Skip to main content

WDR77 Antibody (PSH0-07)

Novus Biologicals, part of Bio-Techne | Catalog # NBP3-33101

Recombinant Monoclonal Antibody
Novus Biologicals, part of Bio-Techne
Catalog #
Availability
Size / Price
Qty
Loading...
NBP3-33101

Key Product Details

Species Reactivity

Human

Applications

Flow Cytometry, Immunohistochemistry, Immunohistochemistry-Paraffin, Western Blot

Label

Unconjugated

Antibody Source

Recombinant Monoclonal Rabbit IgG Clone # PSH0-07 expressed in HEK293

Concentration

1 mg/ml

Product Specifications

Immunogen

Recombinant protein within human WDR77 aa 1-342 / 342. (Uniprot: Q9BQA1)

Localization

Nucleus, Cytoplasm.

Clonality

Monoclonal

Host

Rabbit

Isotype

IgG

Theoretical MW

37 kDa.
Disclaimer note: The observed molecular weight of the protein may vary from the listed predicted molecular weight due to post translational modifications, post translation cleavages, relative charges, and other experimental factors.

Description

Novus Biologicals Rabbit WDR77 Antibody (PSH0-07) (NBP3-33101) is a recombinant monoclonal antibody validated for use in IHC, WB and Flow. All Novus Biologicals antibodies are covered by our 100% guarantee.

Scientific Data Images for WDR77 Antibody (PSH0-07)

WDR77 Antibody (PSH0-07)

Western Blot: WDR77 Antibody (PSH0-07) [NBP3-33101]

Western Blot: WDR77 Antibody (PSH0-07) [NBP3-33101] - Western blot analysis of WDR77 on different lysates with Rabbit anti-WDR77 antibody (NBP3-33101) at 1/1,000 dilution.

Lane 1: HepG2 cell lysate
Lane 2: 293 cell lysate
Lane 3: K562 cell lysate

Lysates/proteins at 10 ug/Lane.

Predicted band size: 37 kDa
Observed band size: 40 kDa

Exposure time: 2 minutes;

12% SDS-PAGE gel.

Proteins were transferred to a PVDF membrane and blocked with 5% NFDM/TBST for 1 hour at room temperature. The primary antibody (NBP3-33101) at 1/1,000 dilution was used in 5% NFDM/TBST at room temperature for 2 hours. Goat Anti-Rabbit IgG - HRP Secondary Antibody at 1:300,000 dilution was used for 1 hour at room temperature.
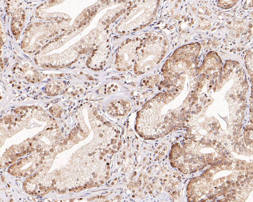
WDR77 Antibody (PSH0-07)

Immunohistochemistry: WDR77 Antibody (PSH0-07) [NBP3-33101]

Immunohistochemistry: WDR77 Antibody (PSH0-07) [NBP3-33101] - Immunohistochemical analysis of paraffin-embedded human prostate tissue with Rabbit anti-WDR77 antibody (NBP3-33101) at 1/1,000 dilution.

The section was pre-treated using heat mediated antigen retrieval with sodium citrate buffer (pH 6.0) for 2 minutes. The tissues were blocked in 1% BSA for 20 minutes at room temperature, washed with ddH2O and PBS, and then probed with the primary antibody (NBP3-33101) at 1/1,000 dilution for 1 hour at room temperature. The detection was performed using an HRP conjugated compact polymer system. DAB was used as the chromogen. Tissues were counterstained with hematoxylin and mounted with DPX.
WDR77 Antibody (PSH0-07)

Flow Cytometry: WDR77 Antibody (PSH0-07) [NBP3-33101]

Flow Cytometry: WDR77 Antibody (PSH0-07) [NBP3-33101] - Flow cytometric analysis of Hela cells labeling WDR77.

Cells were fixed and permeabilized. Then stained with the primary antibody (NBP3-33101, 1ug/ml) (red) compared with Rabbit IgG Isotype Control (green). After incubation of the primary antibody at +4℃ for an hour, the cells were stained with a iFluor™ 488 conjugate-Goat anti-Rabbit IgG Secondary antibody at 1/1,000 dilution for 30 minutes at +4℃. Unlabelled sample was used as a control (cells without incubation with primary antibody; black).

Applications for WDR77 Antibody (PSH0-07)

Application
Recommended Usage

Flow Cytometry

1:500-1:1000

Immunohistochemistry-Paraffin

1:1000

Western Blot

1:1000

Formulation, Preparation, and Storage

Purification

Protein A purified

Formulation

PBS (pH7.4), 0.1% BSA and 40% Glycerol

Preservative

0.05% Sodium Azide

Concentration

1 mg/ml

Shipping

The product is shipped with polar packs. Upon receipt, store it immediately at the temperature recommended below.

Stability & Storage

Store at 4C short term. Aliquot and store at -20C long term. Avoid freeze-thaw cycles.

Background: WDR77

WDR77 is a component of the 20S PRMT5 (MIM 604045)-containing methyltransferase complex, which modifies specific arginines to dimethylarginines in several spliceosomal Sm proteins (see MIM 601061). This modification targets Sm proteins to the survival of motor neurons (SMN) complex (see MIM 600354) for assembly into small nuclear ribonucleoprotein core particles (Friesen et al., 2002 [PubMed 11756452]).[supplied by OMIM]

Alternate Names

Androgen receptor cofactor p44, MEP-50, MEP50Nbla10071, methylosome protein 50, MGC2722, p44, p44/Mep50, RP11-552M11.3, WD repeat domain 77, WD repeat-containing protein 77

Gene Symbol

WDR77

Additional WDR77 Products

Product Documents for WDR77 Antibody (PSH0-07)

Certificate of Analysis

To download a Certificate of Analysis, please enter a lot number in the search box below.

Product Specific Notices for WDR77 Antibody (PSH0-07)

This product is for research use only and is not approved for use in humans or in clinical diagnosis. Primary Antibodies are guaranteed for 1 year from date of receipt.

Loading...
Loading...
Loading...
Loading...
Loading...