Skip to main content

XPNPEP3 Antibody - BSA Free

Novus Biologicals, part of Bio-Techne | Catalog # NBP3-45538

Catalog #
Availability
Size / Price
Qty
Loading...
NBP3-45538

Key Product Details

Species Reactivity

Human, Mouse, Rat

Applications

Immunohistochemistry, Western Blot, ELISA

Label

Unconjugated

Antibody Source

Polyclonal Rabbit IgG

Format

BSA Free

Concentration

Please see the vial label for concentration. If unlisted please contact technical services.

Product Specifications

Immunogen

X-prolyl aminopeptidase(aminopeptidase P) 3, putative. (Uniprot# Q9NQH7)

Clonality

Polyclonal

Host

Rabbit

Isotype

IgG

Theoretical MW

57 kDa.
Disclaimer note: The observed molecular weight of the protein may vary from the listed predicted molecular weight due to post translational modifications, post translation cleavages, relative charges, and other experimental factors.

Scientific Data Images for XPNPEP3 Antibody - BSA Free

XPNPEP3 Antibody - BSA Free

Western Blot: XPNPEP3 Antibody - BSA Free [NBP3-45538] -

Western Blot: XPNPEP3 Antibody - BSA Free [NBP3-45538] - Human liver tissue were subjected to SDS PAGE followed by western blot with (XPNPEP3 antibody) at dilution of 1:500
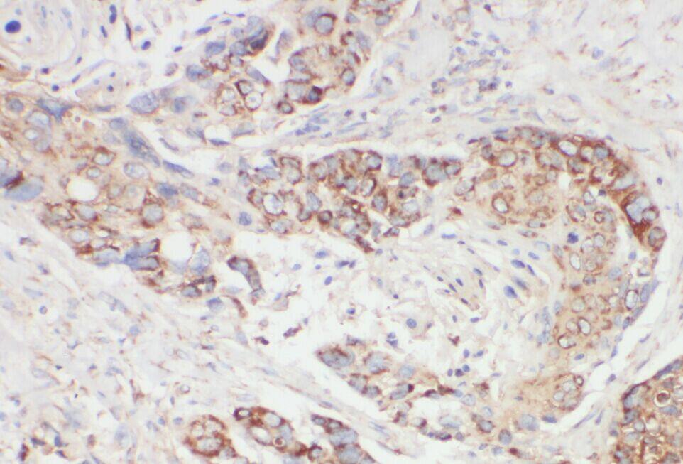
XPNPEP3 Antibody - BSA Free

Immunohistochemistry: XPNPEP3 Antibody - BSA Free [NBP3-45538] -

Immunohistochemistry: XPNPEP3 Antibody - BSA Free [NBP3-45538] - Immunohistochemistry of paraffin-embedded human lung cancer using (XPNPEP3 antibody) at dilution of 1:100

Applications for XPNPEP3 Antibody - BSA Free

Application
Recommended Usage

Immunohistochemistry

1:20-1:200

Western Blot

1:500-1:5000

Formulation, Preparation, and Storage

Purification

Immunogen affinity purified

Formulation

PBS, 50% Glycerol, pH (7.3)

Format

BSA Free

Preservative

0.02% Sodium Azide

Concentration

Please see the vial label for concentration. If unlisted please contact technical services.

Shipping

The product is shipped with polar packs. Upon receipt, store it immediately at the temperature recommended below.

Stability & Storage

Store at -20C. Avoid freeze-thaw cycles.

Background: XPNPEP3

Alternate Names

Aminopeptidase P3, APP3probable Xaa-Pro aminopeptidase 3, NPHPL1EC 3.4.11.9, X-Pro aminopeptidase 3, X-prolyl aminopeptidase (aminopeptidase P) 3, putative

Gene Symbol

XPNPEP3

Additional XPNPEP3 Products

Product Documents for XPNPEP3 Antibody - BSA Free

Certificate of Analysis

To download a Certificate of Analysis, please enter a lot number in the search box below.

Product Specific Notices for XPNPEP3 Antibody - BSA Free

This product is for research use only and is not approved for use in humans or in clinical diagnosis. Primary Antibodies are guaranteed for 1 year from date of receipt.

Loading...
Loading...
Loading...
Loading...