Skip to main content

XE7 Antibody - BSA Free

Novus Biologicals, part of Bio-Techne | Catalog # NBP1-32138

Novus Biologicals, part of Bio-Techne
Catalog #
Availability
Size / Price
Qty
Loading...
NBP1-32138

Key Product Details

Species Reactivity

Human

Applications

Immunohistochemistry, Immunohistochemistry-Paraffin, Western Blot

Label

Unconjugated

Antibody Source

Polyclonal Rabbit IgG

Format

BSA Free

Concentration

Concentrations vary lot to lot. See vial label for concentration. If unlisted please contact technical services.

Product Specifications

Immunogen

Recombinant protein encompassing a sequence within the C-terminus region of human XE7. The exact sequence is proprietary.

Reactivity Notes

Rhesus Monkey (87%).

Localization

Nucleus speckle

Clonality

Polyclonal

Host

Rabbit

Isotype

IgG

Theoretical MW

81 kDa.
Disclaimer note: The observed molecular weight of the protein may vary from the listed predicted molecular weight due to post translational modifications, post translation cleavages, relative charges, and other experimental factors.

Scientific Data Images for XE7 Antibody - BSA Free

Western Blot: XE7 Antibody [NBP1-32138]

Western Blot: XE7 Antibody [NBP1-32138]

Western Blot: XE7 Antibody [NBP1-32138] - Sample (30ug whole cell lysate)A:HeLa S3 7. 5% SDS PAGE, antibody diluted at 1:1000.
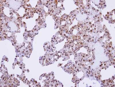
Immunohistochemistry-Paraffin: XE7 Antibody [NBP1-32138]

Immunohistochemistry-Paraffin: XE7 Antibody [NBP1-32138]

Immunohistochemistry-Paraffin: XE7 Antibody [NBP1-32138] - Paraffin-embedded lung, using antibody at 1:100 dilution.

Applications for XE7 Antibody - BSA Free

Application
Recommended Usage

Immunohistochemistry

1:100-1:1000

Immunohistochemistry-Paraffin

1:100-1:1000

Western Blot

1:500-1:3000

Formulation, Preparation, and Storage

Purification

Antigen Affinity-purified

Formulation

0.1M Tris, 0.1M Glycine, 10% Glycerol

Format

BSA Free

Preservative

0.01% Thimerosal

Concentration

Concentrations vary lot to lot. See vial label for concentration. If unlisted please contact technical services.

Shipping

The product is shipped with polar packs. Upon receipt, store it immediately at the temperature recommended below.

Stability & Storage

Aliquot and store at -20C or -80C. Avoid freeze-thaw cycles.

Background: XE7

Splice factor regulating alternative splice site selection for certain mRNA precursors

Alternate Names

A kinase (PRKA) anchor protein 17A, AKAP-17A, A-kinase anchor protein 17A, B-lymphocyte antigen, B-lymphocyte surface antigen, CCDC133, CXYorf3, DXYS155EPRKA17A, MGC39904, Protein kinase A-anchoring protein 17A, Protein XE7, pseudoautosomal gene XE7, SFRS17AMGC125366, Splicing factor, arginine/serine-rich 17AFLJ98315,721PMGC125365, XE7chromosome X and Y open reading frame 3, XE7Y

Gene Symbol

AKAP17A

Additional XE7 Products

Product Documents for XE7 Antibody - BSA Free

Certificate of Analysis

To download a Certificate of Analysis, please enter a lot number in the search box below.

Product Specific Notices for XE7 Antibody - BSA Free

This product is for research use only and is not approved for use in humans or in clinical diagnosis. Primary Antibodies are guaranteed for 1 year from date of receipt.

Loading...
Loading...
Loading...
Loading...

⚠ WARNING: This product can expose you to chemicals including mercury, which is known to the State of California to cause reproductive toxicity with developmental effects.  For more information go to www.P65Warnings.ca.gov.