XRCC1 [p Ser461] Antibody - BSA Free
Novus Biologicals, part of Bio-Techne | Catalog # NB100-533
Conjugate
Catalog #
Key Product Details
Validated by
Biological Validation
Species Reactivity
Human
Applications
Immunohistochemistry, Immunohistochemistry-Paraffin, Western Blot
Label
Unconjugated
Antibody Source
Polyclonal Rabbit IgG
Format
BSA Free
Concentration
1.0 mg/ml
Product Specifications
Immunogen
The immunogen recognized by this antibody maps to a region of surrounding residue Ser 461 of human X-ray Repair Complementing protein 1 using the numbering given in SwissProt entry P18887 (GeneID 7515).
Modification
p Ser461
Specificity
NB100-533 is specific for phospho serine human XRCC1 protein.
Clonality
Polyclonal
Host
Rabbit
Isotype
IgG
Scientific Data Images for XRCC1 [p Ser461] Antibody - BSA Free
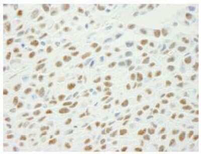
Immunohistochemistry: XRCC1 [p Ser461] Antibody [NB100-533]
Immunohistochemistry: XRCC1 [p Ser461] Antibody [NB100-533] - Samples: FFPE serial sections of human larynx squamous cell carcinoma. Mock phosphatase treated section (left) and calf intestinal phosphatase-treated section (right). Antibody: Affinity purified rabbit anti-Phospho XRCC1 (S461). used at a dilution of 1:1Immunohistochemistry-Paraffin: XRCC1 [p Ser461] Antibody [NB100-533]
Immunohistochemistry-Paraffin: XRCC1 [p Ser461] Antibody [NB100-533] - FFPE serial sections of human breast adenocarcinoma. Mock phosphatase treated section (left) or calf intestinal phosphatase-treated section (right) immunostained for Phospho XRCC1 (S461). Antibody: Affinity purified rabbit anti-Phospho XRCC1 (S461). used at a dilution of 1:250. Detection: DAB staining using Immunohistochemistry Accessory KiImmunohistochemistry-Paraffin: XRCC1 [p Ser461] Antibody [NB100-533]
Immunohistochemistry-Paraffin: XRCC1 [p Ser461] Antibody [NB100-533] - Mouse Phospho XRCC1 (S461). Sample: FFPE section of mouse squamous cell carcinoma. Antibody: Affinity purified rabbit anti-Phospho XRCC1 (S461) dilution-1:250.Applications for XRCC1 [p Ser461] Antibody - BSA Free
Application
Recommended Usage
Immunohistochemistry
1:10-1:500
Immunohistochemistry-Paraffin
1:500 - 1:2000
Western Blot
1:1000 -1:5000
Application Notes
Optimal working dilutions should be determined experimentally by the investigator. Epitope retrieval with citrate buffer pH6.0 is recommended for FFPE tissue sections.
Formulation, Preparation, and Storage
Purification
Immunogen affinity purified
Formulation
Tris-Citrate/Phosphate (pH 7.0 - 8.0)
Format
BSA Free
Preservative
0.09% Sodium Azide
Concentration
1.0 mg/ml
Shipping
The product is shipped with polar packs. Upon receipt, store it immediately at the temperature recommended below.
Stability & Storage
Store at 4C. Do not freeze.
Background: XRCC1
Alternate Names
DNA repair protein XRCC1, RCC, X-ray repair complementing defective repair in Chinese hamster cells 1, X-ray repair cross-complementing protein 1, X-ray-repair, complementing defective, repair in Chinese hamster
Entrez Gene IDs
7515 (Human)
Gene Symbol
XRCC1
UniProt
Additional XRCC1 Products
Product Documents for XRCC1 [p Ser461] Antibody - BSA Free
Product Specific Notices for XRCC1 [p Ser461] Antibody - BSA Free
This product is for research use only and is not approved for use in humans or in clinical diagnosis. Primary Antibodies are guaranteed for 1 year from date of receipt.
Loading...
Loading...
Loading...
Loading...