeabilization: Use PFA/Triton X-100.

Formulation, Preparation, and Storage

Purification

Affinity purified

Formulation

PBS (pH 7.2) and 40% Glycerol

Format

BSA Free

Preservative

0.02% Sodium Azide

Concentration

Concentrations vary lot to lot. See vial label for concentration. If unlisted please contact technical services.

Shipping

The product is shipped with polar packs. Upon receipt, store it immediately at the temperature recommended below.

Stability & Storage

Store at 4C short term. Aliquot and store at -20C long term. Avoid freeze-thaw cycles.

Background: ZBTB48

ZBTB48 binds to and regulates the J and/or S elements in MHC II promoter

Alternate Names

GLI-Kruppel family member HKR3, HKR3zinc finger and BTB domain-containing protein 48, Krueppel-related zinc finger protein 3, Protein HKR3, zinc finger and BTB domain containing 48, Zinc finger protein 855, ZNF855pp9964

Gene Symbol

ZBTB48

Additional ZBTB48 Products

Product Documents for ZBTB48 Antibody - BSA Free

Certificate of Analysis

To download a Certificate of Analysis, please enter a lot number in the search box below.

Product Specific Notices for ZBTB48 Antibody - BSA Free

This product is for research use only and is not approved for use in humans or in clinical diagnosis. Primary Antibodies are guaranteed for 1 year from date of receipt.

Loading...
Loading...
Loading...
Loading...