Skip to main content

YAP1 Antibody (10G4S10)

Novus Biologicals, part of Bio-Techne | Catalog # NBP3-15685

Recombinant Monoclonal Antibody
Novus Biologicals, part of Bio-Techne
Catalog #
Availability
Size / Price
Qty
Loading...
NBP3-15685-100ul
NBP3-15685-20ul

Key Product Details

Validated by

Knockout/Knockdown

Species Reactivity

Human, Mouse, Rat

Applications

Immunohistochemistry, Immunohistochemistry-Paraffin, Western Blot, Immunocytochemistry/ Immunofluorescence, Immunoprecipitation

Label

Unconjugated

Antibody Source

Recombinant Monoclonal Rabbit IgG Clone # 10G4S10 expressed in HEK293

Concentration

Please see the vial label for concentration. If unlisted please contact technical services.

Product Specifications

Immunogen

Recombinant fusion protein containing a sequence corresponding to amino acids 155-504 of human YAP1 (NP_001123617.1). PTAQHLRQSSFEIPDDVPLPAGWEMAKTSSGQRYFLNHIDQTTTWQDPRKAMLSQMNVTAPTSPPVQQNMMNSASGPLPDGWEQAMTQDGEIYYINHKNKTTSWLDPRLDPRFAMNQRISQSAPVKQPPPLAPQSPQGGVMGGSNSNQQQQMRLQQLQMEKERLRLKQQELLRQAMRNINPSTANSPKCQELALRSQLPTLEQDGGTQNPVSSPGMSQELRTMTTNSSDPFLNSGTYHSRDESTDSGLSMSSYSVPRTPDDFLNSVDEMDTGDTINQSTLPSQQNRFPDYLEAIPGTNVDLGTLEGDGMNIEGEELMPSLQEALSSDILNDMESVLAATKLDKESFLTWL

Clonality

Monoclonal

Host

Rabbit

Isotype

IgG

Description

Novus Biologicals Rabbit YAP1 Antibody (10G4S10) (NBP3-15685) is a recombinant monoclonal antibody validated for use in IHC, WB, ICC/IF and IP. All Novus Biologicals antibodies are covered by our 100% guarantee.

Scientific Data Images for YAP1 Antibody (10G4S10)

YAP1 Antibody (10G4S10)

Western Blot: YAP1 Antibody (10G4S10) [YAP1] -

Western Blot: YAP1 Antibody (10G4S10) [YAP1] - Western blot analysis of lysates from wild type (WT) and YAP1 knockout (KO) HeLa cells using [KO Validated] YAP1 Rabbit mAb at 1:10000 dilution incubated overnight at 4C.
Secondary antibody: HRP-conjugated Goat anti-Rabbit IgG (H+L) at 1:10000 dilution.
Lysates/proteins: 25 ug per lane.
Blocking buffer: 3% nonfat dry milk in TBST.
Detection: ECL Basic Kit .
Exposure time: 10s.
YAP1 Antibody (10G4S10)

Immunocytochemistry/ Immunofluorescence: YAP1 Antibody (10G4S10) [YAP1] -

Immunocytochemistry/ Immunofluorescence: YAP1 Antibody (10G4S10) [YAP1] - Immunofluorescence analysis of NIH/3T3 cells using [KO Validated] YAP1 Rabbit mAb at dilution of 1:100 (40x lens). Secondary antibody: Cy3-conjugated Goat anti-Rabbit IgG (H+L) at 1:500 dilution. Blue: DAPI for nuclear staining.
YAP1 Antibody (10G4S10)

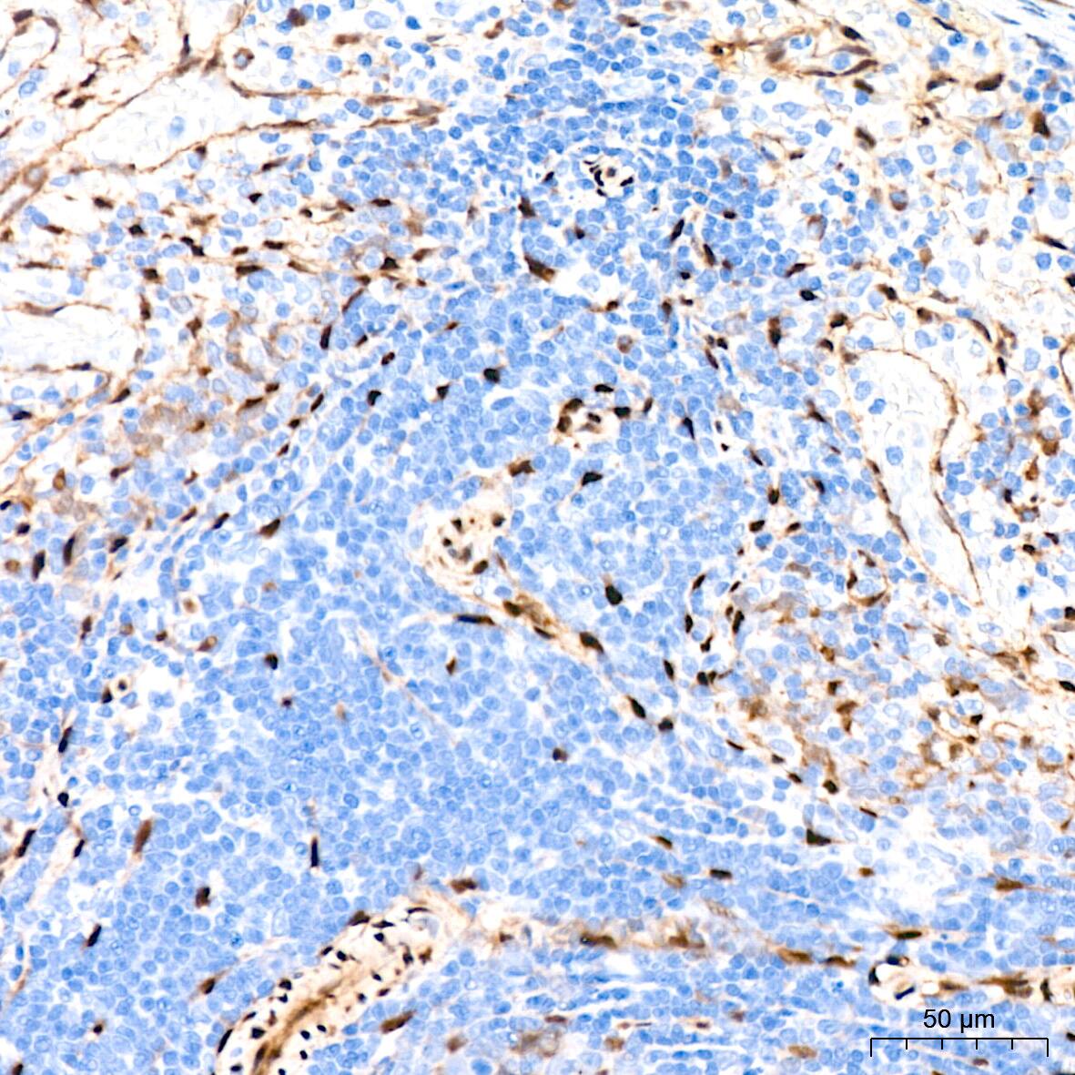
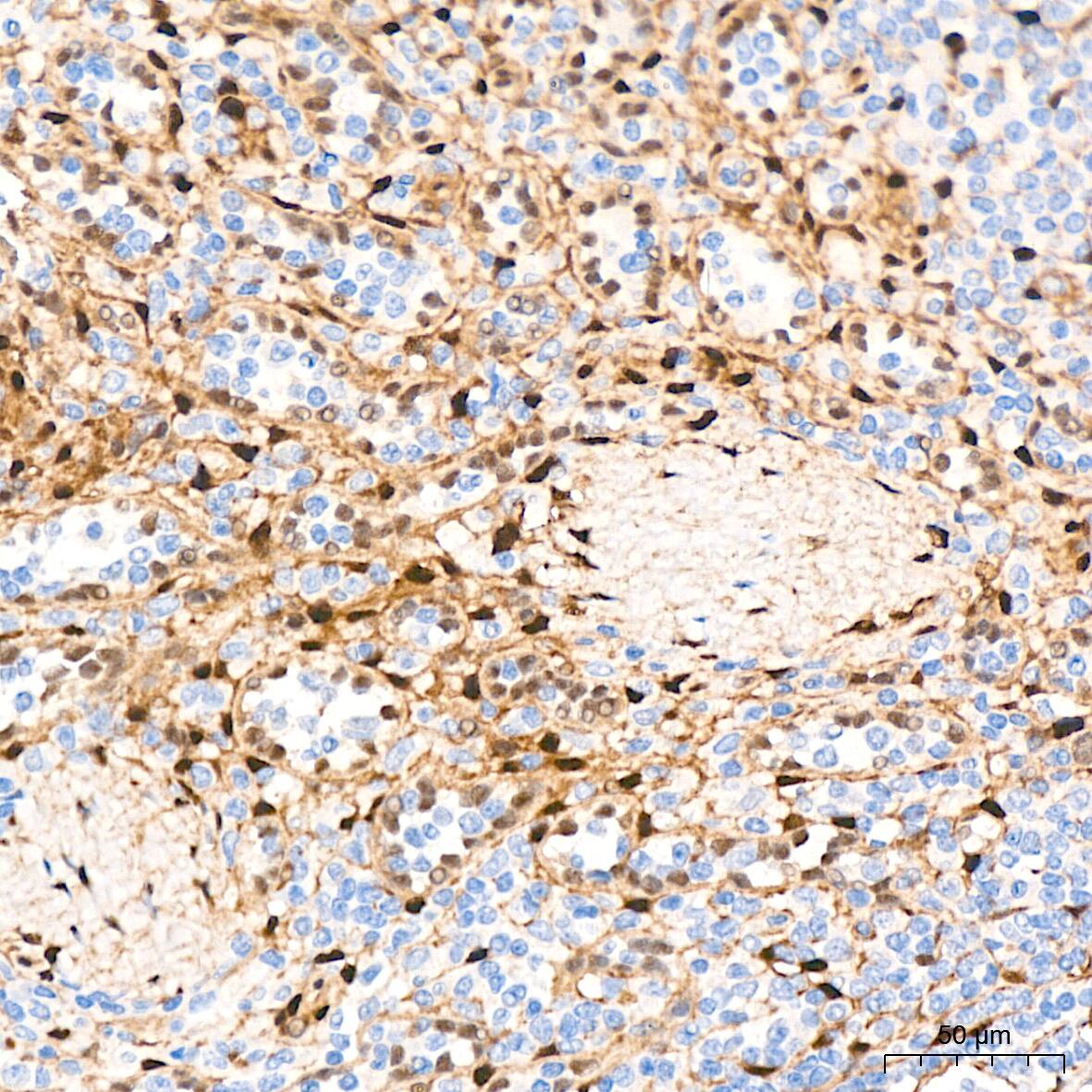
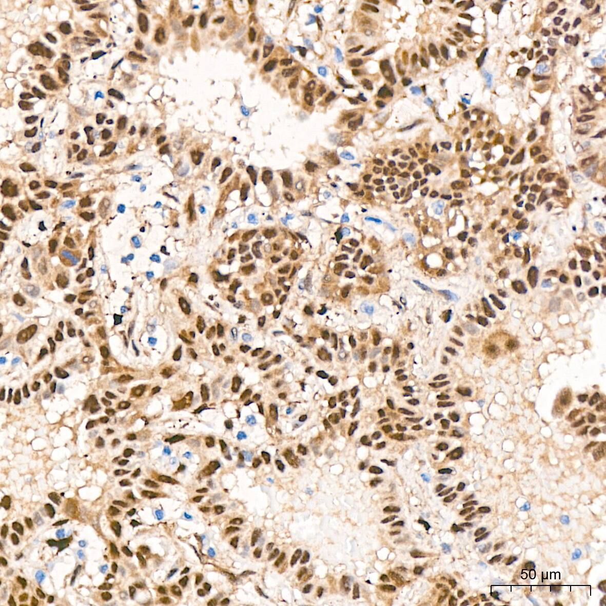
Immunohistochemistry: YAP1 Antibody (10G4S10) [YAP1] -

Immunohistochemistry: YAP1 Antibody (10G4S10) [YAP1] - Immunohistochemistry analysis of paraffin-embedded Human lung adenocarcinoma tissue using [KO Validated] YAP1 Rabbit mAb at a dilution of 1:400 (40x lens). High pressure antigen retrieval performed with 0.01M Citrate Bufferr (pH 6.0) prior to IHC staining.

Applications for YAP1 Antibody (10G4S10)

Application
Recommended Usage

Immunocytochemistry/ Immunofluorescence

1:50 - 1:200

Immunohistochemistry

1:50 - 1:200

Immunoprecipitation

1:100 - 1:500

Western Blot

1:2000 - 1:4000

Formulation, Preparation, and Storage

Purification

Affinity purified

Formulation

PBS (pH 7.3), 50% glycerol, 0.05% BSA

Preservative

0.02% Sodium Azide

Concentration

Please see the vial label for concentration. If unlisted please contact technical services.

Shipping

The product is shipped with polar packs. Upon receipt, store it immediately at the temperature recommended below.

Stability & Storage

Store at -20C. Avoid freeze-thaw cycles.

Background: YAP1

The transcriptional coactivator Yes-associated protein (YAP), also known as Yes-associated protein 1 (YAP1), Yes-Associated Protein YAP65 Homolog, Protein Yorkie Homolog and YAP65 has a theoretical molecular weight of 65 kDa. The YAP1 gene encodes the human ortholog of chicken YAP protein which binds to the SH3 domain of the Yes proto-oncogene product. YAP1 shares homology with the WW domain of transcriptional co-activator with PDZ-binding motif (TAZ), which functions as a transcriptional co-activator by binding to the PPXY motif present in transcription factors and is likely involved in protein-protein interaction. YAP has been identified as a core regulatory mechanism that blocks mammalian glial cell proliferation and cellular reprogramming following damage (1).

YAP plays a role in the development and progression of multiple cancers as a transcriptional regulator of the Hippo signaling pathway. YAP1 encodes a nuclear effector of the Hippo signaling pathway which is involved in development, growth, repair, and homeostasis to play a pivotal role in controlling cell growth and organ size and has emerged as a key player in tumor suppression (2,3). Deregulation of the Hippo pathway causes tumor formation and malignancy, with YAP being a key oncogenic driver in liver carcinogenesis (2) and may function as a potential target for cancer treatment (3).

References

1. Rueda, E. M., Hall, B. M., Hill, M. C., Swinton, P. G., Tong, X., Martin, J. F., & Poche, R. A. (2019). The Hippo Pathway Blocks Mammalian Retinal Muller Glial Cell Reprogramming. Cell Rep, 27(6), 1637-1649.e1636. doi:10.1016/j.celrep.2019.04.047

2. Liu, A. M., Xu, M. Z., Chen, J., Poon, R. T., & Luk, J. M. (2010). Targeting YAP and Hippo signaling pathway in liver cancer. Expert Opin Ther Targets, 14(8), 855-868. doi:10.1517/14728222.2010.499361

3.Ye, S., & Eisinger-Mathason, T. S. (2016). Targeting the Hippo pathway: Clinical implications and therapeutics. Pharmacol Res, 103, 270-278. doi:10.1016/j.phrs.2015.11.025

Long Name

Yes-associated Protein 1

Alternate Names

YAP2, YAP65, YKI, Yorkie Homolog

Gene Symbol

YAP1

Additional YAP1 Products

Product Documents for YAP1 Antibody (10G4S10)

Certificate of Analysis

To download a Certificate of Analysis, please enter a lot number in the search box below.

Product Specific Notices for YAP1 Antibody (10G4S10)

This product is for research use only and is not approved for use in humans or in clinical diagnosis. Primary Antibodies are guaranteed for 1 year from date of receipt.

Loading...
Loading...
Loading...
Loading...