Skip to main content

XRCC1 Antibody (OTI2F8)

Novus Biologicals, part of Bio-Techne | Catalog # NBP2-02280

Novus Biologicals, part of Bio-Techne

Key Product Details

Species Reactivity

Human, Mouse, Rat

Applications

Immunohistochemistry, Immunohistochemistry-Paraffin, Western Blot, Immunocytochemistry/ Immunofluorescence

Label

Unconjugated

Antibody Source

Monoclonal Mouse IgG1 Clone # OTI2F8

Concentration

0.64 mg/ml

Product Specifications

Immunogen

Full length human recombinant protein of human XRCC1 (NP_006288) produced in HEK293T cell.

Reactivity Notes

Please note that this antibody is reactive to Mouse and derived from the same host, Mouse. Mouse-On-Mouse blocking reagent may be needed for IHC and ICC experiments to reduce high background signal. You can find these reagents under catalog numbers PK-2200-NB and MP-2400-NB. Please contact Technical Support if you have any questions.

Clonality

Monoclonal

Host

Mouse

Isotype

IgG1

Theoretical MW

69.5 kDa.
Disclaimer note: The observed molecular weight of the protein may vary from the listed predicted molecular weight due to post translational modifications, post translation cleavages, relative charges, and other experimental factors.

Description

Novus Biologicals Mouse XRCC1 Antibody (OTI2F8) (NBP2-02280) is a monoclonal antibody validated for use in IHC, WB and ICC/IF. All Novus Biologicals antibodies are covered by our 100% guarantee.

Scientific Data Images for XRCC1 Antibody (OTI2F8)

Western Blot: XRCC1 Antibody (OTI2F8) [NBP2-02280]

Western Blot: XRCC1 Antibody (OTI2F8) [NBP2-02280]

Western Blot: XRCC1 Antibody (2F8) [NBP2-02280] - HEK293T cells were transfected with the pCMV6-ENTRY control (Left lane) or pCMV6-ENTRY XRCC1 (Right lane) cDNA for 48 hrs and lysed. Equivalent amounts of cell lysates (5 ug per lane) were separated by SDS-PAGE and immunoblotted with anti-XRCC1.
Immunocytochemistry/Immunofluorescence: XRCC1 Antibody (2F8) [NBP2-02280] Staining of COS7 cells transiently transfected by pCMV6-ENTRY XRCC1.
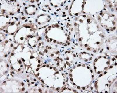
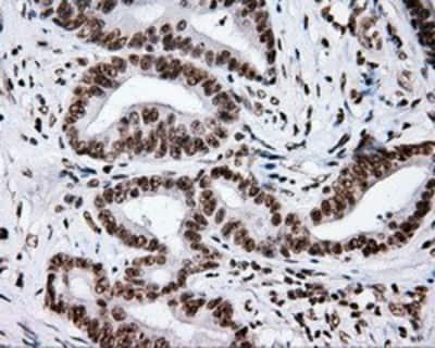
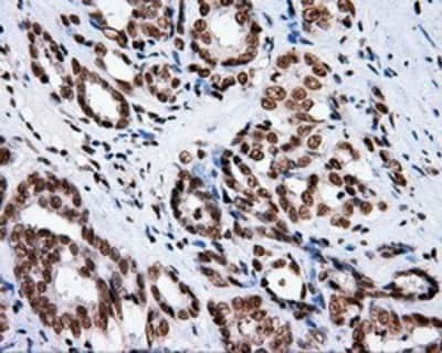
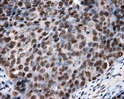
Immunohistochemistry-Paraffin: XRCC1 Antibody (OTI2F8) [NBP2-02280]

Immunohistochemistry-Paraffin: XRCC1 Antibody (OTI2F8) [NBP2-02280]

Immunohistochemistry-Paraffin: XRCC1 Antibody (2F8) [NBP2-02280] - staining of paraffin-embedded bladder tissue using anti-RC204952 mouse monoclonal antibody.

Applications for XRCC1 Antibody (OTI2F8)

Application
Recommended Usage

Immunocytochemistry/ Immunofluorescence

1:100

Immunohistochemistry

1:50

Immunohistochemistry-Paraffin

1:50

Western Blot

1:2000

Formulation, Preparation, and Storage

Purification

Immunogen affinity purified

Formulation

PBS (pH 7.3), 1.0% BSA and 50% Glycerol

Preservative

0.02% Sodium Azide

Concentration

0.64 mg/ml

Shipping

The product is shipped with polar packs. Upon receipt, store it immediately at the temperature recommended below.

Stability & Storage

Store at -20C. Avoid freeze-thaw cycles.

Background: XRCC1

The protein encoded by this gene is involved in the efficient repair of DNA single-strand breaks formed by exposure to ionizing radiation and alkylating agents. This protein interacts with DNA ligase III, polymerase beta and poly (ADP-ribose) polymerase to participate in the base excision repair pathway. It may play a role in DNA processing during meiogenesis and recombination in germ cells. A rare microsatellite polymorphism in this gene is associated with cancer in patients of varying radiosensitivity.

Alternate Names

DNA repair protein XRCC1, RCC, X-ray repair complementing defective repair in Chinese hamster cells 1, X-ray repair cross-complementing protein 1, X-ray-repair, complementing defective, repair in Chinese hamster

Entrez Gene IDs

7515 (Human)

Gene Symbol

XRCC1

Additional XRCC1 Products

Product Documents for XRCC1 Antibody (OTI2F8)

Certificate of Analysis

To download a Certificate of Analysis, please enter a lot number in the search box below.

Product Specific Notices for XRCC1 Antibody (OTI2F8)

This product is for research use only and is not approved for use in humans or in clinical diagnosis. Primary Antibodies are guaranteed for 1 year from date of receipt.

Loading...
Loading...
Loading...
Loading...