Skip to main content

WIBG Antibody (OTI5E2)

Novus Biologicals, part of Bio-Techne | Catalog # NBP2-46366

Novus Biologicals, part of Bio-Techne
Catalog #
Availability
Size / Price
Qty
Loading...
NBP2-46366
Conjugate
Catalog #

Key Product Details

Species Reactivity

Validated:

Human

Cited:

Human

Applications

Validated:

Immunohistochemistry, Immunohistochemistry-Paraffin, Western Blot

Cited:

Western Blot

Label

Unconjugated

Antibody Source

Monoclonal Mouse IgG1 Clone # OTI5E2

Concentration

1 mg/ml

Product Specifications

Immunogen

Full length human recombinant protein of human WIBG (NP_115721) produced in HEK293T cell.

Clonality

Monoclonal

Host

Mouse

Isotype

IgG1

Scientific Data Images for WIBG Antibody (OTI5E2)

Western Blot: WIBG Antibody (OTI5E2) [NBP2-46366]

Western Blot: WIBG Antibody (OTI5E2) [NBP2-46366]

Western Blot: WIBG Antibody (5E2) [NBP2-46366] - Analysis of HEK293T cells were transfected with the pCMV6-ENTRY control (Left lane) or pCMV6-ENTRY WIBG.
Immunohistochemistry: WIBG Antibody (OTI5E2) [NBP2-46366]

Immunohistochemistry: WIBG Antibody (OTI5E2) [NBP2-46366]

Immunohistochemistry: WIBG Antibody (5E2) [NBP2-46366] - Analysis of Human tonsil tissue. (Heat-induced epitope retrieval by 1 mM EDTA in 10mM Tris, pH8.5, 120C for 3min)
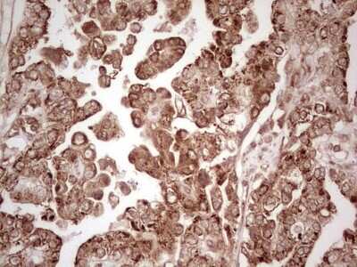
Immunohistochemistry: WIBG Antibody (OTI5E2) [NBP2-46366]

Immunohistochemistry: WIBG Antibody (OTI5E2) [NBP2-46366]

Immunohistochemistry: WIBG Antibody (OTI5E2) [NBP2-46366] - WIBG Antibody (5E2) [NBP2-46366] - Analysis of Adenocarcinoma of Human breast tissue. (Heat-induced epitope retrieval by 1 mM EDTA in 10mM Tris, pH8.5, 120C for 3min)

Applications for WIBG Antibody (OTI5E2)

Application
Recommended Usage

Immunohistochemistry

1:150

Immunohistochemistry-Paraffin

1:150

Western Blot

1:2000

Formulation, Preparation, and Storage

Purification

Immunogen affinity purified

Formulation

PBS (pH 7.3), 1.0% BSA and 50% Glycerol

Preservative

0.02% Sodium Azide

Concentration

1 mg/ml

Shipping

The product is shipped with polar packs. Upon receipt, store it immediately at the temperature recommended below.

Stability & Storage

Store at -20C. Avoid freeze-thaw cycles.

Background: WIBG

Key regulator of the exon junction complex (EJC), a multiprotein complex that associates immediately upstreamof the exon-exon junction on mRNAs and serves as a positional landmarks for the intron exon structure of genes anddirects post-transcriptional processes in the cytoplasm such as mRNA export, nonsense-mediated mRNA decay (NMD) ortranslation. Acts as a EJC disassembly factor, allowing translation-dependent EJC removal and recycling by disruptingmature EJC from spliced mRNAs. Its association with the 40S ribosomal subunit probably prevents atranslation-independent disassembly of the EJC from spliced mRNAs, by restricting its activity to mRNAs that have beentranslated. Interferes with NMD and enhances translation of spliced mRNAs, probably by antagonizing EJC functions. Maybind RNA; the relevance of RNA-binding remains unclear in vivo, RNA-binding was detected by PubMed:14968132, whilePubMed:19410547 did not detect RNA-binding activity independently of the EJC

Alternate Names

MGC13064, partner of Y14 and mago, PYMProtein wibg homolog, within bgcn homolog (Drosophila)

Gene Symbol

PYM1

Additional WIBG Products

Product Documents for WIBG Antibody (OTI5E2)

Certificate of Analysis

To download a Certificate of Analysis, please enter a lot number in the search box below.

Product Specific Notices for WIBG Antibody (OTI5E2)

This product is for research use only and is not approved for use in humans or in clinical diagnosis. Primary Antibodies are guaranteed for 1 year from date of receipt.

Loading...
Loading...
Loading...
Loading...