Skip to main content

WFS1 Antibody - BSA Free

Novus Biologicals, part of Bio-Techne | Catalog # NBP1-84265

Novus Biologicals, part of Bio-Techne
Catalog #
Availability
Size / Price
Qty
Loading...
NBP1-84265
NBP1-84265-25ul

Key Product Details

Species Reactivity

Human

Applications

Immunohistochemistry, Immunohistochemistry-Paraffin

Label

Unconjugated

Antibody Source

Polyclonal Rabbit IgG

Format

BSA Free

Concentration

Concentrations vary lot to lot. See vial label for concentration. If unlisted please contact technical services.

Product Specifications

Immunogen

This antibody was developed against Recombinant Protein corresponding to amino acids: KHPCHIKKFDRYKFEITVGMPFSSGADGSRSREEDDVTKDIVLRASSEFKSVLLSLRQGSLIEFSTILEGRLGSKWPVFELKAISCLNCMAQLSPTRRHVKIEHDW

Reactivity Notes

Immunogen displays the following percentage of sequence identity for non-tested species: Mouse (88%), Rat (88%)

Clonality

Polyclonal

Host

Rabbit

Isotype

IgG

Description

Novus Biologicals Rabbit WFS1 Antibody - BSA Free (NBP1-84265) is a polyclonal antibody validated for use in IHC. All Novus Biologicals antibodies are covered by our 100% guarantee.

Scientific Data Images for WFS1 Antibody - BSA Free

Immunohistochemistry-Paraffin: WFS1 Antibody [NBP1-84265]

Immunohistochemistry-Paraffin: WFS1 Antibody [NBP1-84265]

Immunohistochemistry-Paraffin: WFS1 Antibody [NBP1-84265] - Staining of human Pancreas shows strong granular cytoplasmic positivity in islets of Langerhans.
Immunohistochemistry-Paraffin: WFS1 Antibody [NBP1-84265]

Immunohistochemistry-Paraffin: WFS1 Antibody [NBP1-84265]

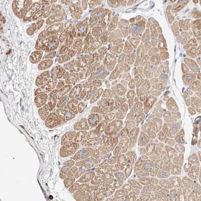
Immunohistochemistry-Paraffin: WFS1 Antibody [NBP1-84265] - Staining of human Heart muscle shows strong granular cytoplasmic positivity in cardiomyocytes.
Immunohistochemistry-Paraffin: WFS1 Antibody [NBP1-84265]

Immunohistochemistry-Paraffin: WFS1 Antibody [NBP1-84265]

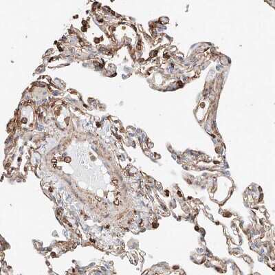
Immunohistochemistry-Paraffin: WFS1 Antibody [NBP1-84265] - Staining of human Lung shows strong granular cytoplasmic positivity in pneumocytes.

Applications for WFS1 Antibody - BSA Free

Application
Recommended Usage

Immunohistochemistry

1:50 - 1:200

Immunohistochemistry-Paraffin

1:50 - 1:200
Application Notes
For IHC-Paraffin, HIER pH 6 retrieval is recommended.

Reviewed Applications

Read 1 review rated 3 using NBP1-84265 in the following applications:

Formulation, Preparation, and Storage

Purification

Immunogen affinity purified

Formulation

PBS (pH 7.2) and 40% Glycerol

Format

BSA Free

Preservative

0.02% Sodium Azide

Concentration

Concentrations vary lot to lot. See vial label for concentration. If unlisted please contact technical services.

Shipping

The product is shipped with polar packs. Upon receipt, store it immediately at the temperature recommended below.

Stability & Storage

Store at 4C short term. Aliquot and store at -20C long term. Avoid freeze-thaw cycles.

Background: WFS1

Wolframin (WFS1) is a multipass endoplasmic reticulum (ER) membrane protein that plays an important role in maintaining homeostasis of the ER in the pancreas. WFS1 helps to regulate cellular calcium cation homeostasis by altering the filling state of the ER calcium cation store.

WFS1 is the major component of Wolfram syndrome, a rare form of juvenile diabetes, also known as diabetes insipidus and mellitus with optic atrophy and deafness syndrome (DIDMOAD). WFS1 is normally up-regulated during insulin secretion, and inactivation of the protein causes ER stress. In turn, chronic ER stress is thought to play a major role in Wolfram syndrome.

Long Name

Wolfram Syndrome 1

Alternate Names

DFNA14, DFNA38, DFNA6, DIDMOAD, WFRS, Wolframin

Gene Symbol

WFS1

Additional WFS1 Products

Product Documents for WFS1 Antibody - BSA Free

Certificate of Analysis

To download a Certificate of Analysis, please enter a lot number in the search box below.

Product Specific Notices for WFS1 Antibody - BSA Free

This product is for research use only and is not approved for use in humans or in clinical diagnosis. Primary Antibodies are guaranteed for 1 year from date of receipt.

Loading...
Loading...
Loading...
Loading...