Skip to main content

XAF1 Antibody - BSA Free

Novus Biologicals, part of Bio-Techne | Catalog # NBP1-76615

Novus Biologicals, part of Bio-Techne

Key Product Details

Species Reactivity

Human, Mouse

Applications

Immunohistochemistry, Immunohistochemistry-Paraffin, Western Blot, ELISA, Immunocytochemistry/ Immunofluorescence

Label

Unconjugated

Antibody Source

Polyclonal Rabbit IgG

Format

BSA Free

Concentration

1 mg/ml

Product Specifications

Immunogen

Antibody was raised against a synthetic peptide corresponding to amino acids at the C-terminus of human XAF-1. The immunogen is located within the last 50 amino acids of XAF-1. Amino Acid Squence: EKERYYKFKRFHF

Clonality

Polyclonal

Host

Rabbit

Isotype

IgG

Theoretical MW

32 kDa.
Disclaimer note: The observed molecular weight of the protein may vary from the listed predicted molecular weight due to post translational modifications, post translation cleavages, relative charges, and other experimental factors.

Scientific Data Images for XAF1 Antibody - BSA Free

Western Blot: XAF1 AntibodyBSA Free [NBP1-76615]

Western Blot: XAF1 AntibodyBSA Free [NBP1-76615]

Western Blot: XAF1 Antibody [NBP1-76615] - Human spleen lysate with XAF-1 antibody at 0.5 (lane A), 1 (lane B), and 2 (lane C) ug/ml, respectively.
XAF1 Antibody - BSA Free

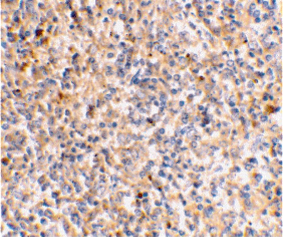
Immunohistochemistry: XAF1 Antibody - BSA Free [NBP1-76615] -

Immunohistochemistry: XAF1 Antibody - BSA Free [NBP1-76615] - Immunohistochemical staining of human spleen tissue using XAF1 antibody at 2 u/mL.
XAF1 Antibody - BSA Free

Immunocytochemistry/ Immunofluorescence: XAF1 Antibody - BSA Free [NBP1-76615] -

Immunocytochemistry/ Immunofluorescence: XAF1 Antibody - BSA Free [NBP1-76615] - Immunofluorescence of XAF1 in Human Spleen tissue with XAF1 antibody at 10 ug/mL.

Applications for XAF1 Antibody - BSA Free

Application
Recommended Usage

ELISA

1:100-1:2000

Immunocytochemistry/ Immunofluorescence

10 ug/mL

Immunohistochemistry

2 ug/ml

Immunohistochemistry-Paraffin

2 ug/ml

Western Blot

0.5-2 ug/ml

Formulation, Preparation, and Storage

Purification

Peptide affinity purified

Formulation

PBS

Format

BSA Free

Preservative

0.02% Sodium Azide

Concentration

1 mg/ml

Shipping

The product is shipped with polar packs. Upon receipt, store it immediately at the temperature recommended below.

Stability & Storage

Store at 4C short term. Aliquot and store at -20C long term. Avoid freeze-thaw cycles.

Background: XAF1

XAF-1 binds to XIAP, an inhibitor of caspases-3, -7, and -9, and triggers its relocation from the cytosol to the nucleus. Overexpression of XAF-1 results in the neutralization of XIAP's ability to inhibit cell death. XAF-1 is normally expressed in all adult and fetal tissues but was found to be present in very low levels in a variety of cancer cell lines. In contrast, XIAP levels have been shown to be high in a majority of cell lines. Low XAF-1 and high basal expression of XIAP may therefore play a critical role in maintaining survival of cancer cell lines. Both IFN-alpha2 and IFN-beta can induce XAF-1 mRNA in all cells examined but induction of XAF-1 protein (as observed by immunoblot analysis) was seen only in cell lines sensitive to the apoptotic effects of IFNs.

Alternate Names

BIRC4-binding protein, BIRC4BPBIRC4 binding protein, HSXIAPAF1, XIAP associated factor 1, XIAPAF1XIAP-associated factor 1

Gene Symbol

XAF1

Additional XAF1 Products

Product Documents for XAF1 Antibody - BSA Free

Certificate of Analysis

To download a Certificate of Analysis, please enter a lot number in the search box below.

Product Specific Notices for XAF1 Antibody - BSA Free

This product is for research use only and is not approved for use in humans or in clinical diagnosis. Primary Antibodies are guaranteed for 1 year from date of receipt.

Loading...
Loading...
Loading...
Loading...