Skip to main content

YEATS2 Antibody - BSA Free

Novus Biologicals, part of Bio-Techne | Catalog # NBP3-45534

Novus Biologicals, part of Bio-Techne
Catalog #
Availability
Size / Price
Qty
Loading...
NBP3-45534

Key Product Details

Species Reactivity

Human

Applications

Immunohistochemistry, Western Blot, ELISA, Immunoprecipitation

Label

Unconjugated

Antibody Source

Polyclonal Rabbit IgG

Format

BSA Free

Concentration

Please see the vial label for concentration. If unlisted please contact technical services.

Product Specifications

Immunogen

YEATS domain containing 2. (Uniprot# Q9ULM3)

Clonality

Polyclonal

Host

Rabbit

Isotype

IgG

Theoretical MW

151 kDa.
Disclaimer note: The observed molecular weight of the protein may vary from the listed predicted molecular weight due to post translational modifications, post translation cleavages, relative charges, and other experimental factors.

Description

Novus Biologicals Rabbit YEATS2 Antibody - BSA Free (NBP3-45534) is a polyclonal antibody validated for use in IHC, WB, ELISA and IP. All Novus Biologicals antibodies are covered by our 100% guarantee.

Scientific Data Images for YEATS2 Antibody - BSA Free

YEATS2 Antibody - BSA Free

Western Blot: YEATS2 Antibody - BSA Free [NBP3-45534] -

Western Blot: YEATS2 Antibody - BSA Free [NBP3-45534] - Jurkat cells were subjected to SDS PAGE followed by western blot with (YEATS2 Antibody) at dilution of 1:300
YEATS2 Antibody - BSA Free

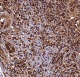
Immunohistochemistry: YEATS2 Antibody - BSA Free [NBP3-45534] -

Immunohistochemistry: YEATS2 Antibody - BSA Free [NBP3-45534] - Immunohistochemistry of paraffin-embedded human cervical cancer tissue slide using (YEATS2 Antibody) at dilution of 1:50
YEATS2 Antibody - BSA Free

Immunoprecipitation: YEATS2 Antibody - BSA Free [NBP3-45534] -

Immunoprecipitation: YEATS2 Antibody - BSA Free [NBP3-45534] - IP Result of anti-YEATS2 (IP:, 5ug; Detection:P 1:300) with Jurkat cells lysate 2000ug.

Applications for YEATS2 Antibody - BSA Free

Application
Recommended Usage

Immunohistochemistry

1:20-1:200

Immunoprecipitation

1:200-1:1000

Western Blot

1:200-1:1000

Formulation, Preparation, and Storage

Purification

Immunogen affinity purified

Formulation

PBS, 50% Glycerol, pH (7.3)

Format

BSA Free

Preservative

0.02% Sodium Azide

Concentration

Please see the vial label for concentration. If unlisted please contact technical services.

Shipping

The product is shipped with polar packs. Upon receipt, store it immediately at the temperature recommended below.

Stability & Storage

Store at -20C. Avoid freeze-thaw cycles.

Background: YEATS2

Alternate Names

YEATS domain containing 2

Gene Symbol

YEATS2

Additional YEATS2 Products

Product Documents for YEATS2 Antibody - BSA Free

Certificate of Analysis

To download a Certificate of Analysis, please enter a lot number in the search box below.

Product Specific Notices for YEATS2 Antibody - BSA Free

This product is for research use only and is not approved for use in humans or in clinical diagnosis. Primary Antibodies are guaranteed for 1 year from date of receipt.

Loading...
Loading...
Loading...
Loading...