Skip to main content

ZBTB10 Antibody - BSA Free

Novus Biologicals, part of Bio-Techne | Catalog # NBP1-83714

Novus Biologicals, part of Bio-Techne
Catalog #
Availability
Size / Price
Qty
Loading...
NBP1-83714
NBP1-83714-25ul

Key Product Details

Species Reactivity

Human

Applications

Immunohistochemistry, Immunohistochemistry-Paraffin, Immunocytochemistry/ Immunofluorescence

Label

Unconjugated

Antibody Source

Polyclonal Rabbit IgG

Format

BSA Free

Concentration

Concentrations vary lot to lot. See vial label for concentration. If unlisted please contact technical services.

Product Specifications

Immunogen

This antibody was developed against Recombinant Protein corresponding to amino acids: SSWVQDGSPEMAENESEGQTKVFIWNNMGSQGIQETGKTRRKNQTTKRFIYNIPPNNETNLEDCSVMQPPVAYPEENTLLIKEEPDLDGALLSGPD

Reactivity Notes

Immunogen displays the following percentage of sequence identity for non-tested species: Mouse (80%), Rat (83%)

Clonality

Polyclonal

Host

Rabbit

Isotype

IgG

Scientific Data Images for ZBTB10 Antibody - BSA Free

Immunocytochemistry/ Immunofluorescence: ZBTB10 Antibody [NBP1-83714]

Immunocytochemistry/ Immunofluorescence: ZBTB10 Antibody [NBP1-83714]

Immunocytochemistry/Immunofluorescence: ZBTB10 Antibody [NBP1-83714] - Immunofluorescent staining of human cell line A-431 shows localization to nucleoplasm.
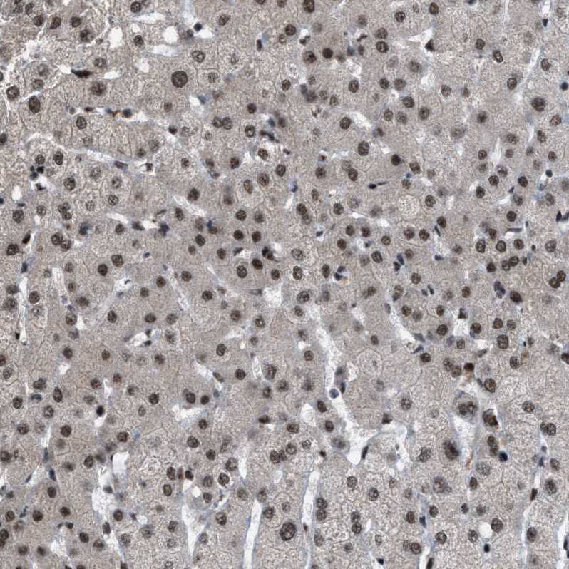
ZBTB10 Antibody - BSA Free Immunohistochemistry-Paraffin: ZBTB10 Antibody - BSA Free [NBP1-83714]

Immunohistochemistry-Paraffin: ZBTB10 Antibody - BSA Free [NBP1-83714]

Staining of human liver shows strong nuclear positivity in hepatocytes.
ZBTB10 Antibody - BSA Free Immunohistochemistry-Paraffin: ZBTB10 Antibody - BSA Free [NBP1-83714]

Immunohistochemistry-Paraffin: ZBTB10 Antibody - BSA Free [NBP1-83714]

Staining of human cervix, uterine shows strong nuclear positivity in squamous epithelial cells.

Applications for ZBTB10 Antibody - BSA Free

Application
Recommended Usage

Immunocytochemistry/ Immunofluorescence

0.25-2 ug/ml

Immunohistochemistry

1:50 - 1:200

Immunohistochemistry-Paraffin

1:50 - 1:200
Application Notes
For IHC-Paraffin, HIER pH 6 retrieval is recommended. ICC/IF, Fixation Permeabilization: Use PFA/Triton X-100.

Formulation, Preparation, and Storage

Purification

Affinity purified

Formulation

PBS (pH 7.2) and 40% Glycerol

Format

BSA Free

Preservative

0.02% Sodium Azide

Concentration

Concentrations vary lot to lot. See vial label for concentration. If unlisted please contact technical services.

Shipping

The product is shipped with polar packs. Upon receipt, store it immediately at the temperature recommended below.

Stability & Storage

Store at 4C short term. Aliquot and store at -20C long term. Avoid freeze-thaw cycles.

Background: ZBTB10

ZBTB10 may be involved in transcriptional regulation

Alternate Names

RINZFC, zinc finger and BTB domain containing 10

Gene Symbol

ZBTB10

Additional ZBTB10 Products

Product Documents for ZBTB10 Antibody - BSA Free

Certificate of Analysis

To download a Certificate of Analysis, please enter a lot number in the search box below.

Product Specific Notices for ZBTB10 Antibody - BSA Free

This product is for research use only and is not approved for use in humans or in clinical diagnosis. Primary Antibodies are guaranteed for 1 year from date of receipt.

Loading...
Loading...
Loading...
Loading...