Skip to main content

Wnt-7b Antibody - BSA Free

Novus Biologicals, part of Bio-Techne | Catalog # NBP3-42012

Novus Biologicals, part of Bio-Techne
Catalog #
Availability
Size / Price
Qty
Loading...
NBP3-42012

Key Product Details

Species Reactivity

Human

Applications

Immunohistochemistry, Immunohistochemistry-Paraffin, Western Blot

Label

Unconjugated

Antibody Source

Polyclonal Rabbit

Format

BSA Free

Concentration

0.5 mg/ml

Product Specifications

Immunogen

Immunized with recombinant Human Wnt-7b (Uniprot#: P56706; Thr216-Lys349 (Uniprot#: P56706)

Clonality

Polyclonal

Host

Rabbit

Description

Novus Biologicals Rabbit Wnt-7b Antibody - BSA Free (NBP3-42012) is a polyclonal antibody validated for use in IHC and WB. All Novus Biologicals antibodies are covered by our 100% guarantee.

Scientific Data Images for Wnt-7b Antibody - BSA Free

Wnt-7b Antibody

Immunohistochemistry-Paraffin: Wnt-7b Antibody [NBP3-42012] -

Immunohistochemistry-Paraffin: Wnt-7b Antibody [NBP3-42012] - DAB staining on IHC-P; Samples: Human Ovarian cancer Tissue; Primary Ab: 20ug/ml NBP3-42012; Second Ab: 2ug/mL HRP-Linked Caprine Anti-Rabbit IgG Polyclonal Antibody
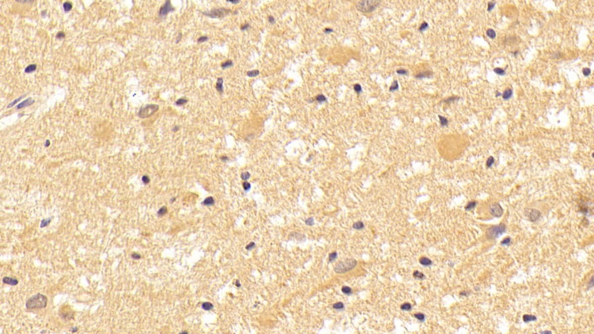
Wnt-7b Antibody

Immunohistochemistry-Paraffin: Wnt-7b Antibody [NBP3-42012] -

Immunohistochemistry-Paraffin: Wnt-7b Antibody [NBP3-42012] - DAB staining on IHC-P; Samples: Human Cerebrum Tissue; Primary Ab: 20ug/ml NBP3-42012; Second Ab: 2ug/mL HRP-Linked Caprine Anti-Rabbit IgG Polyclonal Antibody

Applications for Wnt-7b Antibody - BSA Free

Application
Recommended Usage

Immunohistochemistry

5-20ug/mL

Immunohistochemistry-Paraffin

5-20ug/mL

Western Blot

0.01-2ug/mL

Formulation, Preparation, and Storage

Purification

Antigen and protein A Affinity-purified

Formulation

PBS, pH7.4, 50% glycerol

Format

BSA Free

Preservative

0.02% Sodium Azide

Concentration

0.5 mg/ml

Shipping

The product is shipped with polar packs. Upon receipt, store it immediately at the temperature recommended below.

Stability & Storage

Store at 4C short term. Aliquot and store at -20C long term. Avoid freeze-thaw cycles.

Background: Wnt-7b

Wnt7b is a gene that codes for a protein that is 349 amino acids in length and approximately 39 kDa in weight that is a ligand for members of the frizzled family of transmembrane receptors that may function to facilitate the development of discrete region of tissues. Current studies are being done on several diseases and disorders linked to this gene including carcinoma, leukemia, fainting, hermaphroditism, melanoma, prostatitis, neuronitis, and colorectal cancer. Wnt7b has also been shown to have interactions with FZD1, FZD10, FZD5, GPC3, and LRP5 in pathways such as the GSK3 signaling, colorectal cancer metastasis, DNA damage response, and GPCR ligand binding pathways.

Long Name

Wingless-type MMTV Integration Site Family, Member 7B

Alternate Names

Wnt7b

Gene Symbol

WNT7B

Additional Wnt-7b Products

Product Documents for Wnt-7b Antibody - BSA Free

Certificate of Analysis

To download a Certificate of Analysis, please enter a lot number in the search box below.

Product Specific Notices for Wnt-7b Antibody - BSA Free

This product is for research use only and is not approved for use in humans or in clinical diagnosis. Primary Antibodies are guaranteed for 1 year from date of receipt.

Loading...
Loading...
Loading...
Loading...