Skip to main content

WDFY3 Antibody - BSA Free

Novus Biologicals, part of Bio-Techne | Catalog # NBP2-48910

Novus Biologicals, part of Bio-Techne
Catalog #
Availability
Size / Price
Qty
Loading...
NBP2-48910
NBP2-48910-25ul

Key Product Details

Species Reactivity

Validated:

Human

Predicted:

Mouse (100%), Rat (100%). Backed by our 100% Guarantee.

Applications

Immunohistochemistry, Immunohistochemistry-Paraffin, Immunocytochemistry/ Immunofluorescence

Label

Unconjugated

Antibody Source

Polyclonal Rabbit IgG

Format

BSA Free

Concentration

Concentrations vary lot to lot. See vial label for concentration. If unlisted please contact technical services.

Product Specifications

Immunogen

This antibody was developed against a recombinant protein corresponding to amino acids: RVVDKLWQGMFNKESKLLIDFIIQLIAQSKRRSQGLSLDAVYHCLNRTILYQFSRAHKTVPQQVALLDSLRVLTVNRNLILGPGNHDQEFISCL

Clonality

Polyclonal

Host

Rabbit

Isotype

IgG

Description

Novus Biologicals Rabbit WDFY3 Antibody - BSA Free (NBP2-48910) is a polyclonal antibody validated for use in IHC and ICC/IF. All Novus Biologicals antibodies are covered by our 100% guarantee.

Scientific Data Images for WDFY3 Antibody - BSA Free

Immunocytochemistry/ Immunofluorescence: WDFY3 Antibody [NBP2-48910]

Immunocytochemistry/ Immunofluorescence: WDFY3 Antibody [NBP2-48910]

Immunocytochemistry/Immunofluorescence: WDFY3 Antibody [NBP2-48910] - Immunofluorescent staining of human cell line A549 shows localization to nucleoli & cytosol.
Immunohistochemistry-Paraffin: WDFY3 Antibody [NBP2-48910]

Immunohistochemistry-Paraffin: WDFY3 Antibody [NBP2-48910]

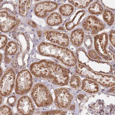
Immunohistochemistry-Paraffin: WDFY3 Antibody [NBP2-48910] - Staining of human kidney shows strong cytoplasmic positivity in cells in tubules.
Immunohistochemistry-Paraffin: WDFY3 Antibody [NBP2-48910]

Immunohistochemistry-Paraffin: WDFY3 Antibody [NBP2-48910]

Immunohistochemistry-Paraffin: WDFY3 Antibody [NBP2-48910] - Staining of human duodenum shows strong granular cytoplasmic positivity in glandular cells.

Applications for WDFY3 Antibody - BSA Free

Application
Recommended Usage

Immunocytochemistry/ Immunofluorescence

0.25-2 ug/ml

Immunohistochemistry

1:20 - 1:50

Immunohistochemistry-Paraffin

1:20 - 1:50
Application Notes
For IHC-Paraffin, HIER pH 6 retrieval is recommended. ICC/IF, Fixation Permeabilization: Use PFA/Triton X-100.

Formulation, Preparation, and Storage

Purification

Affinity purified

Formulation

PBS (pH 7.2) and 40% Glycerol

Format

BSA Free

Preservative

0.02% Sodium Azide

Concentration

Concentrations vary lot to lot. See vial label for concentration. If unlisted please contact technical services.

Shipping

The product is shipped with polar packs. Upon receipt, store it immediately at the temperature recommended below.

Stability & Storage

Store at 4C short term. Aliquot and store at -20C long term. Avoid freeze-thaw cycles.

Background: WDFY3

The WDFY3 gene encodes a protein which contains WD repeats and an FYVE domain. Multiple alternatively spliced transcript variants have been found for this gene, but the full-length nature of some variants has not been defined. (provided by RefSeq)

Alternate Names

Alfy, Autophagy-linked FYVE protein, KIAA0993MGC16461, WD repeat and FYVE domain containing 3, WD repeat and FYVE domain-containing protein 3, ZFYVE25

Gene Symbol

WDFY3

Additional WDFY3 Products

Product Documents for WDFY3 Antibody - BSA Free

Certificate of Analysis

To download a Certificate of Analysis, please enter a lot number in the search box below.

Product Specific Notices for WDFY3 Antibody - BSA Free

This product is for research use only and is not approved for use in humans or in clinical diagnosis. Primary Antibodies are guaranteed for 1 year from date of receipt.

Loading...
Loading...
Loading...
Loading...