Skip to main content

WT1 Antibody (rWT1/857)

Novus Biologicals, part of Bio-Techne | Catalog # NBP2-53181

Novus Biologicals, part of Bio-Techne
Catalog #
Availability
Size / Price
Qty
Loading...
NBP2-53181-100ug
NBP2-53181-20ug
Conjugate
Catalog #

Key Product Details

Species Reactivity

Human, Mouse, Rat

Applications

Immunohistochemistry, Immunohistochemistry-Paraffin, Protein Array

Label

Unconjugated

Antibody Source

Monoclonal Mouse IgG1 kappa Clone # rWT1/857

Concentration

0.2 mg/ml

Product Specifications

Immunogen

Recombinant full-length human WT1 protein (Uniprot: P19544)

Localization

Nuclear and Cytoplasmic

Specificity

Recognizes a 47-55kDa-tumor suppressor protein, identified as Wilms tumor and mesothelioma. WT1 protein has been identified in proliferative mesothelial cells, malignant mesothelioma, ovarian carcinoma, gonadoblastoma, nephroblastoma, and desmoplastic small round cell tumor. Lung adenocarcinomas rarely stain positive with this antibody. WT1 protein expression in mesothelial cells has become a reliable marker for the diagnosis of mesotheliomas.

Marker

Wilm's Tumor & Mesothelial Marker

Clonality

Monoclonal

Host

Mouse

Isotype

IgG1 kappa

Description

200ug/ml of recombinant monoclonal antibody purified by Protein A or G. Prepared in 10mM PBS with 0.05% BSA & 0.05% azide. Also available WITHOUT BSA & azide at 1.0mg/ml. (NBP2-54592)

Antibody with azide - store at 2 to 8C. Antibody without azide - store at -20 to -80C.

Scientific Data Images for WT1 Antibody (rWT1/857)

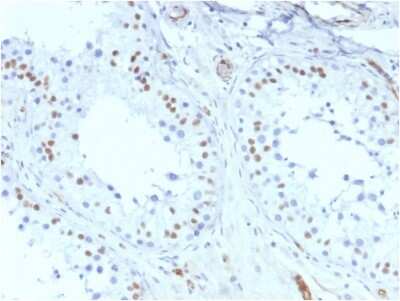
Immunohistochemistry-Paraffin: WT1 Antibody (rWT1/857) [NBP2-53181]

Immunohistochemistry-Paraffin: WT1 Antibody (rWT1/857) [NBP2-53181]

Immunohistochemistry-Paraffin: WT1 Antibody (rWT1/857) [NBP2-53181] - Formalin-fixed, paraffin-embedded Rat Testis stained with WT1 Antibody (rWT1/857).
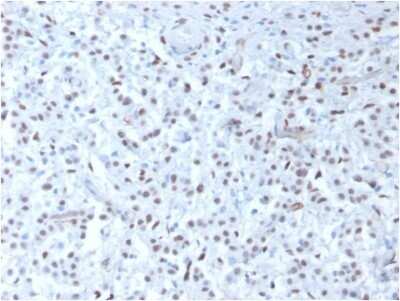
Immunohistochemistry-Paraffin: WT1 Antibody (rWT1/857) [NBP2-53181]

Immunohistochemistry-Paraffin: WT1 Antibody (rWT1/857) [NBP2-53181]

Immunohistochemistry-Paraffin: WT1 Antibody (rWT1/857) [NBP2-53181] - Formalin-fixed, paraffin-embedded human Testis stained with WT1 Antibody (rWT1/857).
Protein Array: WT1 Antibody (rWT1/857) [NBP2-53181]

Protein Array: WT1 Antibody (rWT1/857) [NBP2-53181]

Protein Array: WT1 Antibody (rWT1/857) [NBP2-53181] - Analysis of Protein Array containing more than 19,000 full-length human proteins using WT1 Antibody (rWT1/857).Z- and S- Score: The Z-score represents the strength of a signal that a monoclonal antibody (MAb) (in combination with a fluorescently-tagged anti-IgG secondary antibody) produces when binding to a particular protein on the HuProt(TM) array. Z-scores are described in units of standard deviations (SD's) above the mean value of all signals generated on that array. If targets on HuProt(TM) are arranged in descending order of the Z-score, the S-score is the difference (also in units of SD's) between the Z-score. S-score therefore represents the relative target specificity of a MAb to its intended target. A MAb is considered to specific to its intended target, if the MAb has an S-score of at least 2.5.

Applications for WT1 Antibody (rWT1/857)

Application
Recommended Usage

Immunohistochemistry-Paraffin

1-2 ug/ml
Application Notes
Immunohistochemistry (Formalin-fixed): 1-2ug/ml for 30 minutes at RT. Staining of formalin-fixed tissues requires heating tissue sections in 10mM Tris with 1mM EDTA, pH 9.0, for 45 min at 95C followed by cooling at RT for 20 minutes.
Optimal dilution for a specific application should be determined.

Formulation, Preparation, and Storage

Purification

Protein A or G purified

Formulation

10 mM PBS with 0.05% BSA

Preservative

0.05% Sodium Azide

Concentration

0.2 mg/ml

Shipping

The product is shipped with polar packs. Upon receipt, store it immediately at the temperature recommended below.

Stability & Storage

Store at 4C.

Background: WT1

Wilms' tumor protein (WT1) is a transcription factor which regulates the expression of numerous target genes, including EPO. This protein plays an essential role in the normal development of the urogenital system, including cellular development and cell survival, and it has both tumor suppressor and oncogenic roles in tumor formation.

Defects in the WT1 protein can lead to Wilms tumor, Frasier syndrome, Denys-Drash syndrome, nephrotic syndrome type 4, and Meacham syndrome.

Long Name

Wilms Tumor 1

Alternate Names

GUD, WAGR, WIT-2, WT33

Gene Symbol

WT1

UniProt

Additional WT1 Products

Product Documents for WT1 Antibody (rWT1/857)

Certificate of Analysis

To download a Certificate of Analysis, please enter a lot number in the search box below.

Product Specific Notices for WT1 Antibody (rWT1/857)

This product is for research use only and is not approved for use in humans or in clinical diagnosis. Primary Antibodies are guaranteed for 1 year from date of receipt.

Loading...
Loading...
Loading...
Loading...