Skip to main content

XPD Antibody - BSA Free

Novus Biologicals, part of Bio-Techne | Catalog # NBP2-38382

Novus Biologicals, part of Bio-Techne
Catalog #
Availability
Size / Price
Qty
Loading...
NBP2-38382-25ul
NBP2-38382

Key Product Details

Species Reactivity

Validated:

Human

Predicted:

Mouse (97%), Rat (98%). Backed by our 100% Guarantee.

Applications

Immunohistochemistry, Immunohistochemistry-Paraffin, Western Blot

Label

Unconjugated

Antibody Source

Polyclonal Rabbit IgG

Format

BSA Free

Concentration

Concentrations vary lot to lot. See vial label for concentration. If unlisted please contact technical services.

Product Specifications

Immunogen

This antibody was developed against a recombinant protein corresponding to amino acids: AHNIDNVCIDSMSVNLTRRTLDRCQGNLETLQKTVLRIKETDEQRLRDEYRRLVEGLREASAARETDAHLANPVLPDEVLQEAVPGSIRTAEHFLGFL

Clonality

Polyclonal

Host

Rabbit

Isotype

IgG

Scientific Data Images for XPD Antibody - BSA Free

Western Blot: XPD Antibody [NBP2-38382]

Western Blot: XPD Antibody [NBP2-38382]

Western Blot: XPD Antibody [NBP2-38382] - Lane 1: Marker [kDa] 250, 130, 95, 72, 55, 36, 28, 17, 10. Lane 2: Human cell line RT-4. Lane 3: Human cell line U-251MG. Lane 4: Human Plasma. Lane 5: Human liver tissue. Lane 6: Human tonsil tissue
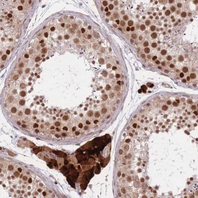
Immunohistochemistry-Paraffin: XPD Antibody [NBP2-38382]

Immunohistochemistry-Paraffin: XPD Antibody [NBP2-38382]

Immunohistochemistry-Paraffin: XPD Antibody [NBP2-38382] - Staining of human testis shows strong nuclear positivity in cells in seminiferus ducts.

Applications for XPD Antibody - BSA Free

Application
Recommended Usage

Immunohistochemistry

1:50 - 1:200

Immunohistochemistry-Paraffin

1:50 - 1:200

Western Blot

0.04-0.4 ug/ml
Application Notes
IHC-Paraffin, HIER pH 6 retrieval is recommended.

Formulation, Preparation, and Storage

Purification

Affinity purified

Formulation

PBS (pH 7.2) and 40% Glycerol

Format

BSA Free

Preservative

0.02% Sodium Azide

Concentration

Concentrations vary lot to lot. See vial label for concentration. If unlisted please contact technical services.

Shipping

The product is shipped with polar packs. Upon receipt, store it immediately at the temperature recommended below.

Stability & Storage

Store at 4C short term. Aliquot and store at -20C long term. Avoid freeze-thaw cycles.

Background: XPD

The nucleotide excision repair pathway is a mechanism to repair damage to DNA. The protein encoded by this gene is involved in transcription-coupled nucleotide excision repair and is an integral member of the basal transcription factor BTF2/TFIIH complex. The gene product has ATP-dependent DNA helicase activity and belongs to the RAD3/XPD subfamily of helicases. Defects in this gene can result in three different disorders, the cancer-prone syndrome xeroderma pigmentosum complementation group D, trichothiodystrophy, and Cockayne syndrome. Alternatively spliced transcript variants encoding different isoforms have been found for this gene. [provided by RefSeq]

Long Name

Xeroderma Pigmentosum D

Alternate Names

EM9, ERCC2

Gene Symbol

ERCC2

UniProt

Additional XPD Products

Product Documents for XPD Antibody - BSA Free

Certificate of Analysis

To download a Certificate of Analysis, please enter a lot number in the search box below.

Product Specific Notices for XPD Antibody - BSA Free

This product is for research use only and is not approved for use in humans or in clinical diagnosis. Primary Antibodies are guaranteed for 1 year from date of receipt.

Loading...
Loading...
Loading...
Loading...