Skip to main content

WDR45 Antibody - BSA Free

Novus Biologicals, part of Bio-Techne | Catalog # NBP3-45559

Novus Biologicals, part of Bio-Techne
Catalog #
Availability
Size / Price
Qty
Loading...
NBP3-45559

Key Product Details

Species Reactivity

Human

Applications

ELISA, Immunocytochemistry/ Immunofluorescence, Immunohistochemistry, Western Blot

Label

Unconjugated

Antibody Source

Polyclonal Rabbit IgG

Format

BSA Free

Concentration

Please see the vial label for concentration. If unlisted please contact technical services.

Product Specifications

Immunogen

WD repeat domain 45. (Uniprot# Q9Y484)

Clonality

Polyclonal

Host

Rabbit

Isotype

IgG

Theoretical MW

40 kDa.
Disclaimer note: The observed molecular weight of the protein may vary from the listed predicted molecular weight due to post translational modifications, post translation cleavages, relative charges, and other experimental factors.

Description

Novus Biologicals Rabbit WDR45 Antibody - BSA Free (NBP3-45559) is a polyclonal antibody validated for use in IHC, WB, ELISA and ICC/IF. All Novus Biologicals antibodies are covered by our 100% guarantee.

Scientific Data Images for WDR45 Antibody - BSA Free

WDR45 Antibody - BSA Free

Western Blot: WDR45 Antibody - BSA Free [NBP3-45559] -

Western Blot: WDR45 Antibody - BSA Free [NBP3-45559] - Recombinant proteins were subjected to SDS PAGE followed by western blot with (WDR45 Antibody) at dilution of 1:1000
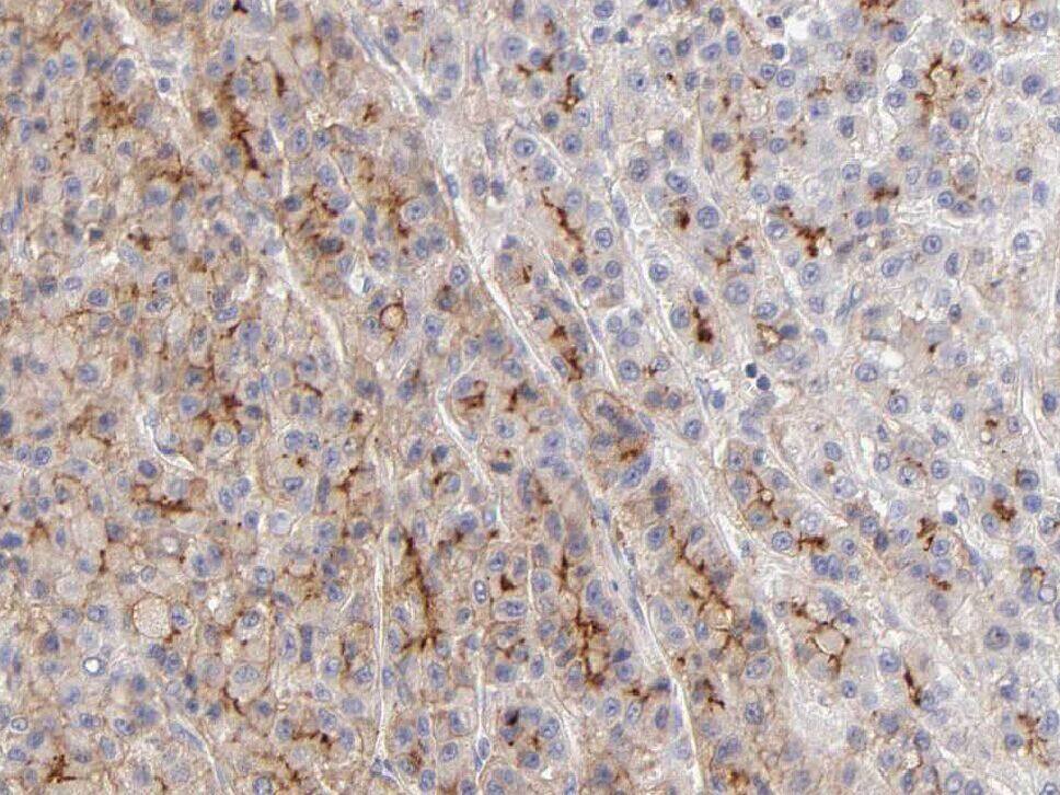
WDR45 Antibody - BSA Free

Immunohistochemistry: WDR45 Antibody - BSA Free [NBP3-45559] -

Immunohistochemistry: WDR45 Antibody - BSA Free [NBP3-45559] - Immunohistochemistry of paraffin-embedded human liver using (WDR45 antibody) at dilution of 1:50

Applications for WDR45 Antibody - BSA Free

Application
Recommended Usage

Immunocytochemistry/ Immunofluorescence

1:10-1:100

Immunohistochemistry

1:20-1:200

Western Blot

1:500-1:5000

Formulation, Preparation, and Storage

Purification

Immunogen affinity purified

Formulation

PBS, 50% Glycerol, pH (7.3)

Format

BSA Free

Preservative

0.02% Sodium Azide

Concentration

Please see the vial label for concentration. If unlisted please contact technical services.

Shipping

The product is shipped with polar packs. Upon receipt, store it immediately at the temperature recommended below.

Stability & Storage

Store at -20C. Avoid freeze-thaw cycles.

Background: WDR45

WDR45 encodes a member of the WD repeat protein family. WD repeats are minimally conserved regions of approximately 40 amino acids typically bracketed by gly-his and trp-asp (GH-WD), which may facilitate formation of heterotrimeric or multiprotein complexes. Members of this family are involved in a variety of cellular processes, including cell cycle progression, signal transduction, apoptosis, and gene regulation. This gene has a pseudogene at chromosome 4q31.3. Multiple alternatively spliced transcript variants encoding distinct isoforms have been found for this gene, but the biological validity and full-length nature of some variants have not been determined. [provided by RefSeq]

Alternate Names

JM5, WD repeat domain 45, WD repeat domain phosphoinositide-interacting protein 4, WD repeat-containing protein 45, WD45 repeat protein interacting with phosphoinositides 4, WDRX1, WDRXI4, WIPI-4, X-linked 1

Gene Symbol

WDR45

Additional WDR45 Products

Product Documents for WDR45 Antibody - BSA Free

Certificate of Analysis

To download a Certificate of Analysis, please enter a lot number in the search box below.

Product Specific Notices for WDR45 Antibody - BSA Free

This product is for research use only and is not approved for use in humans or in clinical diagnosis. Primary Antibodies are guaranteed for 1 year from date of receipt.

Loading...
Loading...
Loading...
Loading...