Skip to main content

XKR3 Antibody - BSA Free

Novus Biologicals, part of Bio-Techne | Catalog # NBP2-33987

Novus Biologicals, part of Bio-Techne
Catalog #
Availability
Size / Price
Qty
Loading...
NBP2-33987
NBP2-33987-25ul

Key Product Details

Species Reactivity

Human

Applications

Immunohistochemistry, Immunohistochemistry-Paraffin

Label

Unconjugated

Antibody Source

Polyclonal Rabbit IgG

Format

BSA Free

Concentration

Concentrations vary lot to lot. See vial label for concentration. If unlisted please contact technical services.

Product Specifications

Immunogen

This antibody was developed against a recombinant protein corresponding to amino acids: METVFEEMDEESTGGVSSSKEEIVLGQRLH

Clonality

Polyclonal

Host

Rabbit

Isotype

IgG

Description

Novus Biologicals Rabbit XKR3 Antibody - BSA Free (NBP2-33987) is a polyclonal antibody validated for use in IHC. All Novus Biologicals antibodies are covered by our 100% guarantee.

Scientific Data Images for XKR3 Antibody - BSA Free

Immunohistochemistry-Paraffin: XKR3 Antibody [NBP2-33987]

Immunohistochemistry-Paraffin: XKR3 Antibody [NBP2-33987]

Immunohistochemistry-Paraffin: XKR3 Antibody [NBP2-33987] - Staining of liver.
Immunohistochemistry-Paraffin: XKR3 Antibody [NBP2-33987]

Immunohistochemistry-Paraffin: XKR3 Antibody [NBP2-33987]

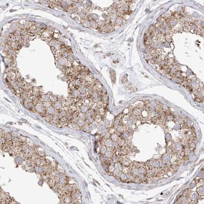
Immunohistochemistry-Paraffin: XKR3 Antibody [NBP2-33987] - Staining of human testis shows strong cytoplasmic positivity in cells of seminiferus ducts.
Immunohistochemistry-Paraffin: XKR3 Antibody [NBP2-33987]

Immunohistochemistry-Paraffin: XKR3 Antibody [NBP2-33987]

Immunohistochemistry-Paraffin: XKR3 Antibody [NBP2-33987] - Staining of human pancreas shows moderate cytoplasmic positivity in exocrine glandular cells.

Applications for XKR3 Antibody - BSA Free

Application
Recommended Usage

Immunohistochemistry

1:200 - 1:500

Immunohistochemistry-Paraffin

1:200 - 1:500
Application Notes
For IHC-Paraffin, HIER pH 6 retrieval is recommended.

Formulation, Preparation, and Storage

Purification

Affinity purified

Formulation

PBS (pH 7.2) and 40% Glycerol

Format

BSA Free

Preservative

0.02% Sodium Azide

Concentration

Concentrations vary lot to lot. See vial label for concentration. If unlisted please contact technical services.

Shipping

The product is shipped with polar packs. Upon receipt, store it immediately at the temperature recommended below.

Stability & Storage

Store at 4C short term. Aliquot and store at -20C long term. Avoid freeze-thaw cycles.

Background: XKR3

Alternate Names

expressed in testis, MGC57211, X Kell blood group precursor-related family, member 3, x Kell blood group-related 3, XK, Kell blood group complex subunit-related family, member 3, XK-related protein 3, XRG3, XTES

Gene Symbol

XKR3

UniProt

Additional XKR3 Products

Product Documents for XKR3 Antibody - BSA Free

Certificate of Analysis

To download a Certificate of Analysis, please enter a lot number in the search box below.

Product Specific Notices for XKR3 Antibody - BSA Free

This product is for research use only and is not approved for use in humans or in clinical diagnosis. Primary Antibodies are guaranteed for 1 year from date of receipt.

Loading...
Loading...
Loading...
Loading...