Skip to main content

XRCC4 Antibody - BSA Free

Novus Biologicals, part of Bio-Techne | Catalog # NBP3-35698

Novus Biologicals, part of Bio-Techne
Catalog #
Availability
Size / Price
Qty
Loading...
NBP3-35698-20ul
NBP3-35698-100ul

Key Product Details

Species Reactivity

Human, Rat

Applications

ELISA, Immunocytochemistry/ Immunofluorescence, Immunohistochemistry, Immunohistochemistry-Paraffin, Western Blot

Label

Unconjugated

Antibody Source

Polyclonal Rabbit IgG

Format

BSA Free

Concentration

Please see the vial label for concentration. If unlisted please contact technical services.

Product Specifications

Immunogen

Recombinant fusion protein containing a sequence corresponding to amino acids 1-336 of human XRCC4 (NP_001304941.1?).

Sequence:
MERKISRIHLVSEPSITHFLQVSWEKTLESGFVITLTDGHSAWTGTVSESEISQEADDMAMEKGKYVGELRKALLSGAGPADVYTFNFSKESCYFFFEKNLKDVSFRLGSFNLEKVENPAEVIRELICYCLDTIAENQAKNEHLQKENERLLRDWNDVQGRFEKCVSAKEALETDLYKRFILVLNEKKTKIRSLHNKLLNAAQEREKDIKQEGETAICSEMTADRDPVYDESTDEESENQTDLSGLASAAVSKDDSIISSLDVTDIAPSRKRRQRMQRNLGTEPKMAPQENQLQEKENSRPDSSLPETSKKEHISAENMSLETLRNSSPEDLFDEI

Clonality

Polyclonal

Host

Rabbit

Isotype

IgG

Theoretical MW

38 kDa.
Disclaimer note: The observed molecular weight of the protein may vary from the listed predicted molecular weight due to post translational modifications, post translation cleavages, relative charges, and other experimental factors.

Description

Novus Biologicals Rabbit XRCC4 Antibody - BSA Free (NBP3-35698) is a polyclonal antibody validated for use in IHC, WB, ELISA and ICC/IF. All Novus Biologicals antibodies are covered by our 100% guarantee.

Scientific Data Images for XRCC4 Antibody - BSA Free

XRCC4 Antibody

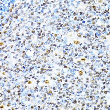
Immunohistochemistry: XRCC4 Antibody [NBP3-35698] -

Immunohistochemistry: XRCC4 Antibody [NBP3-35698] - Immunohistochemistry analysis of paraffin-embedded Human gastric cancer using XRCC4 Rabbit pAb at dilution of 1:100 (40x lens). Microwave antigen retrieval performed with 0.01M PBS Buffer (pH 7.2) prior to IHC staining.
XRCC4 Antibody

Immunocytochemistry/ Immunofluorescence: XRCC4 Antibody [NBP3-35698] -

Immunocytochemistry/ Immunofluorescence: XRCC4 Antibody [NBP3-35698] - Immunofluorescence analysis of 293T cells using XRCC4 Rabbit pAb at dilution of 1:100. Blue: DAPI for nuclear staining.
XRCC4 Antibody

Immunohistochemistry: XRCC4 Antibody [NBP3-35698] -

Immunohistochemistry: XRCC4 Antibody [NBP3-35698] - Immunohistochemistry analysis of paraffin-embedded Human breast cancer using XRCC4 Rabbit pAb at dilution of 1:100 (40x lens). Microwave antigen retrieval performed with 0.01M PBS Buffer (pH 7.2) prior to IHC staining.

Applications for XRCC4 Antibody - BSA Free

Application
Recommended Usage

Immunocytochemistry/ Immunofluorescence

1:50 - 1:100

Immunohistochemistry-Paraffin

1:50 - 1:200

Western Blot

1:500 - 1:1000

Formulation, Preparation, and Storage

Purification

Affinity purified

Formulation

PBS (pH 7.3), 50% glycerol

Format

BSA Free

Preservative

0.05% Proclin 300

Concentration

Please see the vial label for concentration. If unlisted please contact technical services.

Shipping

The product is shipped with polar packs. Upon receipt, store it immediately at the temperature recommended below.

Stability & Storage

Store at -20C. Avoid freeze-thaw cycles.

Background: XRCC4

XRCC4 is encoded by this gene functions together with DNA ligase IV and the DNA-dependent protein kinase in the repair of DNA double-strand break by non-homologous end joining and the completion of V(D)J recombination events. The non-homologous end-joining pathway is required both for normal development and for suppression of tumors. This gene functionally complements XR-1 Chinese hamster ovary cell mutant, which is impaired in DNA double-strand breaks produced by ionizing radiation and restriction enzymes. Alternative transcription initiation and alternative splicing generates several transcript variants. [provided by RefSeq]

Alternate Names

complementing defective, repair in Chinese hamster, X-ray repair complementing defective repair in Chinese hamster cells 4, X-ray repair cross-complementing protein 4

Gene Symbol

XRCC4

Additional XRCC4 Products

Product Documents for XRCC4 Antibody - BSA Free

Certificate of Analysis

To download a Certificate of Analysis, please enter a lot number in the search box below.

Product Specific Notices for XRCC4 Antibody - BSA Free

This product is for research use only and is not approved for use in humans or in clinical diagnosis. Primary Antibodies are guaranteed for 1 year from date of receipt.

Loading...
Loading...
Loading...
Loading...