Skip to main content

XRN2 Antibody (OTI5F4)

Novus Biologicals, part of Bio-Techne | Catalog # NBP3-44953

Novus Biologicals, part of Bio-Techne

Key Product Details

Species Reactivity

Human, Mouse, Rat

Applications

Immunohistochemistry, Western Blot

Label

Unconjugated

Antibody Source

Monoclonal Mouse IgG2B Clone # OTI5F4

Concentration

Please see the vial label for concentration. If unlisted please contact technical services.

Product Specifications

Immunogen

Human recombinant protein fragment corresponding to amino acids 677-779 of human XRN2(NP_036387) produced in E.coli.

Clonality

Monoclonal

Host

Mouse

Isotype

IgG2B

Description

Novus Biologicals Mouse XRN2 Antibody (OTI5F4) (NBP3-44953) is a monoclonal antibody validated for use in IHC and WB. All Novus Biologicals antibodies are covered by our 100% guarantee.

Scientific Data Images for XRN2 Antibody (OTI5F4)

XRN2 Antibody (OTI5F4)

Western Blot:XRN2 Antibody (OTI5F4)[NBP3-44953]

Western Blot:XRN2 Antibody (OTI5F4)[NBP3-44953]
XRN2 Antibody (OTI5F4)

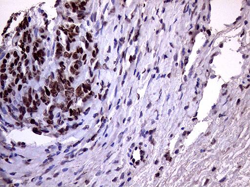
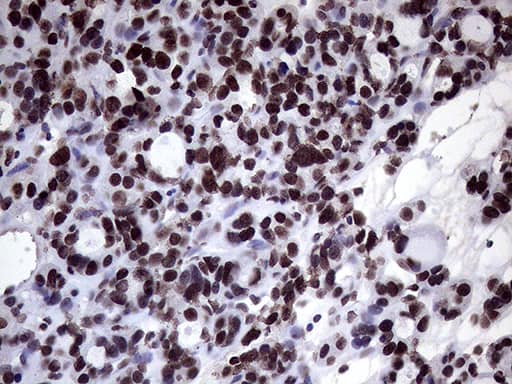
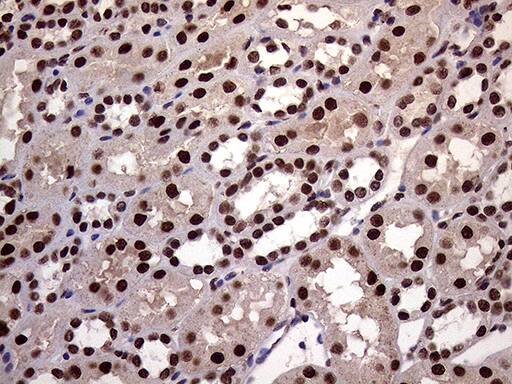
Immunohistochemistry:XRN2 Antibody (OTI5F4)[NBP3-44953]

Immunohistochemistry:XRN2 Antibody (OTI5F4)[NBP3-44953]
XRN2 Antibody (OTI5F4)

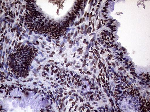
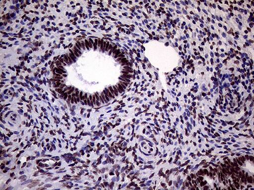
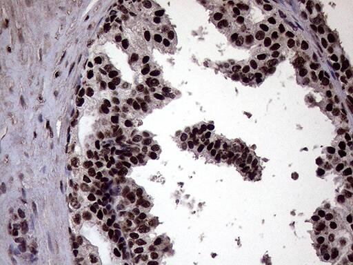
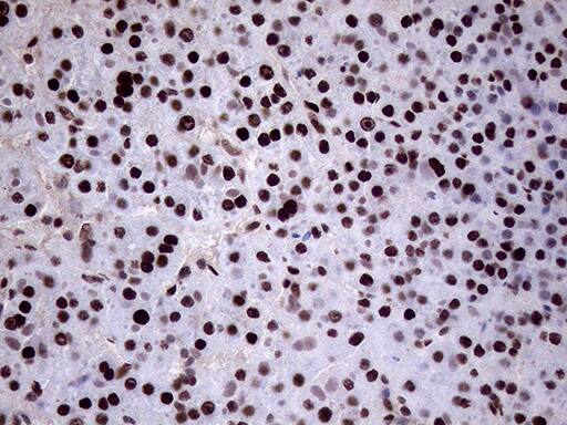
Immunohistochemistry:XRN2 Antibody (OTI5F4)[NBP3-44953]

Immunohistochemistry:XRN2 Antibody (OTI5F4)[NBP3-44953]

Applications for XRN2 Antibody (OTI5F4)

Application
Recommended Usage

Immunohistochemistry

1:2000

Western Blot

1:500-2000

Formulation, Preparation, and Storage

Purification

>95%

Formulation

PBS (pH 7.3) 1% BSA, 50% glycerol

Preservative

0.02% Sodium Azide

Concentration

Please see the vial label for concentration. If unlisted please contact technical services.

Shipping

The product is shipped with polar packs. Upon receipt, store it immediately at the temperature recommended below.

Stability & Storage

Store at -20 degrees C. Avoid freeze/thaw cycles.

Background: XRN2

XRN2 is a 5'-to-3' exoribonuclease involved in 3'-end mRNA processing. XRN2 is important for transcription termination and is responsible for degrading the downstream 3'-end-cleaved RNA. Recent studies show that XRN2 is recruited to 3'-end processing machinery by p54nrb/PSF.

Alternate Names

5'-3' exoribonuclease 2, DHM1-like protein, Dhm1-like protein (mouse homolog), DHP protein, EC 3.1.13, EC 3.1.13.-

Gene Symbol

XRN2

Additional XRN2 Products

Product Documents for XRN2 Antibody (OTI5F4)

Certificate of Analysis

To download a Certificate of Analysis, please enter a lot number in the search box below.

Product Specific Notices for XRN2 Antibody (OTI5F4)

This product is for research use only and is not approved for use in humans or in clinical diagnosis. Primary Antibodies are guaranteed for 1 year from date of receipt.

Loading...
Loading...
Loading...
Loading...