XAF1 Antibody
Novus Biologicals, part of Bio-Techne | Catalog # NB100-56355
Key Product Details
Species Reactivity
Validated:
Human, Mouse
Cited:
Human, Mouse
Applications
Validated:
Immunohistochemistry, Immunohistochemistry-Paraffin, Western Blot
Cited:
Immunohistochemistry-Paraffin, Western Blot, IF/IHC
Label
Unconjugated
Antibody Source
Polyclonal Rabbit IgG
Concentration
0.5 mg/ml
Product Specifications
Immunogen
Amino acids 201-218 (NQTSTMEKDVRPKTRSIN) and 301-317 (QLDLEKERYYKFKRFHF) of human XAF1, GenBank no. CAA68030.1, were used as immunogen.
Clonality
Polyclonal
Host
Rabbit
Isotype
IgG
Scientific Data Images for XAF1 Antibody
Western Blot: XAF1 Antibody [NB100-56355]
Western Blot: XAF1 Antibody [NB100-56355] - analysis of XAF1 in human liver lysate using this antibody. I goat anti-rabbit Ig HRP secondary antibody and PicoTect ECL substrate solution were used for this test.Immunohistochemistry-Paraffin: XAF1 Antibody [NB100-56355]
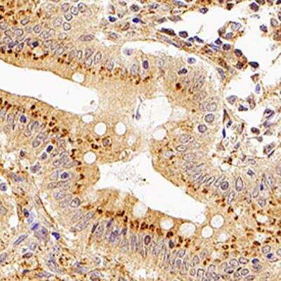
Immunohistochemistry-Paraffin: XAF1 Antibody [NB100-56355] - XAF1 was detected in immersion fixed paraffin-embedded sections of human appendix using Rabbit Anti-Human XAF1 polyclonal Antibody (Catalog # NB100-56355) at 1:100 for 1 hour at room temperature followed by incubation with the Anti-Rabbit IgG VisUCyte™ HRP Polymer Antibody (Catalog # VC003). Tissue was stained using DAB (brown) and counterstained with hematoxylin (blue). Specific staining was localized to sperm cells.Applications for XAF1 Antibody
Application
Recommended Usage
Immunohistochemistry
1:10-1:500
Immunohistochemistry-Paraffin
1:10-1:500
Western Blot
1-2 ug/ml
Application Notes
In human liver, a 34 kDa band should be observed.
Formulation, Preparation, and Storage
Purification
Protein G purified
Formulation
PBS containing 0.05% BSA
Preservative
0.05% Sodium Azide
Concentration
0.5 mg/ml
Shipping
The product is shipped with polar packs. Upon receipt, store it immediately at the temperature recommended below.
Stability & Storage
Store at 4C short term. Aliquot and store at -20C long term. Avoid freeze-thaw cycles.
Background: XAF1
Alternate Names
BIRC4-binding protein, BIRC4BPBIRC4 binding protein, HSXIAPAF1, XIAP associated factor 1, XIAPAF1XIAP-associated factor 1
Entrez Gene IDs
54739 (Human)
Gene Symbol
XAF1
Additional XAF1 Products
Product Documents for XAF1 Antibody
Product Specific Notices for XAF1 Antibody
This product is for research use only and is not approved for use in humans or in clinical diagnosis. Primary Antibodies are guaranteed for 1 year from date of receipt.
Loading...
Loading...
Loading...
Loading...