Skip to main content

WDFY3 Antibody (2F7C2) - BSA Free

Novus Biologicals, part of Bio-Techne | Catalog # NBP3-27152

Novus Biologicals, part of Bio-Techne
Catalog #
Availability
Size / Price
Qty
Loading...
NBP3-27152-0.025ml
NBP3-27152-0.1ml

Key Product Details

Species Reactivity

Human

Applications

Immunohistochemistry, Immunohistochemistry-Paraffin, Western Blot, ELISA, Flow Cytometry

Label

Unconjugated

Antibody Source

Monoclonal Mouse IgG1 Clone # 2F7C2

Format

BSA Free

Concentration

1 mg/ml

Product Specifications

Immunogen

Purified recombinant fragment of human WDFY3 (AA: 3277-3526) expressed in E. Coli.

Clonality

Monoclonal

Host

Mouse

Isotype

IgG1

Theoretical MW

395 kDa.
Disclaimer note: The observed molecular weight of the protein may vary from the listed predicted molecular weight due to post translational modifications, post translation cleavages, relative charges, and other experimental factors.

Description

Novus Biologicals Mouse WDFY3 Antibody (2F7C2) - BSA Free (NBP3-27152) is a monoclonal antibody validated for use in IHC, WB, ELISA and Flow. All Novus Biologicals antibodies are covered by our 100% guarantee.

Scientific Data Images for WDFY3 Antibody (2F7C2) - BSA Free

Western Blot: WDFY3 Antibody (2F7C2) [NBP3-27152] -

Western Blot: WDFY3 Antibody (2F7C2) [NBP3-27152] - Analysis using WDFY3 mAb against HEK293 (1) and WDFY3 (AA: 3277-3526)-hIgGFc transfected HEK293 (2) cell lysate.

Flow Cytometry: WDFY3 Antibody (2F7C2) [NBP3-27152] -

Flow Cytometry: WDFY3 Antibody (2F7C2) [NBP3-27152] - Analysis of Hela cells using WDFY3 mouse mAb (green) and negative control (red).

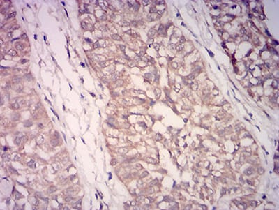
Immunohistochemistry: WDFY3 Antibody (2F7C2) [NBP3-27152] -

Immunohistochemistry: WDFY3 Antibody (2F7C2) [NBP3-27152] - Analysis of paraffin-embedded bladder cancer tissues using WDFY3 mouse mAb with DAB staining.

Applications for WDFY3 Antibody (2F7C2) - BSA Free

Application
Recommended Usage

ELISA

1:10000

Flow Cytometry

1:200 - 1:400

Immunohistochemistry

1:200 - 1:1000

Immunohistochemistry-Paraffin

1:200 - 1:1000

Western Blot

1:500 - 1:2000

Formulation, Preparation, and Storage

Purification

Protein G purified

Formulation

PBS

Format

BSA Free

Preservative

0.05% Sodium Azide

Concentration

1 mg/ml

Shipping

The product is shipped with polar packs. Upon receipt, store it immediately at the temperature recommended below.

Stability & Storage

Store at 4C short term. Aliquot and store at -20C long term. Avoid freeze-thaw cycles.

Background: WDFY3

The WDFY3 gene encodes a protein which contains WD repeats and an FYVE domain. Multiple alternatively spliced transcript variants have been found for this gene, but the full-length nature of some variants has not been defined. (provided by RefSeq)

Alternate Names

Alfy, Autophagy-linked FYVE protein, KIAA0993MGC16461, WD repeat and FYVE domain containing 3, WD repeat and FYVE domain-containing protein 3, ZFYVE25

Gene Symbol

WDFY3

Additional WDFY3 Products

Product Documents for WDFY3 Antibody (2F7C2) - BSA Free

Certificate of Analysis

To download a Certificate of Analysis, please enter a lot number in the search box below.

Product Specific Notices for WDFY3 Antibody (2F7C2) - BSA Free

This product is for research use only and is not approved for use in humans or in clinical diagnosis. Primary Antibodies are guaranteed for 1 year from date of receipt.

Loading...
Loading...
Loading...
Loading...
Loading...