Skip to main content

WDR62 Antibody - BSA Free

Novus Biologicals, part of Bio-Techne | Catalog # NBP2-48788

Novus Biologicals, part of Bio-Techne
Catalog #
Availability
Size / Price
Qty
Loading...
NBP2-48788
NBP2-48788-25ul

Key Product Details

Validated by

Orthogonal Validation

Species Reactivity

Validated:

Human

Predicted:

Mouse (93%), Rat (90%). Backed by our 100% Guarantee.

Applications

Immunohistochemistry, Immunohistochemistry-Paraffin, Immunocytochemistry/ Immunofluorescence

Label

Unconjugated

Antibody Source

Polyclonal Rabbit IgG

Format

BSA Free

Concentration

Concentrations vary lot to lot. See vial label for concentration. If unlisted please contact technical services.

Product Specifications

Immunogen

This antibody was developed against a recombinant protein corresponding to amino acids: YVSTPSEIHSLSPGEQTEDDLEEECEPEEMLKTPSKDSLDPDPRCLLTNGKLPLWAKRLLGDDDVADGSAFHAKRSYQPHGRWAERAGQEPLKTILD

Clonality

Polyclonal

Host

Rabbit

Isotype

IgG

Description

Novus Biologicals Rabbit WDR62 Antibody - BSA Free (NBP2-48788) is a polyclonal antibody validated for use in IHC and ICC/IF. All Novus Biologicals antibodies are covered by our 100% guarantee.

Scientific Data Images for WDR62 Antibody - BSA Free

Immunocytochemistry/ Immunofluorescence: WDR62 Antibody [NBP2-48788]

Immunocytochemistry/ Immunofluorescence: WDR62 Antibody [NBP2-48788]

Immunocytochemistry/Immunofluorescence: WDR62 Antibody [NBP2-48788] - Staining of human cell line U-2 OS shows localization to microtubule organizing center. Antibody staining is shown in green.
Immunohistochemistry-Paraffin: WDR62 Antibody [NBP2-48788]

Immunohistochemistry-Paraffin: WDR62 Antibody [NBP2-48788]

Immunohistochemistry-Paraffin: WDR62 Antibody [NBP2-48788] - Staining in human testis and liver tissues using anti-WDR62 antibody. Corresponding WDR62 RNA-seq data are presented for the same tissues.
Immunohistochemistry-Paraffin: WDR62 Antibody [NBP2-48788]

Immunohistochemistry-Paraffin: WDR62 Antibody [NBP2-48788]

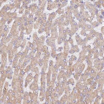
Immunohistochemistry-Paraffin: WDR62 Antibody [NBP2-48788] - Staining of human liver shows low expression as expected.

Applications for WDR62 Antibody - BSA Free

Application
Recommended Usage

Immunocytochemistry/ Immunofluorescence

0.25-2 ug/ml

Immunohistochemistry

1:50 - 1:200

Immunohistochemistry-Paraffin

1:50 - 1:200
Application Notes
For IHC-Paraffin, HIER pH 6 retrieval is recommended.

Formulation, Preparation, and Storage

Purification

Affinity purified

Formulation

PBS (pH 7.2) and 40% Glycerol

Format

BSA Free

Preservative

0.02% Sodium Azide

Concentration

Concentrations vary lot to lot. See vial label for concentration. If unlisted please contact technical services.

Shipping

The product is shipped with polar packs. Upon receipt, store it immediately at the temperature recommended below.

Stability & Storage

Store at 4C short term. Aliquot and store at -20C long term. Avoid freeze-thaw cycles.

Background: WDR62

WDR62 (WD repeat-containing 62) contains 15 WD repeats and is a member of the WD family of proteins. The WD repeat is defined by four or more repeating units of a conserved core of approximately 40 amino acids ending with tryptophan-aspartic acid (WD). WD repeats may serve as sites of protein-protein interaction for adaptor proteins and facilitate multiprotein complex formation. WD proteins are involved in a variety of cellular processes. WDR62 has been identified in a phosphoproteome analysis as a protein associated with the mitotic spindle; however its function has not been characterized.

Alternate Names

C19orf14MGC166976, chromosome 19 open reading frame 14, DKFZP434J046, DKFZp686G1024, EC 2.7.11.1, EC 2.7.7.38, FLJ33298, WD repeat domain 62, WD repeat-containing protein 62

Gene Symbol

WDR62

Additional WDR62 Products

Product Documents for WDR62 Antibody - BSA Free

Certificate of Analysis

To download a Certificate of Analysis, please enter a lot number in the search box below.

Product Specific Notices for WDR62 Antibody - BSA Free

This product is for research use only and is not approved for use in humans or in clinical diagnosis. Primary Antibodies are guaranteed for 1 year from date of receipt.

Loading...
Loading...
Loading...
Loading...