Skip to main content

WNK1 Antibody - BSA Free

Novus Biologicals, part of Bio-Techne | Catalog # NBP2-32434

Novus Biologicals, part of Bio-Techne
Catalog #
Availability
Size / Price
Qty
Loading...
NBP2-32434
NBP2-32434-25ul

Key Product Details

Validated by

Orthogonal Validation

Species Reactivity

Human

Applications

Immunohistochemistry, Immunohistochemistry-Paraffin

Label

Unconjugated

Antibody Source

Polyclonal Rabbit IgG

Format

BSA Free

Concentration

Concentrations vary lot to lot. See vial label for concentration. If unlisted please contact technical services.

Product Specifications

Immunogen

This antibody was developed against a recombinant protein corresponding to amino acids: PPFPAPSLTQSQQPLEDLDAQLRRTLSPEMITVTSAVGPVSMAAPTAITEAGTQPQKGVSQVKEGPVLATSSGAGVFKMGRFQVSVAADGA

Clonality

Polyclonal

Host

Rabbit

Isotype

IgG

Description

Novus Biologicals Rabbit WNK1 Antibody - BSA Free (NBP2-32434) is a polyclonal antibody validated for use in IHC. All Novus Biologicals antibodies are covered by our 100% guarantee.

Scientific Data Images for WNK1 Antibody - BSA Free

Immunohistochemistry-Paraffin: WNK1 Antibody [NBP2-32434]

Immunohistochemistry-Paraffin: WNK1 Antibody [NBP2-32434]

Immunohistochemistry-Paraffin: WNK1 Antibody [NBP2-32434] - Staining of human pancreas shows low expression as expected.
Immunohistochemistry-Paraffin: WNK1 Antibody [NBP2-32434]

Immunohistochemistry-Paraffin: WNK1 Antibody [NBP2-32434]

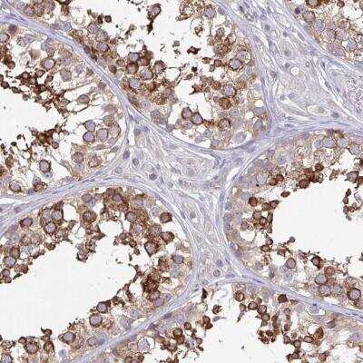
Immunohistochemistry-Paraffin: WNK1 Antibody [NBP2-32434] - Staining of human testis shows strong cytoplasmic positivity in cells in seminiferus ducts.
Immunohistochemistry-Paraffin: WNK1 Antibody [NBP2-32434]

Immunohistochemistry-Paraffin: WNK1 Antibody [NBP2-32434]

Immunohistochemistry-Paraffin: WNK1 Antibody [NBP2-32434] - Staining of human esophagus shows high expression.

Applications for WNK1 Antibody - BSA Free

Application
Recommended Usage

Immunohistochemistry

1:500 - 1:1000

Immunohistochemistry-Paraffin

1:500 - 1:1000
Application Notes
For IHC-Paraffin, HIER pH 6 retrieval is recommended.

Formulation, Preparation, and Storage

Purification

Immunogen affinity purified

Formulation

PBS (pH 7.2) and 40% Glycerol

Format

BSA Free

Preservative

0.02% Sodium Azide

Concentration

Concentrations vary lot to lot. See vial label for concentration. If unlisted please contact technical services.

Shipping

The product is shipped with polar packs. Upon receipt, store it immediately at the temperature recommended below.

Stability & Storage

Store at 4C short term. Aliquot and store at -20C long term. Avoid freeze-thaw cycles.

Background: WNK1

WNK lysine deficient protein kinase 1 (WNK1) is a cytoplasmic serine-threonine kinase expressed in the distal nephron which likely plays an important role in hypertension. WNK1 is responsible for controling Na+ and Cl- ion transport by inhibiting the activity of other related protein kinases, such as WNK4.

WNK1 mutations have been associated with Gordon hyperkalemia-hypertension syndrome (pseudohypoaldosteronism type II) and congenital sensory neuropathy.

WNK1 is also known as Human Accelerated Region 5, and is thought to have played a key role in differentiating humans from apes.

Long Name

WNK Lysine-deficient Protein Kinase 1

Alternate Names

KDP, PHA2C, PRKWNK1

Gene Symbol

WNK1

Additional WNK1 Products

Product Documents for WNK1 Antibody - BSA Free

Certificate of Analysis

To download a Certificate of Analysis, please enter a lot number in the search box below.

Product Specific Notices for WNK1 Antibody - BSA Free

This product is for research use only and is not approved for use in humans or in clinical diagnosis. Primary Antibodies are guaranteed for 1 year from date of receipt.

Loading...
Loading...
Loading...
Loading...