Skip to main content

XRCC4 Antibody

Novus Biologicals, part of Bio-Techne | Catalog # NBP1-30878

Novus Biologicals, part of Bio-Techne
Catalog #
Availability
Size / Price
Qty
Loading...
NBP1-30878

Key Product Details

Species Reactivity

Validated:

Human, Mouse

Cited:

Human

Predicted:

Chimpanzee (100%). Backed by our 100% Guarantee.

Applications

Validated:

Immunohistochemistry, Immunohistochemistry-Paraffin, Western Blot, Immunocytochemistry/ Immunofluorescence

Cited:

Immunocytochemistry/ Immunofluorescence

Label

Unconjugated

Antibody Source

Polyclonal Rabbit IgG

Concentration

Concentrations vary lot to lot. See vial label for concentration. If unlisted please contact technical services.

Product Specifications

Immunogen

Carrier-protein conjugated synthetic peptide encompassing a sequence within the C-terminus region of human XRCC4. The exact sequence is proprietary.

Localization

Nucleus

Clonality

Polyclonal

Host

Rabbit

Isotype

IgG

Theoretical MW

38 kDa.
Disclaimer note: The observed molecular weight of the protein may vary from the listed predicted molecular weight due to post translational modifications, post translation cleavages, relative charges, and other experimental factors.

Description

Novus Biologicals Rabbit XRCC4 Antibody (NBP1-30878) is a polyclonal antibody validated for use in IHC, WB and ICC/IF. Anti-XRCC4 Antibody: Cited in 1 publication. All Novus Biologicals antibodies are covered by our 100% guarantee.

Scientific Data Images for XRCC4 Antibody

XRCC4 Antibody

Immunocytochemistry/Immunofluorescence: XRCC4 Antibody [NBP1-30878]-

Immunocytochemistry/Immunofluorescence: XRCC4 Antibody [NBP1-30878]- HeLa cells were fixed in 4% paraformaldehyde at RT for 15 min.Green: XRCC4 stained by XRCC4 antibody diluted at 1:200.Red: alpha Tubulin, a cytoskeleton marker, stained by alpha Tubulin antibody [114] diluted at 1:1000.
XRCC4 Antibody

Western Blot: XRCC4 Antibody [NBP1-30878] -

Western Blot: XRCC4 Antibody [NBP1-30878] - HeLa whole cell and nuclear extracts (30 ug) were separated by 10% SDS-PAGE, and the membrane was blotted with XRCC4 antibody diluted at 1:1000. The HRP-conjugated anti-rabbit IgG antibody (NBP2-19301 was used to detect the primary antibody.
XRCC4 Antibody

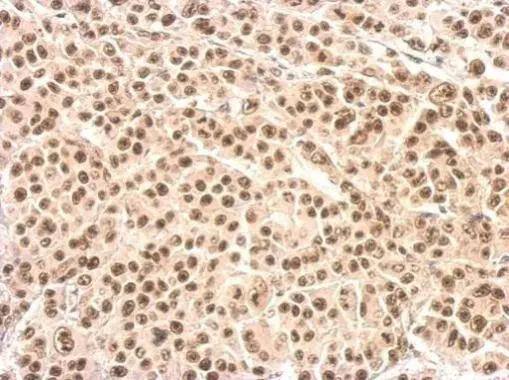
Immunohistochemistry: XRCC4 Antibody [NBP1-30878] -

XRCC4 antibody detects XRCC4 protein at nucleus on HBL435 xenograft by immunohistochemical analysis.
Sample: Paraffin-embedded HBL435 xenograft.
XRCC4 antibody (NBP1-30878) dilution: 1:500.


Antigen Retrieval: (EDTA based, pH 8.0) buffer, 15min

Applications for XRCC4 Antibody

Application
Recommended Usage

Immunocytochemistry/ Immunofluorescence

1:100-1:1000

Immunohistochemistry

1:100-1:1000

Immunohistochemistry-Paraffin

1:100-1:1000

Western Blot

1:500-1:3000

Formulation, Preparation, and Storage

Purification

Antigen Affinity-purified

Formulation

PBS, 1% BSA, 20% Glycerol

Preservative

0.025% Proclin 300

Concentration

Concentrations vary lot to lot. See vial label for concentration. If unlisted please contact technical services.

Shipping

The product is shipped with polar packs. Upon receipt, store it immediately at the temperature recommended below.

Stability & Storage

Store at 4C short term. Aliquot and store at -20C long term. Avoid freeze-thaw cycles.

Background: XRCC4

The protein encoded by this gene functions together with DNA ligase IV and the DNA-dependent protein kinase in the repair of DNA double-strand break by non-homologous end joining and the completion of V(D)J recombination events. The non-homologous end-joining pathway is required both for normal development and for suppression of tumors. This gene functionally complements XR-1 Chinese hamster ovary cell mutant, which is impaired in DNA double-strand breaks produced by ionizing radiation and restriction enzymes. This gene contains 8 exons, and alternative transcription initiation and alternative splicing generates several transcript variants.

Alternate Names

complementing defective, repair in Chinese hamster, X-ray repair complementing defective repair in Chinese hamster cells 4, X-ray repair cross-complementing protein 4

Gene Symbol

XRCC4

Additional XRCC4 Products

Product Documents for XRCC4 Antibody

Certificate of Analysis

To download a Certificate of Analysis, please enter a lot number in the search box below.

Product Specific Notices for XRCC4 Antibody

This product is for research use only and is not approved for use in humans or in clinical diagnosis. Primary Antibodies are guaranteed for 1 year from date of receipt.

Loading...
Loading...
Loading...
Loading...

⚠ WARNING: This product can expose you to chemicals including mercury, which is known to the State of California to cause reproductive toxicity with developmental effects.  For more information go to www.P65Warnings.ca.gov.