Skip to main content

WDR55 Antibody - BSA Free

Novus Biologicals, part of Bio-Techne | Catalog # NBP2-30431

Novus Biologicals, part of Bio-Techne
Catalog #
Availability
Size / Price
Qty
Loading...
NBP2-30431

Key Product Details

Species Reactivity

Validated:

Human

Predicted:

Mouse (91%), Rat (93%). Backed by our 100% Guarantee.

Applications

Immunohistochemistry, Immunohistochemistry-Paraffin, Western Blot

Label

Unconjugated

Antibody Source

Polyclonal Rabbit IgG

Format

BSA Free

Concentration

Concentrations vary lot to lot. See vial label for concentration. If unlisted please contact technical services.

Product Specifications

Immunogen

This antibody was developed against a recombinant protein corresponding to amino acids: SVTLMKWGKKVACGSSEGTIYLFNWNGFGATSDRFALRAESIDCMVPVTESLLCTGSTDGVIRAVNILPNRVVGSVGQHTGEPVEELALSHCGRFLASSGH

Clonality

Polyclonal

Host

Rabbit

Isotype

IgG

Description

Novus Biologicals Rabbit WDR55 Antibody - BSA Free (NBP2-30431) is a polyclonal antibody validated for use in IHC and WB. All Novus Biologicals antibodies are covered by our 100% guarantee.

Scientific Data Images for WDR55 Antibody - BSA Free

Western Blot: WDR55 Antibody [NBP2-30431]

Western Blot: WDR55 Antibody [NBP2-30431]

Western Blot: WDR55 Antibody [NBP2-30431] - Analysis in control (vector only transfected HEK293T lysate) and WDR55 over-expression lysate (Co-expressed with a C-terminal myc-DDK tag (3.1 kDa) in mammalian HEK293T cells).
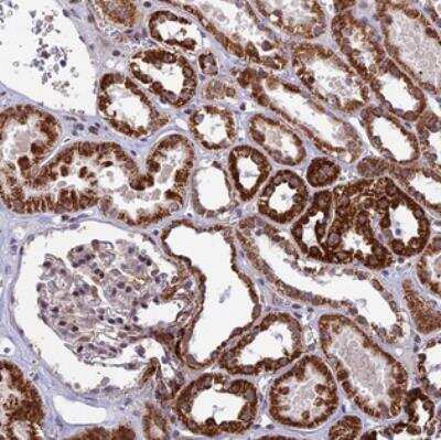
Immunohistochemistry: WDR55 Antibody [NBP2-30431]

Immunohistochemistry: WDR55 Antibody [NBP2-30431]

Immunohistochemistry: WDR55 Antibody [NBP2-30431] - Staining of human kidney shows strong cytoplasmic positivity in cells in tubules.

Applications for WDR55 Antibody - BSA Free

Application
Recommended Usage

Immunohistochemistry

1:20 - 1:50

Immunohistochemistry-Paraffin

1:20 - 1:50

Western Blot

0.04-0.4 ug/ml
Application Notes
For IHC-Paraffin, HIER pH 6 retrieval is recommended. Immunocytochemistry/Immunofluorescence Fixation Permeabilization: Use PFA/Triton X-100.

Formulation, Preparation, and Storage

Purification

Affinity purified

Formulation

PBS (pH 7.2) and 40% Glycerol

Format

BSA Free

Preservative

0.02% Sodium Azide

Concentration

Concentrations vary lot to lot. See vial label for concentration. If unlisted please contact technical services.

Shipping

The product is shipped with polar packs. Upon receipt, store it immediately at the temperature recommended below.

Stability & Storage

Store at 4C short term. Aliquot and store at -20C long term. Avoid freeze-thaw cycles.

Background: WDR55

Nucleolar protein that acts as a modulator of rRNA synthesis. Plays a central role during organogenesis (By similarity)

Alternate Names

FLJ20195, FLJ21702, WD repeat domain 55, WD repeat-containing protein 55

Gene Symbol

WDR55

UniProt

Additional WDR55 Products

Product Documents for WDR55 Antibody - BSA Free

Certificate of Analysis

To download a Certificate of Analysis, please enter a lot number in the search box below.

Product Specific Notices for WDR55 Antibody - BSA Free

This product is for research use only and is not approved for use in humans or in clinical diagnosis. Primary Antibodies are guaranteed for 1 year from date of receipt.

Loading...
Loading...
Loading...
Loading...